症例写真(No.356450)

当院の症例写真は、画像処理により形や大きさをかえるような処理は一切おこなっておりません。

加瀬令奈(歯科) 医師

No.356450【美容歯科】【MVP受賞Dr・加瀬れいな】最短2ヶ月以内?!歯の形も色も歯並びも全て解決するのはセラミック治療一択!【セラミック】

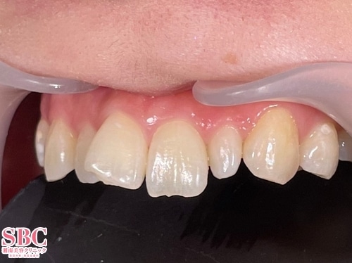
施術前

歯の段差や、がたつき、大きさが気になっていました
→

施術後2ヶ月後

抜歯せずここまで綺麗に
すべての画像を見る

施術した院

部位

施術

施術回数

数量

性別

施術担当者からのコメント

歯のがたつきや、大きさが気になるお客様。
矯正の提案もさせていただきましたが、とにかく早く綺麗にしたい!とのことでセラミック治療を選択。
被せ物でここまで綺麗に

当院は豊富なメニューの取り扱いがありますので、
ご予算やご要望に合わせた最適案のご案内が可能です。
他院で高額な見積もりも提示された方などぜひ、一度当院の無料カウンセリングを受けてみませんか?

☆★☆2023年 SBCアワードMVP受賞☆★☆
 ☆★☆2024年 SBCアワードMVP受賞☆★☆
  ☆★☆2025年 SBCアワードMVP受賞☆★☆

に表彰されました。 
ありがとうございます。

セラミック治療・マウスピース矯正なら“れいな先生”

【マウスピースもセラミックもできるからこそ、ベストな治療を提案できる強み】
【圧倒的な症例数で、貴方の悩みにピンポイントで寄り添う】
【予算やご要望に対するカウンセリング力が高評価】
【わかりやすい説明と女医ならでは目線】
【当院での矯正経験者だからわかる!治療への配慮】
【明るさが自慢!話しやすい雰囲気で楽しく】
【センスが圧倒的!インスタグラムからの指名殺到中】

インビザライン
湘南マウスピース
クリアコレクト 
セラミック
ジルコニア
ベニア
ホワイトニング
湘南美容クリニックなら多数の治療取り扱いあり!

貴方にあったメニューでご提案可能!

☆instagramにて症例多数掲載中☆
@sbc_reinaで検索!

ーーーーーーーーーーーーーーーーーーーーーー
湘南歯科クリニック
池袋院
加瀬令奈

ご予約は→0120-548-908

時間なのか、費用なのか、完成度なのか、ダウンタイムなのか
人によって選ぶポイントは様々
ぜひ無料カウンセリングにお越しください♪



×

当院におけるワクチン接種後の治療間隔(ガイドライン)

美容皮膚科、美容外科小手術

前後3日(手術日は含まず)、自覚する副反応がなければ可
安心麻酔を使用するものは接種後1週間は空ける

美容外科中、大手術

前後1週間
副反応が残っている場合は延期
接種部位と手術部位が同じ場合は2週間は空ける

×

お急ぎの方はお電話ください

0120-489-100

受付時間 / 10:00~23:00