お急ぎの方はお電話ください
WEB予約
メンズ専用
LINE登録
オンラインストア
SBC公式アプリ
SBC 採用サイト
医療機関検索サイトアイメッド
定額制セルフエステ
当院の症例写真は、画像処理により形や大きさをかえるような処理は一切おこなっておりません。
野水隆太郎 医師
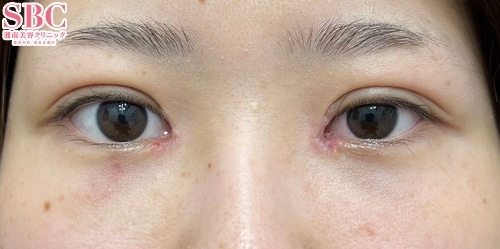
施術前
施術後1ヶ月後
施術した院
部位
施術
施術回数
数量
性別
■モニターのお客様クイックコスメティークダブルNeoと目頭切開を受けられた20代の方の症例です。QCWと目頭切開の傷跡も目立たず、施術前よりも目がぱっちりしました。ーーーーーーーーーーーーーーーーーーーーーーーーーーーーーーーーーーーーーーーー野水医師の丁寧なデザイン、圧倒的なセンス、でダウンタイムも短く美しく仕上げます!施術を受けて頂いたお客様からはいつもご満足いただき感謝の言葉をいただけます。モニター様の術後アンケートでもいつも満点の評価をいただいています!私は美容医療で外見が変わることで自信を持ち、自信のある表情から周りの評価が変化し、好循環を生むことを信じて毎日全力で美容医療に取り組んでいます。たったの15分で人生が変わります!!一緒に理想的な二重を作りましょう!!お得なモニター様も募集しております。お気軽に無料カウンセリングにお越しください♪
前後3日(手術日は含まず)、自覚する副反応がなければ可安心麻酔を使用するものは接種後1週間は空ける
前後1週間副反応が残っている場合は延期接種部位と手術部位が同じ場合は2週間は空ける
0120-489-100
受付時間 / 10:00~23:00
施術担当者からのコメント
■モニターのお客様
クイックコスメティークダブルNeoと目頭切開を受けられた20代の方の症例です。
QCWと目頭切開の傷跡も目立たず、施術前よりも目がぱっちりしました。
ーーーーーーーーーーーーーーーーーーーーーーーーーーーーーーーーーーーーーーーー
野水医師の丁寧なデザイン、圧倒的なセンス、でダウンタイムも短く美しく仕上げます!
施術を受けて頂いたお客様からはいつもご満足いただき感謝の言葉をいただけます。
モニター様の術後アンケートでもいつも満点の評価をいただいています!
私は美容医療で外見が変わることで自信を持ち、自信のある表情から周りの評価が変化し、好循環を生むことを信じて毎日全力で美容医療に取り組んでいます。
たったの15分で人生が変わります!!一緒に理想的な二重を作りましょう!!
お得なモニター様も募集しております。
お気軽に無料カウンセリングにお越しください♪