症例写真(No.350597)

当院の症例写真は、画像処理により形や大きさをかえるような処理は一切おこなっておりません。

伊藤優(歯科) 医師

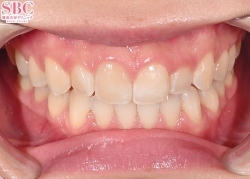
No.350597【美容歯科】前歯の捻れとガタツキの解消

施術前

上前歯2本の角度と捻れがお悩みの方
→

施術後12ヶ月後

少し捻れ残りはありますが1番のお悩みのガタツキはスッキリ
すべての画像を見る

施術した院

部位

施術

施術回数

数量

性別

施術担当者からのコメント

インビザラインモデレートで治療されたお客様です。
12か月の矯正でここまで改善出来ました。
マウスピース矯正は医師の設計とお客様が装着時間をお守りいただくことで良い結果が得られます。
お客様、マウスピース矯正お疲れ様でした^^



×

当院におけるワクチン接種後の治療間隔(ガイドライン)

美容皮膚科、美容外科小手術

前後3日(手術日は含まず)、自覚する副反応がなければ可
安心麻酔を使用するものは接種後1週間は空ける

美容外科中、大手術

前後1週間
副反応が残っている場合は延期
接種部位と手術部位が同じ場合は2週間は空ける

×

お急ぎの方はお電話ください

0120-489-100

受付時間 / 10:00~23:00