美容外科・美容皮膚科・審美歯科なら湘南美容クリニック
電話予約・電話問い合わせ 10:00~22:45対応 番号を通知してお電話ください 0120-489-100
Instagram
LINE
YouTube
公式アプリ
美容皮膚科
あなたに最適な美容メンテナンスをサポートします!
二重整形
これを見たらあなたも思わず二重にしたくなる♡
医療ダイエット
医療ダイエットをしたらマイナス何センチ?リアルな結果を発信中!
若返り
年齢別・お悩み別で「今やるべき美容医療」がわかる美容医療メディア
クマ取り
クマ取り失敗したくない方必見!成功の秘訣満載★
脂肪吸引
美は武器!夜職女性のための美の総合メディア
予約・お問い合わせ
美容外科 MENU
Language
メインメニュー
診療内容一覧
料金一覧
クリニック案内
ドクター一覧
モニター募集
症例写真
よくある質問
当院が選ばれる理由
当院の症例写真は、画像処理により形や大きさをかえるような処理は一切おこなっておりません。
加藤由紀子(歯科) 医師
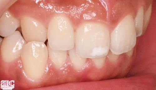
施術前
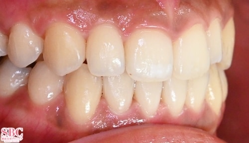
施術後2ヶ月後
施術した院
部位
施術
施術回数
数量
性別
前歯の突出感とクロスバイトが気になりました。マウスピース矯正で綺麗な歯並びになりました!【マウスピース矯正におすすめな方】・歯並びを矯正をしていることを周囲に知られたくない方・歯列矯正の間も変わらず食事を楽しみたい方・金属アレルギーをお持ちの方・取り外しができない治療に不安がある方・痛みに不安がある方・頻繁な通院が難しい方※「インビザライン」とは、歯科先進国アメリカのアライン・テクノロジー社によって開発された「マウスピース型カスタムメイド矯正装置」で、前歯の治療に特化した矯正方法です。マウスピース型の歯列矯正「インビザライン」は、従来の歯列矯正より負担が少なく、治療中のご自身のライフスタイルを変える必要がありません。世界の1200万人を超える方(2022年2月時点)がインビザラインの治療を受け、約100ヵ国以上で治療がおこなわれています。【マウスピース矯正中の過ごし方】・1日20時間(食事するとき以外)はマウスピースを装着してください・マウスピースをしっかりフィットさせて矯正をスムーズに進めるために『チューイ』をしっかり噛んでください・医師の指示に従ってください
施術担当者からのコメント
前歯の突出感とクロスバイトが気になりました。
マウスピース矯正で綺麗な歯並びになりました!
【マウスピース矯正におすすめな方】
・歯並びを矯正をしていることを周囲に知られたくない方
・歯列矯正の間も変わらず食事を楽しみたい方
・金属アレルギーをお持ちの方
・取り外しができない治療に不安がある方
・痛みに不安がある方
・頻繁な通院が難しい方
※「インビザライン」とは、歯科先進国アメリカのアライン・テクノロジー社によって開発された「マウスピース型カスタムメイド矯正装置」で、前歯の治療に特化した矯正方法です。マウスピース型の歯列矯正「インビザライン」は、従来の歯列矯正より負担が少なく、治療中のご自身のライフスタイルを変える必要がありません。世界の1200万人を超える方(2022年2月時点)がインビザラインの治療を受け、約100ヵ国以上で治療がおこなわれています。
【マウスピース矯正中の過ごし方】
・1日20時間(食事するとき以外)はマウスピースを装着してください
・マウスピースをしっかりフィットさせて矯正をスムーズに進めるために『チューイ』をしっかり噛んでください
・医師の指示に従ってください