お急ぎの方はお電話ください
WEB予約
メンズ専用
LINE登録
オンラインストア
SBC e Gift
SBC公式アプリ
SBC 採用サイト
医療機関検索サイトアイメッド
定額制セルフエステ
当院の症例写真は、画像処理により形や大きさをかえるような処理は一切おこなっておりません。
小岩淳(歯科) 医師
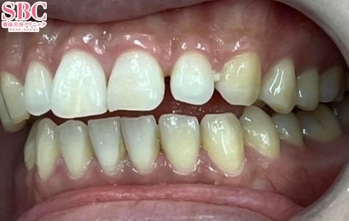
施術前
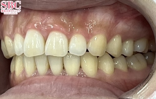
施術後4ヶ月後
施術した院
部位
施術
施術回数
数量
性別
【どんな症例??】前歯で物が噛めないんです。。。歯の隙間も多くてとお悩み。前歯も少し出ていたため、全てを改善できるモデレートプランで矯正スタート。たった4か月で開咬も隙間も出っ張感もなくなり!!顔にもポジティブな変化が見られ、笑顔で過ごせる日が増えたようです。こちらのお客様にとってはポジティブな変化しかなかったと大変お喜びでした^^!歯科医師歴20年の知識・経験・技術でお客様の理想を実現します!お客様の将来を考えた治療を一番に提案しておりますが、無理な治療は絶対すすめません。お客様のなりたいゴールを一緒に考えながらお作りします!カウンセリング、レントゲン、見積もりはすべて無料です。ぜひ迷っている時にはカウンセリングにお越しください^^
前後3日(手術日は含まず)、自覚する副反応がなければ可安心麻酔を使用するものは接種後1週間は空ける
前後1週間副反応が残っている場合は延期接種部位と手術部位が同じ場合は2週間は空ける
施術担当者からのコメント
【どんな症例??】
前歯で物が噛めないんです。。。歯の隙間も多くてとお悩み。
前歯も少し出ていたため、全てを改善できるモデレートプランで矯正スタート。
たった4か月で開咬も隙間も出っ張感もなくなり!!
顔にもポジティブな変化が見られ、笑顔で過ごせる日が増えたようです。
こちらのお客様にとってはポジティブな変化しかなかったと大変お喜びでした^^!
歯科医師歴20年の知識・経験・技術でお客様の理想を実現します!
お客様の将来を考えた治療を一番に提案しておりますが、
無理な治療は絶対すすめません。
お客様のなりたいゴールを一緒に考えながらお作りします!
カウンセリング、レントゲン、見積もりはすべて無料です。
ぜひ迷っている時にはカウンセリングにお越しください^^