お急ぎの方はお電話ください
WEB予約
メンズ専用
LINE登録
オンラインストア
SBC公式アプリ
SBC 採用サイト
医療機関検索サイトアイメッド
定額制セルフエステ
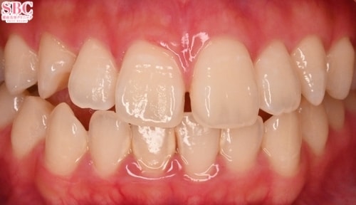
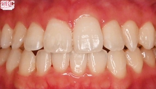
当院の症例写真は、画像処理により形や大きさをかえるような処理は一切おこなっておりません。
加藤由紀子(歯科) 医師
施術前
施術後6ヶ月後
施術した院
部位
施術
施術回数
数量
性別
皆さん、こんにちは。歯科医師の加藤由紀子と申します。『出会い』の第一印象は、口元の美しさと言われている事はご存知ですか?人生の中で、皆さんには、様々の出会いがあると思います。その出会いをステキなものにして欲しいと願っています。だからこそ、お化粧や髪型では取り繕えない部分である、口元の美しさも手に入れて欲しいものです。口元は、その人の生活が垣間見える部分でもあります。美しさと、さらには機能まで兼ね備えた口元を、共に考え、デザインしていきましょう!!女医として、親しみやすく、話しやすいドクターでありたいと思っています。些細な事も、何でもお話しください。みなさんのステキな出会いにお力をお貸し出来るよう、精一杯取り組ませて頂きます。お待ちしております。
前後3日(手術日は含まず)、自覚する副反応がなければ可安心麻酔を使用するものは接種後1週間は空ける
前後1週間副反応が残っている場合は延期接種部位と手術部位が同じ場合は2週間は空ける
0120-489-100
受付時間 / 10:00~23:00
施術担当者からのコメント
皆さん、こんにちは。
歯科医師の加藤由紀子と申します。
『出会い』の第一印象は、口元の美しさと言われている事はご存知ですか?
人生の中で、皆さんには、様々の出会いがあると思います。
その出会いをステキなものにして欲しいと願っています。
だからこそ、お化粧や髪型では取り繕えない部分である、口元の美しさも手に入れて欲しいものです。
口元は、その人の生活が垣間見える部分でもあります。
美しさと、さらには機能まで兼ね備えた口元を、共に考え、デザインしていきましょう!!
女医として、親しみやすく、話しやすいドクターでありたいと思っています。
些細な事も、何でもお話しください。
みなさんのステキな出会いにお力をお貸し出来るよう、精一杯取り組ませて頂きます。
お待ちしております。