症例写真(No.355389)

当院の症例写真は、画像処理により形や大きさをかえるような処理は一切おこなっておりません。

伊藤優(歯科) 医師

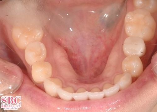
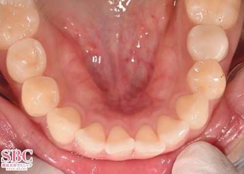
No.355389【美容歯科】前歯の角度を内に美しいアーチへ

施術前

アーチが全体的に広がっており歯が前に出ている印象
→

施術後7ヶ月後

しっかり内に下がって美しいアーチになりました
すべての画像を見る

施術した院

部位

施術

施術回数

数量

性別

施術担当者からのコメント

「健康な歯はできる限り残して治療する」というこだわりがあります。 大切な歯を抜かずに矯正を行うことで、 お客様の身体的負担を軽減し、ご自身の歯で長く快適に過ごしていただけるよう努めています。見た目が美しくなるようにマウスピースの設計をすることはもちろんですが、それだけでなく、お口全体の健康を考慮した治療計画を実施しています。

マウスピース矯正で「歯並びを綺麗に並べる」、「口元を引っ込める」という部分にだけ焦点をあてて矯正を進めてしまうと、お顔のほうれい線が目立ったり、鼻の下が長くなってしまうことがあります。 マウスピース矯正で噛み合わせ等の「機能面を整える」ことはもちろんですが、口元だけに着眼してマウスピースの設計をするのではなく、 お顔全体のバランスを考慮して「お顔全体に対しての口元』と言う広い視野でマウスピースの設計をすることにこだわっています。

マウスピースの設計で無理に歯を動かすようなリスクのある設計は行いません。 矯正終了後も永くご自身の歯で過ごしていただくことを見据えているからこそ、歯に無理 のない治療計画をすることにこだわっています。また、マウスピース矯正は自己管理型の矯正方法ではありますが、医師による経過観察がしっかりと行われることが重要であると考えます。 経過観察で有害事象の早期発見や、歯が計画通り動いていない場合のマウスピースの交換周期の調整等を行い、お客様の理想の歯並びや矯正期間を実現するサポートを徹底しています。



×

当院におけるワクチン接種後の治療間隔(ガイドライン)

美容皮膚科、美容外科小手術

前後3日(手術日は含まず)、自覚する副反応がなければ可
安心麻酔を使用するものは接種後1週間は空ける

美容外科中、大手術

前後1週間
副反応が残っている場合は延期
接種部位と手術部位が同じ場合は2週間は空ける

×

お急ぎの方はお電話ください

0120-489-100

受付時間 / 10:00~23:00