症例写真(No.363253)

当院の症例写真は、画像処理により形や大きさをかえるような処理は一切おこなっておりません。

本間重行 医師

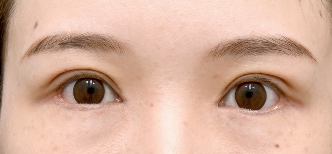
No.363253【二重・二重整形】「目元のフル整形(タテ・ヨコ・ナナメ拡大)」(タルミ取り併用全切開法二重+ROOF切除+他院重糸抜糸+目頭切開+軽度修正+目尻切開+タレ目)

施術前

瞼で白目が隠れており、重い印象。
→

施術後3ヶ月後

瞼をスッキリさせつつ二重にし、目頭側、目尻側も切開し拡大。
すべての画像を見る

施術した院

部位

施術

施術回数

数量

性別

関連症例写真

1ヶ月後(腫れ/むくみが残っている状態。徐々に馴染んでいきます)
術前
目尻側も目を大きくしているため、斜めや真横から見ても、目が大きくなっています。

施術担当者からのコメント

■施術内容---------------------------------------------

・他院重糸抜糸
・タルミ取り併用全切開法二重
・ROOF切除
・目頭切開
・目尻切開
・タレ目
・軽度修正

■SNS--------------------------------------------------

instaの方ではより詳しく&沢山の症例写真を載せています!
是非チェックしてみて下さい♪
@sbc_honma.shigeyuki



×

当院におけるワクチン接種後の治療間隔(ガイドライン)

美容皮膚科、美容外科小手術

前後3日(手術日は含まず)、自覚する副反応がなければ可
安心麻酔を使用するものは接種後1週間は空ける

美容外科中、大手術

前後1週間
副反応が残っている場合は延期
接種部位と手術部位が同じ場合は2週間は空ける

×

お急ぎの方はお電話ください

0120-489-100

受付時間 / 10:00~23:00