症例写真(No.359167)

当院の症例写真は、画像処理により形や大きさをかえるような処理は一切おこなっておりません。

赤尾健 医師

No.359167【二重・二重整形】【池袋東口院】【埋没法二重術】二重手術件数全国No.1、二重整形No.1ドクター決定戦優勝者のDr.赤尾による緻密に計算された二重術

施術前

長年のアイテープの影響でかなり瞼が伸びてしまっていました。
→

施術後1ヶ月後

メイクあり。ご希望通りの平行二重になられました。
→

施術後1ヶ月後

メイクなし。スッピンでもとても綺麗な二重になられました。

すべての画像を見る

施術した院

部位

施術

施術回数

数量

性別

関連症例写真

手術直後
手術1週間後 メイクなし
手術1週間後 メイクあり
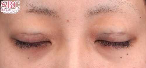
手術直後 閉眼時
手術1週間後 閉眼時 
手術1ヶ月後 閉眼時 
手術前 斜め
手術直後 斜め
手術1週間後 斜め
手術1ヶ月後 斜め

施術担当者からのコメント

ご紹介するお客様は20代女性の方です。
一重にお悩みで長年アイテープで癖付けされていましたが、安定した二重線がつかず、瞼の皮が伸びてしまっていました。

今回は埋没法の中でも、
・最も腫れが少なく
・最もバレにくく(糸玉のポコつきがしにくい)
・最も持ちの良い
クイックコスメティーク・トリプルNeoを選択されました。
この施術は二重のラインが取れたり薄くなった際に再手術できる保証が一生涯ついてます。

手術直後、1週間後、1ヶ月後の写真をご覧ください。

左右差のないとても綺麗な平行二重に仕上がっています。
目を閉じても糸玉や傷跡がないので、写真のとおり生まれつきの二重のようです。

埋没法はカウンセリングとデザインでほぼ結果が決まります。僕はお客様とじっくり話し合い、理想の二重を共に作っています。デザインにかける時間は手術よりも長く、また時には不適応をお伝えすることもあります。

僕は美容医療で外見が変わることで自信を持ち、その自信が周囲の評価を変え、好循環を生むと信じています。
たった15分で人生が変わります!!一緒に理想的な二重を作りましょう!!

★★ハイブリッド二重術/クイックコスメティークトリプルneo二重術★★

* 糸玉のポコつきがなく自然な仕上がり
* 持続力が強く、一生涯保証の安心感
* 最小限の腫れ

【こんな方におすすめ】
* お休みが取りづらい方
* 周りにばれたくない方
* 瞼に糸玉ができないか心配な方

心よりご来院をお待ちしていますね^^
詳細は下記の僕のインスタグラムやYouTubeもぜひ参考にしてみてください。

湘南美容クリニック池袋東口院院長 赤尾

●医師/美容外科専門医(JSAS)
●SBCグループゾーン統括ドクター
●美容外科医No.1決定戦 The Real Doctor初代優勝者
● 二重整形施術件数全国No.1(2021年~2022年連続、2023年上期、2024年~2025年上期)
●クイックコスメティーク施術件数全国No.1(2021年〜2022年連続、2023年上期)
●モニターランキング全国No.1
●口コミ広場評価全国No.1

★★話題のSNSはコチラ★★
目元専用インスタグラム:@sbc_akao
YouTube:あかけん先生(検索で見つかります)

▲▲上の*ドクター関連リンク*から飛べます▲▲



×

当院におけるワクチン接種後の治療間隔(ガイドライン)

美容皮膚科、美容外科小手術

前後3日(手術日は含まず)、自覚する副反応がなければ可
安心麻酔を使用するものは接種後1週間は空ける

美容外科中、大手術

前後1週間
副反応が残っている場合は延期
接種部位と手術部位が同じ場合は2週間は空ける