お急ぎの方はお電話ください
WEB予約
メンズ専用
LINE登録
オンラインストア
SBC e Gift
SBC公式アプリ
SBC 採用サイト
医療機関検索サイトアイメッド
定額制セルフエステ
当院の症例写真は、画像処理により形や大きさをかえるような処理は一切おこなっておりません。
小岩淳(歯科) 医師
施術前
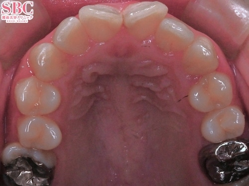
施術後13ヶ月後
施術した院
部位
施術
施術回数
数量
性別
歯科医師歴20年の知識・経験・技術でお客様の理想を実現します!お客様の将来を考えた治療を一番に提案しておりますが、無理な治療は絶対すすめません。お客様のなりたいゴールを一緒に考えながらお作りします!カウンセリング、レントゲン、見積もりはすべて無料です。ぜひ迷っている時にはカウンセリングにお越しください^^【どんな症例??】挙式予定があり、少しでもきれいな状態で臨みたく矯正を探していたようです。前歯のガタツキもそうですが、奥歯にもガタツキ強くあり、全体矯正のモデレートプランでご案内。11月スタートで、翌12月に挙式決定!最後のマウスピースを1枚を残すところで挙式となりました。奥歯のアーチが狭く、当初は見える歯の本数が少なかったですが、矯正後は白く並ぶ歯がより見えるようになり、見違えるほどきれいになりました^^!!
前後3日(手術日は含まず)、自覚する副反応がなければ可安心麻酔を使用するものは接種後1週間は空ける
前後1週間副反応が残っている場合は延期接種部位と手術部位が同じ場合は2週間は空ける
施術担当者からのコメント
歯科医師歴20年の知識・経験・技術でお客様の理想を実現します!
お客様の将来を考えた治療を一番に提案しておりますが、
無理な治療は絶対すすめません。
お客様のなりたいゴールを一緒に考えながらお作りします!
カウンセリング、レントゲン、見積もりはすべて無料です。
ぜひ迷っている時にはカウンセリングにお越しください^^
【どんな症例??】
挙式予定があり、少しでもきれいな状態で臨みたく矯正を探していたようです。
前歯のガタツキもそうですが、奥歯にもガタツキ強くあり、全体矯正のモデレートプランでご案内。
11月スタートで、翌12月に挙式決定!
最後のマウスピースを1枚を残すところで挙式となりました。
奥歯のアーチが狭く、当初は見える歯の本数が少なかったですが、
矯正後は白く並ぶ歯がより見えるようになり、見違えるほどきれいになりました^^!!