症例写真(No.357639)

当院の症例写真は、画像処理により形や大きさをかえるような処理は一切おこなっておりません。

加藤華子(歯科) 医師

No.357639【美容歯科】上下のガタツキをマウスピース矯正で改善★

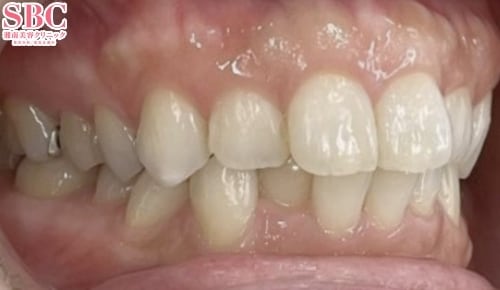
施術前

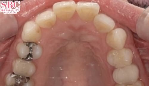
歯のガタツキや重なりが気になるとのこと・・・
→

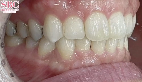
施術後12ヶ月後

段差も重なりも改善されました★
すべての画像を見る

施術した院

部位

施術

施術回数

数量

性別

関連症例写真

歯の重なりが目立ってしまいますね・・・
笑顔の印象がさらに素敵になりました★
横から見ると重なりが目立ちます・・・
段差・重なり解消して綺麗に並びました★
前歯2本が少し出てます・・・
しっかりアーチに入りました★

施術担当者からのコメント

上下の段差が気になるとのことで、インビザラインGoで矯正治療をした症例になります。

歯の重なりや段差、ねじれがあると磨き残しが起こりやすくなりその結果虫歯や歯周病になりやすくなってしまいます。
並びを改善することで今後の歯の健康を維持することに繋がります★

歯並びによっては、IPR(歯と歯の間にスペースを作る処置)や歯同士をゴムで引っ張ったりする処置が必要な場合もございます。

どのプランが適切かカウンセリング時にご説明させていただきます★



×

当院におけるワクチン接種後の治療間隔(ガイドライン)

美容皮膚科、美容外科小手術

前後3日(手術日は含まず)、自覚する副反応がなければ可
安心麻酔を使用するものは接種後1週間は空ける

美容外科中、大手術

前後1週間
副反応が残っている場合は延期
接種部位と手術部位が同じ場合は2週間は空ける

×

お急ぎの方はお電話ください

0120-489-100

受付時間 / 10:00~23:00