美容外科・美容皮膚科・審美歯科なら湘南美容クリニック
電話予約・電話問い合わせ 10:00~22:45対応 番号を通知してお電話ください 0120-489-100
Instagram
LINE
YouTube
公式アプリ
美容皮膚科
あなたに最適な美容メンテナンスをサポートします!
二重整形
これを見たらあなたも思わず二重にしたくなる♡
医療ダイエット
医療ダイエットをしたらマイナス何センチ?リアルな結果を発信中!
若返り
年齢別・お悩み別で「今やるべき美容医療」がわかる美容医療メディア
クマ取り
クマ取り失敗したくない方必見!成功の秘訣満載★
脂肪吸引
美は武器!夜職女性のための美の総合メディア
予約・お問い合わせ
美容外科 MENU
Language
メインメニュー
診療内容一覧
料金一覧
クリニック案内
ドクター一覧
モニター募集
症例写真
よくある質問
当院が選ばれる理由
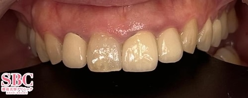
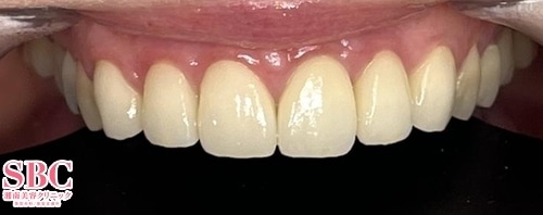
当院の症例写真は、画像処理により形や大きさをかえるような処理は一切おこなっておりません。
北川哲太郎(歯科) 医師
施術前
施術後2ヶ月後
施術した院
部位
施術
施術回数
数量
性別
千葉にくる価値あり!仕上がりの美しさで選ばれてます!自分ではどうにもならない歯の悩みを経験豊富な北川歯科医師が解消致します!お顔全体のバランスを大事にしながら、貴方にピッタリの歯並びをご提案!美容歯科医歴約10年の圧倒的症例数★細やかな施術と綺麗な仕上がりで指名多数!お客様のご希望と、長年培ってきた豊富な知識と経験、技術を掛け合わせて一緒にお悩みを解決致します。丁寧なカウンセリングとスムーズな施術も人気です。まずは、お悩みを聞かせて下さい。ご予約お待ちしています
施術担当者からのコメント
千葉にくる価値あり!仕上がりの美しさで選ばれてます!
自分ではどうにもならない歯の悩みを経験豊富な北川歯科医師が解消致します!
お顔全体のバランスを大事にしながら、貴方にピッタリの歯並びをご提案!
美容歯科医歴約10年の圧倒的症例数★
細やかな施術と綺麗な仕上がりで指名多数!
お客様のご希望と、長年培ってきた豊富な知識と経験、技術を掛け合わせて一緒にお悩みを解決致します。
丁寧なカウンセリングとスムーズな施術も人気です。
まずは、お悩みを聞かせて下さい。ご予約お待ちしています