美容外科・美容皮膚科・審美歯科なら湘南美容クリニック
電話予約・電話問い合わせ 10:00~22:45対応 番号を通知してお電話ください 0120-489-100
Instagram
LINE
YouTube
公式アプリ
美容皮膚科
あなたに最適な美容メンテナンスをサポートします!
二重整形
これを見たらあなたも思わず二重にしたくなる♡
医療ダイエット
医療ダイエットをしたらマイナス何センチ?リアルな結果を発信中!
若返り
年齢別・お悩み別で「今やるべき美容医療」がわかる美容医療メディア
クマ取り
クマ取り失敗したくない方必見!成功の秘訣満載★
脂肪吸引
美は武器!夜職女性のための美の総合メディア
予約・お問い合わせ
美容外科 MENU
Language
メインメニュー
診療内容一覧
料金一覧
クリニック案内
ドクター一覧
モニター募集
症例写真
よくある質問
当院が選ばれる理由
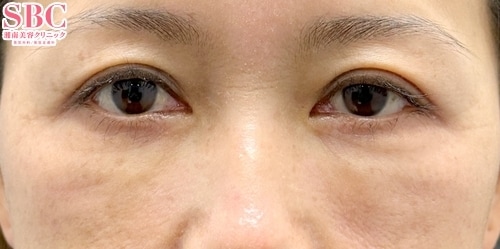
当院の症例写真は、画像処理により形や大きさをかえるような処理は一切おこなっておりません。
山下昭悟 医師
施術前
施術後3ヶ月後
施術した院
部位
施術
施術回数
数量
性別
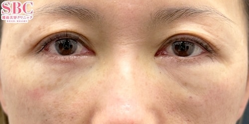
ご覧いただきありがとうございます!☆裏ハムラ法 執刀件数☆2年連続!関東No.1☆(2023-2024年SBC内東京除く関東エリア)藤沢院院長の山下昭悟です。今回は、40代女性のモニター様の症例です。目の下のクマを気にされてご来院されました。【施術内容】・裏ハムラ法・SBCプレミアムPRP皮膚再生療法(ゴルゴライン)自然な仕上がりで目の下の膨らみが解消され目元が明るくなり、若々しい印象になりました。<裏ハムラ法とは?>目の下のふくらみの原因である「眼窩脂肪(がんかしぼう)」を移動させて、整え、膨らみと溝を同時に改善。こだわりPOINT!1. 脂肪を除去することなくクマを改善2. 皮膚表面を切らないため傷跡が残りにくい3. 痛みとダウンタイムを最小限に抑える◆下まぶたのたるみ、クマが気になる…◆目元を若返らせたい…◆傷は残したくない…など、小さなお悩みでもお気軽にご相談ください♪湘南美容クリニックで取り扱いのあるクマ治療(裏ハムラ法、切開ハムラ法、脱脂術、脂肪注入など)\全て執刀可能◎/だからこそクマの原因をしっかり見極め、ご予算やお休みの状況に合わせて一人一人に合った適切な治療をご提案いたします☆湘南美容クリニック藤沢院でお待ちしております!◯神奈川県藤沢市南藤沢3番12号 クリオ藤沢駅前ビル4F◯JR藤沢駅南口徒歩1分◯9:00-18:00(最終カウンセリング受付時間:16:30)◯定休日なし----------------------------------------------------インスタグラムにも多数症例載せてます!ぜひ覗いてみてください★Instagram:「@sbc_yamashita」で検索!----------------------------------------------------
施術担当者からのコメント
ご覧いただきありがとうございます!
☆裏ハムラ法 執刀件数☆2年連続!関東No.1☆
(2023-2024年SBC内東京除く関東エリア)
藤沢院院長の山下昭悟です。
今回は、40代女性のモニター様の症例です。
目の下のクマを気にされてご来院されました。
【施術内容】
・裏ハムラ法
・SBCプレミアムPRP皮膚再生療法(ゴルゴライン)
自然な仕上がりで目の下の膨らみが解消され
目元が明るくなり、若々しい印象になりました。
<裏ハムラ法とは?>
目の下のふくらみの原因である「眼窩脂肪(がんかしぼう)」を
移動させて、整え、膨らみと溝を同時に改善。
こだわりPOINT!
1. 脂肪を除去することなくクマを改善
2. 皮膚表面を切らないため傷跡が残りにくい
3. 痛みとダウンタイムを最小限に抑える
◆下まぶたのたるみ、クマが気になる…
◆目元を若返らせたい…
◆傷は残したくない…
など、小さなお悩みでもお気軽にご相談ください♪
湘南美容クリニックで取り扱いのあるクマ治療
(裏ハムラ法、切開ハムラ法、脱脂術、脂肪注入など)
\全て執刀可能◎/だからこそ
クマの原因をしっかり見極め、
ご予算やお休みの状況に合わせて
一人一人に合った適切な治療をご提案いたします☆
湘南美容クリニック藤沢院でお待ちしております!
◯神奈川県藤沢市南藤沢3番12号 クリオ藤沢駅前ビル4F
◯JR藤沢駅南口徒歩1分
◯9:00-18:00(最終カウンセリング受付時間:16:30)
◯定休日なし
----------------------------------------------------
インスタグラムにも多数症例載せてます!
ぜひ覗いてみてください★
Instagram:「@sbc_yamashita」で検索!
----------------------------------------------------