美容外科・美容皮膚科・審美歯科なら湘南美容クリニック
電話予約・電話問い合わせ 10:00~22:45対応 番号を通知してお電話ください 0120-489-100
Instagram
LINE
YouTube
公式アプリ
美容皮膚科
あなたに最適な美容メンテナンスをサポートします!
二重整形
これを見たらあなたも思わず二重にしたくなる♡
医療ダイエット
医療ダイエットをしたらマイナス何センチ?リアルな結果を発信中!
若返り
年齢別・お悩み別で「今やるべき美容医療」がわかる美容医療メディア
クマ取り
クマ取り失敗したくない方必見!成功の秘訣満載★
脂肪吸引
美は武器!夜職女性のための美の総合メディア
予約・お問い合わせ
美容外科 MENU
Language
メインメニュー
診療内容一覧
料金一覧
クリニック案内
ドクター一覧
モニター募集
症例写真
よくある質問
当院が選ばれる理由
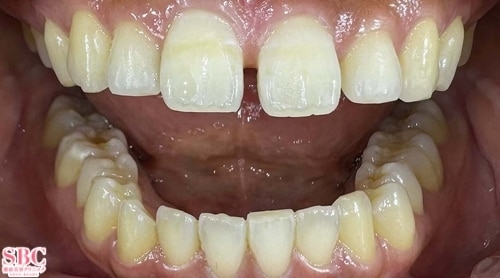
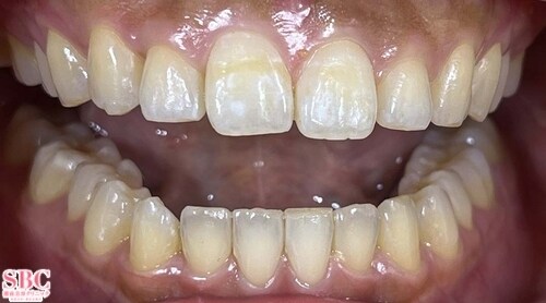
当院の症例写真は、画像処理により形や大きさをかえるような処理は一切おこなっておりません。
平野麻結子(歯科) 医師
施術前
施術後6ヶ月後
施術した院
部位
施術
施術回数
数量
性別
「なんとなく変わりたい…!」そんなあなたへ可愛く?かっこよく?その願い、ぜーんぶ叶えちゃいましょう!「でも、どうしたらいいかわからない…」そんな時こそ、私にお任せください!・リピーター様・紹介指名多数!・2024年下半期 マウスピース矯正 SBC内全国症例数NO.1・部分矯正から全体矯正まで対応!・「全体矯正じゃないと無理」と言われた方も希望を持てるかも!・細かいお悩みも逃さない、かゆいところに手が届く矯正安心できる矯正なら、迷わず"平野"をご指名ください!指名無料! 迷う前に、まずは気軽に無料相談へお待ちしてます♪ 平野でした!ご予約はこちら! 湘南歯科クリニック 新宿院【フリーダイヤル】0120-548-908【MySBC(メール)】https://mysbc.s-b-c.net/login===================・マウスピース矯正とは?透明で薄い「アライナー」を装着し、取り外し可能な矯正方法。一定期間ごとに交換しながら歯並びを整えます。・こんな方におすすめ! 目立たない矯正がしたい 歯を削りたくない 神経治療を避けたいマウスピース矯正の特徴 目立ちにくい 取り外し可能で快適 痛みが少なく続けやすい
施術担当者からのコメント
「なんとなく変わりたい…!」そんなあなたへ
可愛く?かっこよく?その願い、ぜーんぶ叶えちゃいましょう!
「でも、どうしたらいいかわからない…」そんな時こそ、私にお任せください!
・リピーター様・紹介指名多数!
・2024年下半期 マウスピース矯正 SBC内全国症例数NO.1
・部分矯正から全体矯正まで対応!
・「全体矯正じゃないと無理」と言われた方も希望を持てるかも!
・細かいお悩みも逃さない、かゆいところに手が届く矯正
安心できる矯正なら、迷わず"平野"をご指名ください!
指名無料! 迷う前に、まずは気軽に無料相談へ
お待ちしてます♪ 平野でした!
ご予約はこちら! 湘南歯科クリニック 新宿院
【フリーダイヤル】0120-548-908
【MySBC(メール)】https://mysbc.s-b-c.net/login
===================
・マウスピース矯正とは?
透明で薄い「アライナー」を装着し、取り外し可能な矯正方法。一定期間ごとに交換しながら歯並びを整えます。
・こんな方におすすめ!
目立たない矯正がしたい
歯を削りたくない
神経治療を避けたい
マウスピース矯正の特徴
目立ちにくい
取り外し可能で快適
痛みが少なく続けやすい