症例写真(No.364157)

当院の症例写真は、画像処理により形や大きさをかえるような処理は一切おこなっておりません。

多田彩子 医師

No.364157【二重・二重整形】■二重埋没法■Instagramの綺麗な症例写真で人気!!院長の実力!!安心の女医・多田彩子(一般外科出身)による埋没二重術!理想のお目元に仕上げます★

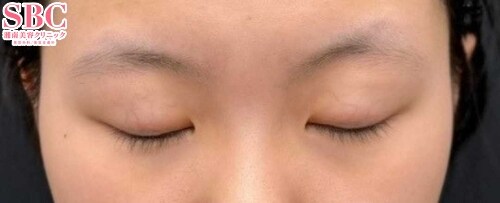
施術前

施術前の状態です。
→

施術後1ヶ月後

術後1ヶ月の状態です。
すべての画像を見る

施術した院

部位

施術

施術回数

数量

性別

関連症例写真

術前の状態です。
術後1ヶ月です。

施術担当者からのコメント

ーーーー症例内容ーーーー
【施術名】クイックコスメティークダブルNeo
腫れにくくて、取れにくい!特殊な糸の結び方で、まぶた表面に針を通す事がないため傷をつけず、糸玉のポコつき無く二重を作れる施術法です。

ーーー執刀医についてーーー
脂肪注入豊胸 東日本女医3年連続No.1(2022-2024年度)
バック豊胸 東日本女医No.1(2025年度上半期)
関東圏の女医で手術を受けたい方に圧倒的に選ばれています!
都心で、バッグ豊胸、乳頭縮小術、脂肪注入豊胸など、
多彩なオペが執刀可能、経験豊富な女医ということで指名をいただいています。

ーーー私が選ばれる理由ーーー
1. 切開系オペも多数執刀しているため、傷跡が綺麗
2. お顔や婦人科の施術を私で受けていただき満足したため、他部位でもリピートしていただいている
3. ご家族、同僚、ご友人など周囲の方からの口コミ
4. 外科出身、外科医歴が長く、女医でも安心

お電話で多田医師&モニター番号でご予約、
または、以下のweb予約・HPのプロフィールのリンクからでも可能です。
https://www.s-b-c.net/k_campaign/campaign018-1042.html
モニター番号:No.018-1042

無料カウンセリング予約電話:0120-489-100

ーーーー各種SNSは下記よりーーーー

【Instagrm】
メイン:@sbc_ayako.tada
豊胸症例:@sbc_tada

【Twitter】
アカウント:@sbc_tada

★モニター様募集中★
池袋西口院でご予約可能です。
皆様のご応募お待ちしております!!



×

当院におけるワクチン接種後の治療間隔(ガイドライン)

美容皮膚科、美容外科小手術

前後3日(手術日は含まず)、自覚する副反応がなければ可
安心麻酔を使用するものは接種後1週間は空ける

美容外科中、大手術

前後1週間
副反応が残っている場合は延期
接種部位と手術部位が同じ場合は2週間は空ける

×

お急ぎの方はお電話ください

0120-489-100

受付時間 / 10:00~23:00