美容外科・美容皮膚科・審美歯科なら湘南美容クリニック
電話予約・電話問い合わせ 10:00~22:45対応 番号を通知してお電話ください 0120-489-100
Instagram
LINE
YouTube
公式アプリ
美容皮膚科
あなたに最適な美容メンテナンスをサポートします!
二重整形
これを見たらあなたも思わず二重にしたくなる♡
医療ダイエット
医療ダイエットをしたらマイナス何センチ?リアルな結果を発信中!
若返り
年齢別・お悩み別で「今やるべき美容医療」がわかる美容医療メディア
クマ取り
クマ取り失敗したくない方必見!成功の秘訣満載★
脂肪吸引
美は武器!夜職女性のための美の総合メディア
予約・お問い合わせ
美容外科 MENU
Language
メインメニュー
診療内容一覧
料金一覧
クリニック案内
ドクター一覧
モニター募集
症例写真
よくある質問
当院が選ばれる理由
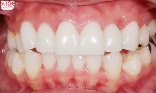
当院の症例写真は、画像処理により形や大きさをかえるような処理は一切おこなっておりません。
岡秀樹(歯科) 医師
施術前
施術後3ヶ月後
施術した院
部位
施術
施術回数
数量
性別
上の歯並びを見たときに1本だけ高い位置に八重歯が生えておりました。八重歯が一本だけ飛び出て生えている場合、健康上のデメリットが生じる可能性があります。・虫歯や歯周病のリスクが高まる八重歯は他の歯と重なり合って生えているため、歯ブラシが届きにくく歯垢(プラーク)が溜まりやすいです。その結果、虫歯や歯周病になりやすくなります。特に八重歯の根元部分は歯ぐきが下がりやすく、虫歯のリスクが高まることもあります。口を閉じにくい場合、口内が乾燥しやすくなり唾液の殺菌作用が働きにくくなるため、さらに虫歯や歯周病のリスクが増します。・噛み合わせが悪くなる八重歯が正常な位置にないため、上下の歯がしっかり噛み合わない「不正咬合」を引き起こすことがあります。犬歯は本来、食べ物を噛み切る役割や奥歯に過度な負担がかからないようにする重要な役割(犬歯誘導)を担っています。八重歯によってこの機能が失われると、他の歯、特に奥歯に大きな負担がかかり歯の摩耗、ひび割れ、知覚過敏のリスクが高まります。噛み合わせの悪さは、顎関節に負担をかけ、顎関節症(口が開けにくい、顎が痛むなど)の原因となることもあります。さらに、噛み合わせのバランスが崩れることで全身の姿勢に影響を与え、頭痛や肩こり、疲労感、集中力の低下などを引き起こす可能性も指摘されています。・口内炎や口の怪我のリスク飛び出た八重歯が唇や頬の内側を傷つけやすく、口内炎ができやすくなります。転倒した際に唇などを切ってしまうリスクもあります。これらの健康上のデメリットを考慮すると八重歯が1本だけであっても、矯正治療を検討することをおすすめします。矯正治療によって歯並びが整うことで、これらのリスクを軽減し口腔内の健康だけでなく全身の健康にも良い影響が期待できます。【治療本数】6本(1本抜歯)
施術担当者からのコメント
上の歯並びを見たときに1本だけ高い位置に八重歯が生えておりました。
八重歯が一本だけ飛び出て生えている場合、健康上のデメリットが生じる可能性があります。
・虫歯や歯周病のリスクが高まる
八重歯は他の歯と重なり合って生えているため、歯ブラシが届きにくく歯垢(プラーク)が溜まりやすいです。
その結果、虫歯や歯周病になりやすくなります。
特に八重歯の根元部分は歯ぐきが下がりやすく、虫歯のリスクが高まることもあります。
口を閉じにくい場合、口内が乾燥しやすくなり唾液の殺菌作用が働きにくくなるため、さらに虫歯や歯周病のリスクが増します。
・噛み合わせが悪くなる
八重歯が正常な位置にないため、上下の歯がしっかり噛み合わない「不正咬合」を引き起こすことがあります。
犬歯は本来、食べ物を噛み切る役割や奥歯に過度な負担がかからないようにする重要な役割(犬歯誘導)を担っています。
八重歯によってこの機能が失われると、他の歯、特に奥歯に大きな負担がかかり歯の摩耗、ひび割れ、知覚過敏のリスクが高まります。
噛み合わせの悪さは、顎関節に負担をかけ、顎関節症(口が開けにくい、顎が痛むなど)の原因となることもあります。
さらに、噛み合わせのバランスが崩れることで全身の姿勢に影響を与え、頭痛や肩こり、疲労感、集中力の低下などを引き起こす可能性も指摘されています。
・口内炎や口の怪我のリスク
飛び出た八重歯が唇や頬の内側を傷つけやすく、口内炎ができやすくなります。
転倒した際に唇などを切ってしまうリスクもあります。
これらの健康上のデメリットを考慮すると八重歯が1本だけであっても、矯正治療を検討することをおすすめします。
矯正治療によって歯並びが整うことで、これらのリスクを軽減し口腔内の健康だけでなく全身の健康にも良い影響が期待できます。
【治療本数】6本(1本抜歯)