お急ぎの方はお電話ください
WEB予約
メンズ専用
LINE登録
オンラインストア
SBC公式アプリ
SBC 採用サイト
医療機関検索サイトアイメッド
定額制セルフエステ
当院の症例写真は、画像処理により形や大きさをかえるような処理は一切おこなっておりません。
加藤華子(歯科) 医師
施術前
施術後3ヶ月後
施術した院
部位
施術
施術回数
数量
性別
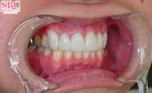
「前歯2本の被せ物の色味が気になるのとご自身の歯の黄色味が気になる」とのことで前歯6本をプレミアムダイヤモンドセラミックにてお治療したお写真になります☆捻じれの強い歯は神経治療が必要な場合もございます。BeforeとAfterで印象がかなり変わりました★かみ合わせによって矯正のほうがおすすめの場合もございます★どのプランが良いのか、カウンセリング時にご説明させていただきます★
前後3日(手術日は含まず)、自覚する副反応がなければ可安心麻酔を使用するものは接種後1週間は空ける
前後1週間副反応が残っている場合は延期接種部位と手術部位が同じ場合は2週間は空ける
0120-489-100
受付時間 / 10:00~23:00
施術担当者からのコメント
「前歯2本の被せ物の色味が気になるのとご自身の歯の黄色味が気になる」とのことで前歯6本をプレミアムダイヤモンドセラミックにてお治療したお写真になります☆
捻じれの強い歯は神経治療が必要な場合もございます。
BeforeとAfterで印象がかなり変わりました★
かみ合わせによって矯正のほうがおすすめの場合もございます★
どのプランが良いのか、カウンセリング時にご説明させていただきます★