美容外科・美容皮膚科・審美歯科なら湘南美容クリニック
電話予約・電話問い合わせ 10:00~22:45対応 番号を通知してお電話ください 0120-489-100
Instagram
LINE
YouTube
公式アプリ
美容皮膚科
あなたに最適な美容メンテナンスをサポートします!
二重整形
これを見たらあなたも思わず二重にしたくなる♡
医療ダイエット
医療ダイエットをしたらマイナス何センチ?リアルな結果を発信中!
若返り
年齢別・お悩み別で「今やるべき美容医療」がわかる美容医療メディア
クマ取り
クマ取り失敗したくない方必見!成功の秘訣満載★
脂肪吸引
美は武器!夜職女性のための美の総合メディア
予約・お問い合わせ
美容外科 MENU
Language
メインメニュー
診療内容一覧
料金一覧
クリニック案内
ドクター一覧
モニター募集
症例写真
よくある質問
当院が選ばれる理由
当院の症例写真は、画像処理により形や大きさをかえるような処理は一切おこなっておりません。
伊藤優(歯科) 医師
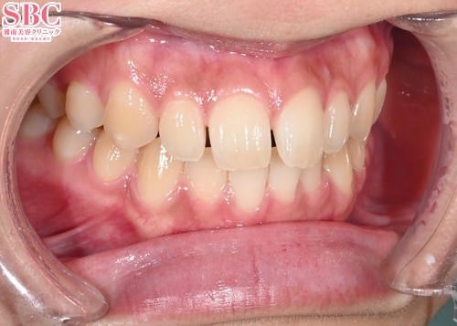
施術前
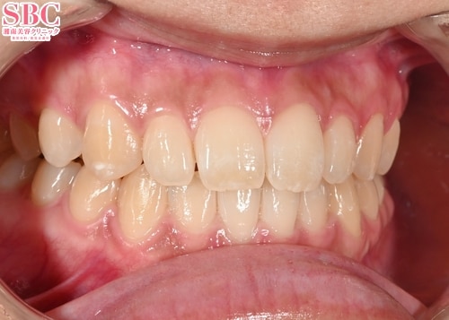
施術後2ヶ月後
施術した院
部位
施術
施術回数
数量
性別
「健康な歯はできる限り残して治療する」というこだわりがあります。 大切な歯を抜かずに矯正を行うことで、 お客様の身体的負担を軽減し、ご自身の歯で長く快適に過ごしていただけるよう努めています。見た目が美しくなるようにマウスピースの設計をすることはもちろんですが、それだけでなく、お口全体の健康を考慮した治療計画を実施しています。マウスピース矯正で「歯並びを綺麗に並べる」、「口元を引っ込める」という部分にだけ焦点をあてて矯正を進めてしまうと、お顔のほうれい線が目立ったり、鼻の下が長くなってしまうことがあります。 マウスピース矯正で噛み合わせ等の「機能面を整える」ことはもちろんですが、口元だけに着眼してマウスピースの設計をするのではなく、 お顔全体のバランスを考慮して「お顔全体に対しての口元』と言う広い視野でマウスピースの設計をすることにこだわっています。マウスピースの設計で無理に歯を動かすようなリスクのある設計は行いません。 矯正終了後も永くご自身の歯で過ごしていただくことを見据えているからこそ、歯に無理 のない治療計画をすることにこだわっています。また、マウスピース矯正は自己管理型の矯正方法ではありますが、医師による経過観察がしっかりと行われることが重要であると考えます。 経過観察で有害事象の早期発見や、歯が計画通り動いていない場合のマウスピースの交換周期の調整等を行い、お客様の理想の歯並びや矯正期間を実現するサポートを徹底しています。
施術担当者からのコメント
「健康な歯はできる限り残して治療する」というこだわりがあります。 大切な歯を抜かずに矯正を行うことで、 お客様の身体的負担を軽減し、ご自身の歯で長く快適に過ごしていただけるよう努めています。見た目が美しくなるようにマウスピースの設計をすることはもちろんですが、それだけでなく、お口全体の健康を考慮した治療計画を実施しています。
マウスピース矯正で「歯並びを綺麗に並べる」、「口元を引っ込める」という部分にだけ焦点をあてて矯正を進めてしまうと、お顔のほうれい線が目立ったり、鼻の下が長くなってしまうことがあります。 マウスピース矯正で噛み合わせ等の「機能面を整える」ことはもちろんですが、口元だけに着眼してマウスピースの設計をするのではなく、 お顔全体のバランスを考慮して「お顔全体に対しての口元』と言う広い視野でマウスピースの設計をすることにこだわっています。
マウスピースの設計で無理に歯を動かすようなリスクのある設計は行いません。 矯正終了後も永くご自身の歯で過ごしていただくことを見据えているからこそ、歯に無理 のない治療計画をすることにこだわっています。また、マウスピース矯正は自己管理型の矯正方法ではありますが、医師による経過観察がしっかりと行われることが重要であると考えます。 経過観察で有害事象の早期発見や、歯が計画通り動いていない場合のマウスピースの交換周期の調整等を行い、お客様の理想の歯並びや矯正期間を実現するサポートを徹底しています。