症例写真(No.69707)

当院の症例写真は、画像処理により形や大きさをかえるような処理は一切おこなっておりません。

加藤周 医師

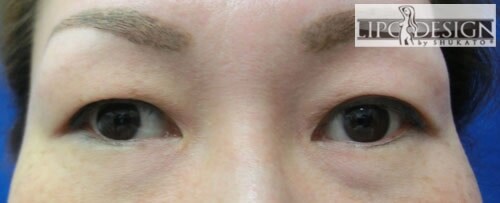
No.69707【二重・二重整形】3点留めで二重を作りつつ、たるみの解消を◎ ?処置直後 LIPO DESIGN by SHUKATO®

施術前

処置前・・・以前の二重も皮膚のたるみと共に奥二重になって来ています。余剰皮膚を切除すること無く、メイクのしやすい幅広の二重を作ることにします◎
→

施術後

処置直後・・・麻酔の分だけ皮膚が厚く見えますが、事前のデザイン通りの二重が得られます。このままもう少し腫れが引くのを待ちます◎
すべての画像を見る

施術した院

部位

施術

施術回数

数量

性別

施術担当者からのコメント



×

当院におけるワクチン接種後の治療間隔(ガイドライン)

美容皮膚科、美容外科小手術

前後3日(手術日は含まず)、自覚する副反応がなければ可
安心麻酔を使用するものは接種後1週間は空ける

美容外科中、大手術

前後1週間
副反応が残っている場合は延期
接種部位と手術部位が同じ場合は2週間は空ける

×

お急ぎの方はお電話ください

0120-489-100

受付時間 / 10:00~23:00