症例写真(No.51398)

当院の症例写真は、画像処理により形や大きさをかえるような処理は一切おこなっておりません。

横谷仁彦 医師

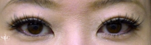
No.51398【二重・二重整形】他院修正 大阪心斎橋院院長/新宿本院 クイックコスメティーク法開発者 二重専門熱血Dr横谷による 魅せる瞳No275 症例数&クオリティー圧倒的No1 大阪心斎橋院/新宿本院限定 クイックコスメティーク法 術直後お化粧時

施術前

他院で幅を広げすぎ、一旦抜糸して来て頂きました。(元のクリニックの方が糸の通し方が分かるため小さい傷で済むはずです。)
→

施術後

術直後お化粧時、右目はラインを固定しただけですが、今日やったとは分かりませんね(^^
すべての画像を見る

施術した院

部位

施術

施術回数

数量

性別

施術担当者からのコメント



×

当院におけるワクチン接種後の治療間隔(ガイドライン)

美容皮膚科、美容外科小手術

前後3日(手術日は含まず)、自覚する副反応がなければ可
安心麻酔を使用するものは接種後1週間は空ける

美容外科中、大手術

前後1週間
副反応が残っている場合は延期
接種部位と手術部位が同じ場合は2週間は空ける

×

お急ぎの方はお電話ください

0120-489-100

受付時間 / 10:00~23:00