症例写真(No.355653)
当院の症例写真は、画像処理により形や大きさをかえるような処理は一切おこなっておりません。
榎本格 医師
No.355653【二重・二重整形】【腫れない二重/バレない二重は可能です】『九州での埋没二重は形成外科専門医にお任せください』形成外科医として眼瞼下垂や二重術、クマ手術など目元の症例多数!たくさんのご指名有難うございます☆目元のスペシャリスト形成外科専門医えのもと医師にご相談ください!
すべての画像を見る
施術した院
部位
施術
施術回数
数量
性別












施術担当者からのコメント
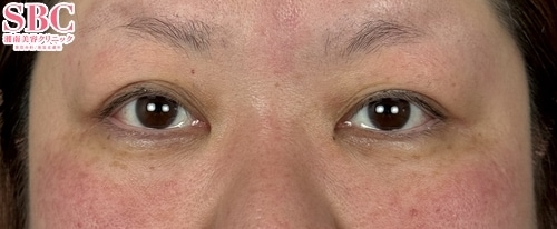
【年齢】40代
【性別】女性
【お悩み】二重メイクをしても二重が安定しなくなってきた。二重の左右差が気になる。目の開きも悪くなってきた。
【ご提案】二重を作成するために腫れが少なく直後からお化粧も可能なクイックコスメティークダブル、そして目の開きを改善しつつ大きな魅力的な目になるようにデカ目術をご紹介しました
術後は二重の幅が安定し左右差はもちろんのこと、三重も改善してスッキリした二重になりました。
瞳孔に入る光を比較していただくと、術後の方が目の開きが良くなっていることがわかります。
二重の幅だけ広くするだけで目の開きが悪いと眠たいような目が強調されてしまうので
デカ目術の併用はオススメです☆
『腫れない二重!糸玉はわからない!』
こだわるならQCW(クイックコスメティークダブル)がオススメです
1. ダウンタイムが少ない
皮膚からアプローチしないので内出血リスクが少ない
2. 糸玉がわからない
糸玉を皮膚側に置かないので
埋没法特有の糸玉が目立つリスクを気にしなくて良い
3. 直後からお化粧が可能
皮膚からアプローチしないので直後の傷や赤みもありません
4. 自然な二重
挙筋法なので目を開けた時だけ二重になります
本来二重の人と同じ生理的で自然な二重です
※ クイックコスメティークダブルだから腫れないわけではありません
そもそも術者の技量がないと術式に関係なく腫れてしまいます
術者の技量と術式があってこそです
そもそも術式など関係なく、全ての手術や処置で
最小限のダウンタイム、腫れないことをモットーにやっています
腫れない二重も実現可能ですので安心してお任せください
腫れないためにこだわっていること!
○ 局所麻酔の量は最小限で
→ 麻酔の量が増えると必然的に腫れます
○ 様々な工夫で痛くないを実現させる
→ 痛みがずっとあると血圧も上がり内出血が増えるリスクアップ
○ 内出血したら圧迫止血を
→ そのまま放っておくから被害が拡大します
形成外科専門医として、
眼瞼下垂症手術や眉下リフトなど
目元のオペをさまざまやってきたからこそ
確かな技術と知識をもとに
あなたの理想を叶えます
モニター症例も募集中です!
安心安全の形成外科専門医/美容外科医
医師12年目
ベテランドクターえのもと医師にお気軽にご相談ください!