症例写真(No.46417)

当院の症例写真は、画像処理により形や大きさをかえるような処理は一切おこなっておりません。

湘南美容クリニック 医師

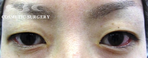
No.46417【二重・二重整形】【新宿院・千葉院】★二重・形成外科専門医 中森大記★による クイックコスメティーク法 術後1週間のお写真です♪

施術前

術前 一重を奥二重に近い人にばれない程度の二重にしたいというご希望で中森のもとを訪ねていただきました。
→

施術後

術後1週間 術直後もまったく腫れず、他の人にばれずに理想の目元を手に入れました。
すべての画像を見る

施術した院

部位

施術

施術回数

数量

性別

施術担当者からのコメント



×

当院におけるワクチン接種後の治療間隔(ガイドライン)

美容皮膚科、美容外科小手術

前後3日(手術日は含まず)、自覚する副反応がなければ可
安心麻酔を使用するものは接種後1週間は空ける

美容外科中、大手術

前後1週間
副反応が残っている場合は延期
接種部位と手術部位が同じ場合は2週間は空ける