症例写真(No.364107)

当院の症例写真は、画像処理により形や大きさをかえるような処理は一切おこなっておりません。

金沢豪 医師

No.364107【二重・二重整形】【切開二重】切開治療を得意とする医師が強力な二重を作ります!全切開二重術 SBC内症例数 中四国エリアNo.1獲得! ※2024年下半期

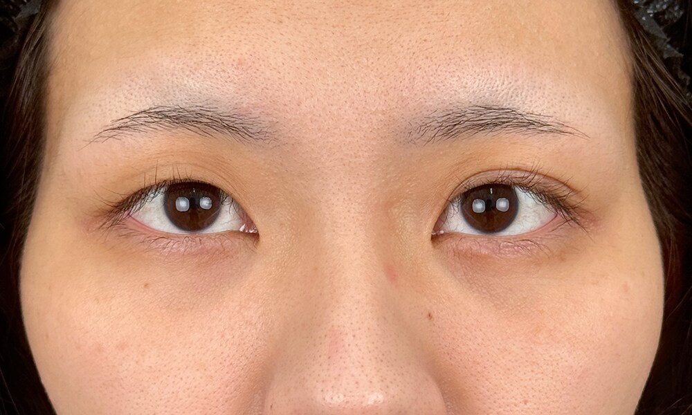
施術前

左右差がある状態
→

施術後3ヶ月後

左右差が改善され、白目の範囲が大きくなりました
すべての画像を見る

施術した院

部位

施術

施術回数

数量

性別

関連症例写真

術前
1週間後
3ヶ月後
術前 閉眼
1週間後 閉眼
3ヶ月後 閉眼

施術担当者からのコメント

まつ毛の生え際が見える綺麗な二重になりました。

ダウンタイムはやはり晴れますが、そこを乗り越えれば、
取れる心配のない強力な二重の完成です。

--------------------------------

20代 女性

[ 今回の施術内容 ]
▼たるみ取り併用全切開二重術
▼目頭切開プレミアム
▼タレ目術(下眼瞼下制)

モニター番号|No. 031-0596
モニターURL|https://www.s-b-c.net/k_campaign/campaign031-0596.html

--------------------------------

[ 実績 ]
全切開二重術 SBC内症例数
中四国エリアNo.1
※2024年下半期

眼瞼下垂 SBC内症例数
中四国エリアNo.1
※2025年上半期

--------------------------------

【切開二重】といっても、切開してどうするかは医師の技量によります。
一度切開したら修正するのはかなり難易度が上がるため、初回手術で失敗したくない方は、ぜひ一度私のカウンセリングにお越しください。
切開二重の他院修正や、眼瞼下垂という目の開きをよくする治療も行なっています。

どうしても腫れや内出血を伴うのでダウンタイムは埋没法より時間がかかりますが、3週間程で人と会っても問題ないレベルになってきます。
1週間程度は傷跡に赤みがありますが、数ヶ月から半年かけて目立たなくなります。

SBCを退職した医師や他院の切開二重後の修正も日々行なっております。
「二重に切開を加える以上は、その方を一生自分が経過をみていく覚悟で行うべき」と思っております。
もちろん修正が必要になれば自分で責任を持って行います。

今後私は異動の予定も退職の予定もありませんので安心してお任せください。



×

当院におけるワクチン接種後の治療間隔(ガイドライン)

美容皮膚科、美容外科小手術

前後3日(手術日は含まず)、自覚する副反応がなければ可
安心麻酔を使用するものは接種後1週間は空ける

美容外科中、大手術

前後1週間
副反応が残っている場合は延期
接種部位と手術部位が同じ場合は2週間は空ける

×

お急ぎの方はお電話ください

0120-489-100

受付時間 / 10:00~23:00