美容外科・美容皮膚科・審美歯科なら湘南美容クリニック
電話予約・電話問い合わせ 10:00~22:45対応 番号を通知してお電話ください 0120-489-100
Instagram
LINE
YouTube
公式アプリ
美容皮膚科
あなたに最適な美容メンテナンスをサポートします!
二重整形
これを見たらあなたも思わず二重にしたくなる♡
医療ダイエット
医療ダイエットをしたらマイナス何センチ?リアルな結果を発信中!
若返り
年齢別・お悩み別で「今やるべき美容医療」がわかる美容医療メディア
クマ取り
クマ取り失敗したくない方必見!成功の秘訣満載★
脂肪吸引
美は武器!夜職女性のための美の総合メディア
予約・お問い合わせ
美容外科 MENU
Language
メインメニュー
診療内容一覧
料金一覧
クリニック案内
ドクター一覧
モニター募集
症例写真
よくある質問
当院が選ばれる理由
当院の症例写真は、画像処理により形や大きさをかえるような処理は一切おこなっておりません。
加藤由紀子(歯科) 医師
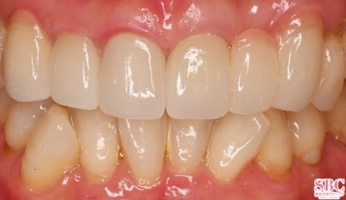
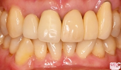
施術前
施術後2ヶ月後
施術した院
部位
施術
施術回数
数量
性別
主訴:全体の色味・歯の大きさを改善したい治療期間:2ヶ月【こんな方におすすめ】・天然歯に近い色の詰め物・被せ物をご希望の方・歯が変色している方・金属アレルギーの方・短期間で歯並びを整えたい方・矯正装置を使う治療に抵抗がある方【プレミアムダイヤモンドセラミックの特長】光の透過性が高く、透明感のある美しい素材。人工関節などにも利用されている体に優しい素材で、歯肉ともなじみやすく、周辺の歯肉に悪影響を及ぼしたり、変色したり腐食することもありません。金属アレルギー反応を起こしていた方でも安心です。プレミアムダイヤモンドセラミックは最短一日でキレイな仮歯に仕上がります。通常の場合、数回に分けてする治療を1回目に凝縮しておこなうことで、カウンセリング当日や治療1回目に美しいお口元が手に入るのが当院で行っているセラミック治療です。仮歯であっても見た目にこだわり、お客様のストレスをなるべく取り除けるよう努めております。 仮歯とはいえ自然で美しい歯のように見えるよう、お客様に合わせたオーダーメイドで作成しておりますので、色、形、装着角度のこだわった、美しい仮歯をご提供することが可能です。 その後修正を加え、最終的なダイヤモンドセラミックが完成します。★★instagramやってます★★instagramの方ではより詳しく&沢山の症例写真を載せています!是非チェックしてみて下さい♪@sbcdental_yokohama≪↓↓下のリンクから飛べます↓↓≫https://s.s-b-c.net/9iqu16h4
施術担当者からのコメント
主訴:全体の色味・歯の大きさを改善したい
治療期間:2ヶ月
【こんな方におすすめ】
・天然歯に近い色の詰め物・被せ物をご希望の方
・歯が変色している方
・金属アレルギーの方
・短期間で歯並びを整えたい方
・矯正装置を使う治療に抵抗がある方
【プレミアムダイヤモンドセラミックの特長】
光の透過性が高く、透明感のある美しい素材。
人工関節などにも利用されている体に優しい素材で、歯肉ともなじみやすく、周辺の歯肉に悪影響を及ぼしたり、変色したり腐食することもありません。
金属アレルギー反応を起こしていた方でも安心です。
プレミアムダイヤモンドセラミックは最短一日でキレイな仮歯に仕上がります。
通常の場合、数回に分けてする治療を1回目に凝縮しておこなうことで、カウンセリング当日や治療1回目に美しいお口元が手に入るのが当院で行っているセラミック治療です。
仮歯であっても見た目にこだわり、お客様のストレスをなるべく取り除けるよう努めております。 仮歯とはいえ自然で美しい歯のように見えるよう、お客様に合わせたオーダーメイドで作成しておりますので、色、形、装着角度のこだわった、美しい仮歯をご提供することが可能です。 その後修正を加え、最終的なダイヤモンドセラミックが完成します。
★★instagramやってます★★
instagramの方ではより詳しく&沢山の症例写真を載せています!
是非チェックしてみて下さい♪
@sbcdental_yokohama
≪↓↓下のリンクから飛べます↓↓≫
https://s.s-b-c.net/9iqu16h4