美容外科・美容皮膚科・審美歯科なら湘南美容クリニック
電話予約・電話問い合わせ 10:00~22:45対応 番号を通知してお電話ください 0120-489-100
Instagram
LINE
YouTube
公式アプリ
美容皮膚科
あなたに最適な美容メンテナンスをサポートします!
二重整形
これを見たらあなたも思わず二重にしたくなる♡
医療ダイエット
医療ダイエットをしたらマイナス何センチ?リアルな結果を発信中!
若返り
年齢別・お悩み別で「今やるべき美容医療」がわかる美容医療メディア
クマ取り
クマ取り失敗したくない方必見!成功の秘訣満載★
脂肪吸引
美は武器!夜職女性のための美の総合メディア
予約・お問い合わせ
美容外科 MENU
Language
メインメニュー
診療内容一覧
料金一覧
クリニック案内
ドクター一覧
モニター募集
症例写真
よくある質問
当院が選ばれる理由
当院の症例写真は、画像処理により形や大きさをかえるような処理は一切おこなっておりません。
加藤由紀子(歯科) 医師
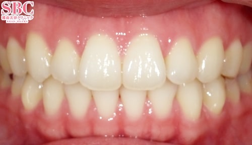
施術前
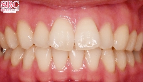
施術後7ヶ月後
施術した院
部位
施術
施術回数
数量
性別
『出会い』の第一印象は、口元の美しさと言われている事はご存知ですか?人生の中で、皆さんには、様々の出会いがあると思います。その出会いをステキなものにして欲しいと願っています。だからこそ、お化粧や髪型では取り繕えない部分である、口元の美しさも手に入れて欲しいものです。口元は、その人の生活が垣間見える部分でもあります。美しさと、さらには機能まで兼ね備えた口元を、共に考え、デザインしていきましょう!!女医として、親しみやすく、話しやすいドクターでありたいと思っています。些細な事も、何でもお話しください。みなさんのステキな出会いにお力をお貸し出来るよう、精一杯取り組ませて頂きます。お待ちしております。
施術担当者からのコメント
『出会い』の第一印象は、口元の美しさと言われている事はご存知ですか?
人生の中で、皆さんには、様々の出会いがあると思います。
その出会いをステキなものにして欲しいと願っています。
だからこそ、お化粧や髪型では取り繕えない部分である、口元の美しさも手に入れて欲しいものです。
口元は、その人の生活が垣間見える部分でもあります。
美しさと、さらには機能まで兼ね備えた口元を、共に考え、デザインしていきましょう!!
女医として、親しみやすく、話しやすいドクターでありたいと思っています。
些細な事も、何でもお話しください。
みなさんのステキな出会いにお力をお貸し出来るよう、精一杯取り組ませて頂きます。
お待ちしております。