美容外科・美容皮膚科・審美歯科なら湘南美容クリニック
電話予約・電話問い合わせ 10:00~22:45対応 番号を通知してお電話ください 0120-489-100
Instagram
LINE
YouTube
公式アプリ
美容皮膚科
あなたに最適な美容メンテナンスをサポートします!
二重整形
これを見たらあなたも思わず二重にしたくなる♡
医療ダイエット
医療ダイエットをしたらマイナス何センチ?リアルな結果を発信中!
若返り
年齢別・お悩み別で「今やるべき美容医療」がわかる美容医療メディア
クマ取り
クマ取り失敗したくない方必見!成功の秘訣満載★
脂肪吸引
美は武器!夜職女性のための美の総合メディア
予約・お問い合わせ
美容外科 MENU
Language
メインメニュー
診療内容一覧
料金一覧
クリニック案内
ドクター一覧
モニター募集
症例写真
よくある質問
当院が選ばれる理由
当院の症例写真は、画像処理により形や大きさをかえるような処理は一切おこなっておりません。
岡秀樹(歯科) 医師
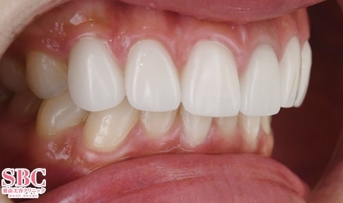
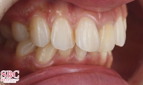
施術前
施術後2ヶ月後
施術した院
部位
施術
施術回数
数量
性別
前歯のガタつき・突出感をセラミックで改善するメリット前歯のガタつきや突出感は、見た目の印象を大きく左右するお悩みの一つです。これを解決する方法として歯の表面を削り、セラミック製の人工歯を被せる「セラミック治療」が注目されています。ワイヤーなどを使った長期間の矯正治療とは異なり、短期間で劇的な変化が期待できるこの治療法には多くのメリットがあります。・理想の口元をデザインできる高い審美性セラミック治療最大のメリットはその優れた審美性です。天然の歯が持つ透明感や色調を忠実に再現できるため、ご自身の他の歯と見分けがつかないほど自然な仕上がりになります。・複数の悩みを一度に解決前歯のガタつきや突出感だけでなく、歯に関する様々なお悩みを同時に解決できるのも大きなメリットです。歯の色や形のコンプレックスも同時に美しく整えることができます。今回のお客様の場合カウンセリングにてお客様のご要望・口腔内診察を行ったところ、過去に前歯1本の神経治療を受けていることが分かりました。そのため前歯の色1本が変色を起こしているため審美面・機能面を含めて改善する治療をご提案させていただきました。そもそも前歯の神経治療(根管治療)を行った後に歯の色がだんだんと黄ばんできたり、黒ずんで見えたりすることがあります。これは歯の内部で起こる変化が主な原因です。一度変色してしまった歯は、通常の歯磨きや表面的なホワイトニングでは白くすることが難しく歯の内部からのアプローチや、歯を覆う方法が必要になります。当院で可能かつ最適な治療として『セラミック治療での改善』をご提案させていただきました。もし、今回のお客様のように神経治療後の歯の変色にお悩みの方がいましたら、放置してしまうと歯そのものを失うリスクにつながるためお早めに当院にご相談ください。
施術担当者からのコメント
前歯のガタつき・突出感をセラミックで改善するメリット
前歯のガタつきや突出感は、見た目の印象を大きく左右するお悩みの一つです。これを解決する方法として歯の表面を削り、セラミック製の人工歯を被せる「セラミック治療」が注目されています。ワイヤーなどを使った長期間の矯正治療とは異なり、短期間で劇的な変化が期待できるこの治療法には多くのメリットがあります。
・理想の口元をデザインできる高い審美性
セラミック治療最大のメリットはその優れた審美性です。天然の歯が持つ透明感や色調を忠実に再現できるため、ご自身の他の歯と見分けがつかないほど自然な仕上がりになります。
・複数の悩みを一度に解決
前歯のガタつきや突出感だけでなく、歯に関する様々なお悩みを同時に解決できるのも大きなメリットです。
歯の色や形のコンプレックスも同時に美しく整えることができます。
今回のお客様の場合
カウンセリングにてお客様のご要望・口腔内診察を行ったところ、過去に前歯1本の神経治療を受けていることが分かりました。そのため前歯の色1本が変色を起こしているため審美面・機能面を含めて改善する治療をご提案させていただきました。
そもそも前歯の神経治療(根管治療)を行った後に歯の色がだんだんと黄ばんできたり、黒ずんで見えたりすることがあります。これは歯の内部で起こる変化が主な原因です。
一度変色してしまった歯は、通常の歯磨きや表面的なホワイトニングでは白くすることが難しく歯の内部からのアプローチや、歯を覆う方法が必要になります。
当院で可能かつ最適な治療として『セラミック治療での改善』をご提案させていただきました。
もし、今回のお客様のように神経治療後の歯の変色にお悩みの方がいましたら、放置してしまうと歯そのものを失うリスクにつながるためお早めに当院にご相談ください。