症例写真(No.363886)

当院の症例写真は、画像処理により形や大きさをかえるような処理は一切おこなっておりません。

上原新翔(歯科) 医師

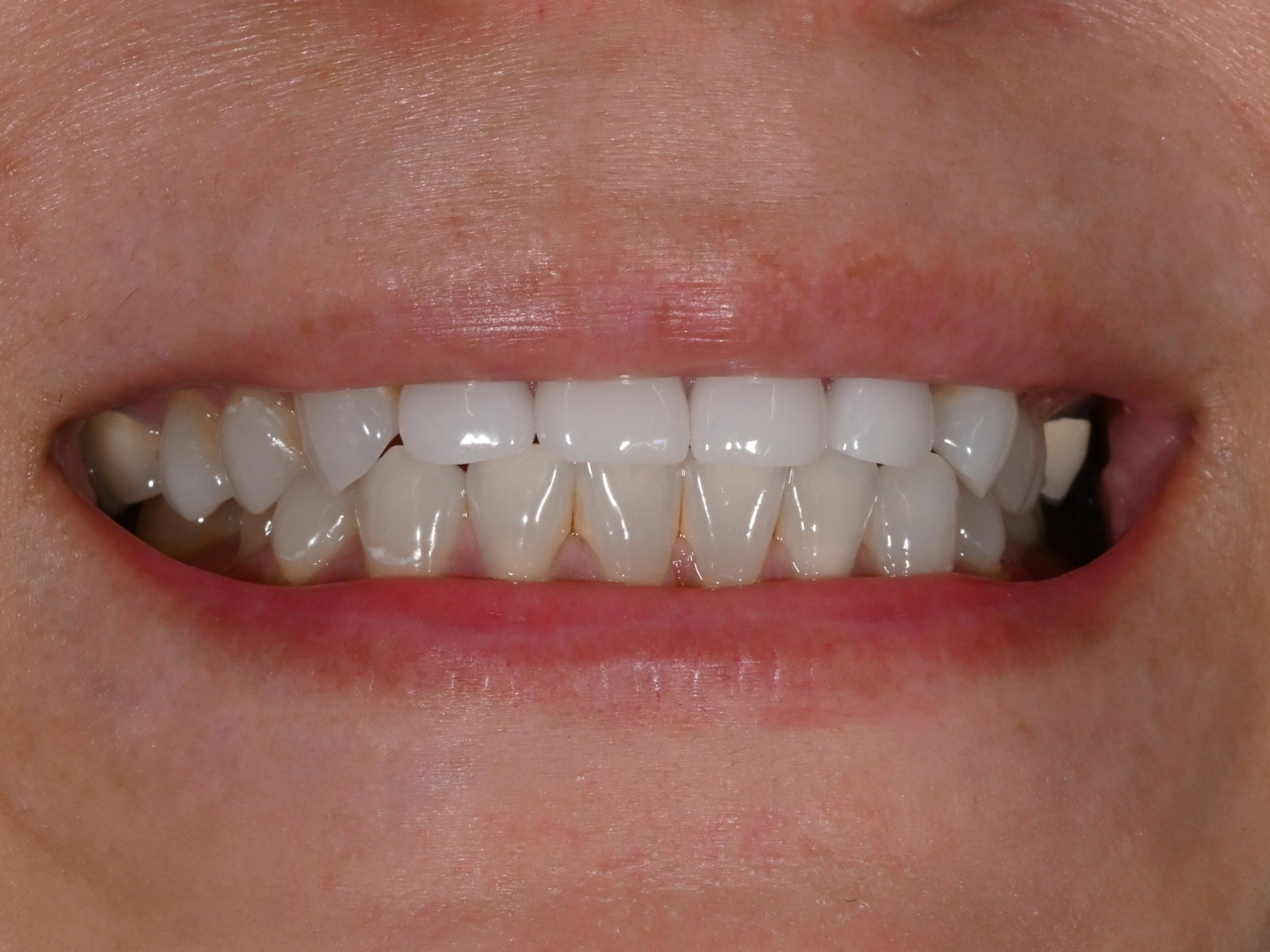
No.363886【美容歯科】繰り返す前歯の詰め物から【卒業】理想の白さと正しい噛み合わせ

施術前

何度も外れる詰め物と、長年欠けたままだった前歯がお悩み
→

施術後術直後

当日に仮歯が入ります。理想の形やかみ合わせをチェックします。
→

施術後2ヶ月後

理想の白さを再現。噛み合わせも整え、美しく丈夫な前歯へ

すべての画像を見る

施術した院

部位

施術

施術回数

数量

性別

施術担当者からのコメント

「他院で何度も詰め物を直しているけれど、すぐに外れてしまう……」と、長年前歯の状態に悩まれていた患者様です。約20年前に欠けてしまった部分もあり、ご自身でのホワイトニングも頑張っていらっしゃいましたが、詰め物(プラスチック)の部分だけが色浮きし、強度的にも限界を迎えていました。

「セラミックは難しい」と言われた経験もあったそうですが、当院では根本的な原因から改善する治療プランをご提案し、当日の処置をご希望されました。

今回の大きなポイントは、単に白くするだけでなく「外れにくい・壊れにくい」機能性を確保することです。
患者様は上下の前歯が先端で真っ直ぐぶつかる「切端咬合(せったんこうごう)」という噛み合わせだったため、上の歯に強い負担がかかっていました。そこで、下の歯の形を微調整(対合削合)することで、セラミックが突き上げられないためのスペースを確保しています。

お色味は、ホワイトニングを頑張っていらっしゃる患者様のご希望に合わせ、透明感のある明るい白さ(B1シェード)をセレクト。見た目の美しさと、長く安心してお使いいただける機能性を両立させました。



×

当院におけるワクチン接種後の治療間隔(ガイドライン)

美容皮膚科、美容外科小手術

前後3日(手術日は含まず)、自覚する副反応がなければ可
安心麻酔を使用するものは接種後1週間は空ける

美容外科中、大手術

前後1週間
副反応が残っている場合は延期
接種部位と手術部位が同じ場合は2週間は空ける