症例写真(No.350922)

当院の症例写真は、画像処理により形や大きさをかえるような処理は一切おこなっておりません。

竹本佳子(歯科) 医師

No.350922【美容歯科】【本当にかわいくなりたい人は竹本佳子院長】インビザラインモデレート(両顎)/20代女性/ガタつき・捻じれ

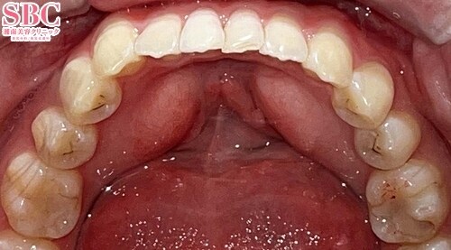
施術前

下の歯の写真ですが、特に前歯4本のガタつきが気になりますね
→

施術後9ヶ月後

ガタつきも無くなりキレイなアーチ状の歯並びになりました♪
すべての画像を見る

施術した院

部位

施術

施術回数

数量

性別

施術担当者からのコメント

ご興味ある方は一度無料カウンセリングにお越しください(^^)
マウスピース矯正はプランが様々あり、どれが自分に適したプランなのか分からない。とお悩みの方も多いかと思います。
カウンセリングにお越しいただければ一つ一つご質問にお答えできます。
一緒にお悩み解決に向けて最善なプランを考えましょう!



×

当院におけるワクチン接種後の治療間隔(ガイドライン)

美容皮膚科、美容外科小手術

前後3日(手術日は含まず)、自覚する副反応がなければ可
安心麻酔を使用するものは接種後1週間は空ける

美容外科中、大手術

前後1週間
副反応が残っている場合は延期
接種部位と手術部位が同じ場合は2週間は空ける

×

お急ぎの方はお電話ください

0120-489-100

受付時間 / 10:00~23:00