お急ぎの方はお電話ください
WEB予約
メンズ専用
LINE登録
オンラインストア
SBC公式アプリ
SBC 採用サイト
医療機関検索サイトアイメッド
定額制セルフエステ
当院の症例写真は、画像処理により形や大きさをかえるような処理は一切おこなっておりません。
加藤華子(歯科) 医師
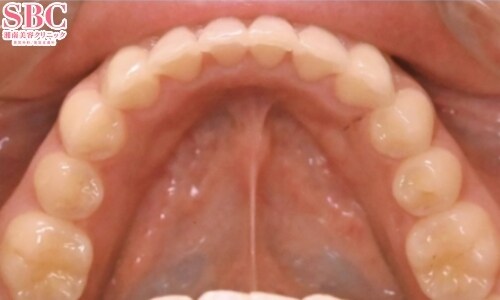
施術前
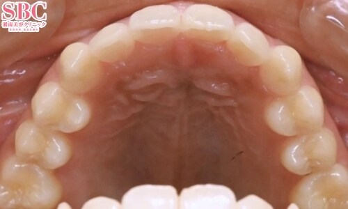
施術後16ヶ月後
施術した院
部位
施術
施術回数
数量
性別
「上下の歯の重なりやガタツキが気になる」とのことでインビザラインモデレートで治療したお写真になります★マウスピース矯正は一日20時間以上マウスピースを使用し1週間?10日位の交換で進めていきます。スペースが足りない場合はIPR(歯と歯の間を削ってスペースを作る処置)やゴムかけが必要になる場合がございます。どのプランが適切かカウンセリング時にご説明させていただきます★ご興味ある方は是非カウンセリングにいらしてくださいませ。お待ちしております!
前後3日(手術日は含まず)、自覚する副反応がなければ可安心麻酔を使用するものは接種後1週間は空ける
前後1週間副反応が残っている場合は延期接種部位と手術部位が同じ場合は2週間は空ける
0120-489-100
受付時間 / 10:00~23:00
施術担当者からのコメント
「上下の歯の重なりやガタツキが気になる」とのことでインビザラインモデレートで治療したお写真になります★
マウスピース矯正は一日20時間以上マウスピースを使用し1週間?10日位の交換で進めていきます。
スペースが足りない場合はIPR(歯と歯の間を削ってスペースを作る処置)やゴムかけが必要になる場合がございます。
どのプランが適切かカウンセリング時にご説明させていただきます★
ご興味ある方は是非カウンセリングにいらしてくださいませ。
お待ちしております!