症例写真(No.92537)
当院の症例写真は、画像処理により形や大きさをかえるような処理は一切おこなっておりません。
長谷川裕之 医師
No.92537【二重・二重整形】★北日本人気No.1★ 札幌院院長&新宿院 二重専門 グッドデザインDr.長谷川プロデュース ☆理想の目元美人シリーズ☆ 定番人気 「腫れづらいばれづらい二重術」 心臓血管外科用の高級糸を使用 あなたも目力アップ&輝く瞳へ♪ 北海道を日本一の美男美女エリアに!
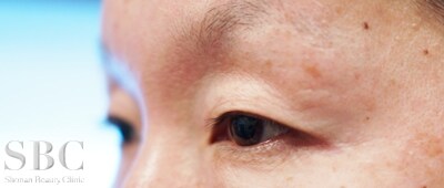
施術前
【術前】 「上まぶたの皮膚のたるみが強いので、自然な二重幅にして、皮膚を持ち上げて若返りたい。」と、大切な目元を託して下さった40代女性。 <font color="#ff9900"><b>流れるような美しいフォルムの二重になるよう</b></font>、<font color="#ff3399"><b>工夫した二重デザインにしました☆</b></font>
施術後
【術直後】 約15分後、特に腫れもなく、内出血も起こさず、パッチリと素敵な目元に♪ <font color="#ff3399"><b>得意のグッドデザイン</b></font>&<font color="#ff9900"><b>繊細なオペ技術</b></font>を駆使し、またおひとり、<font color="#ff3399"><b>目元美人が誕生</b></font>しました☆ 毎日のオペ症例のうち、お得なモニター制度を御利用されるお客様は意外と少ないですが、もちろん、このように通常価格と<font color="#ff9900"><b>同様のクオリティ</b></font>に仕上げていますのでご安心下さい♪
すべての画像を見る
施術した院
部位
施術
施術回数
数量
性別


施術担当者からのコメント