【目の下のたるみ・クマ取り】福岡・山口 (下関 ) でクマ取りするなら湘南美容クリニック小倉院
2026.5.3


湘南美容クリニック小倉院には、クマ取り施術の症例数が多く、あらゆるクマの種類にも対応できるトップクラスの名医が在籍しています。「症例数が多く上手な先生にお願いしたい」「クマ取りをしたいけど失敗はしたくない」「どこでクマ取りするのがいいかな?」「まずは話を聞いてみたい!」そんな方にうってつけの情報をお届けいたします。
クマ取り症例(小倉院岩間医師)
01
【20代女性】裏ハムラ
02
【40代女性】裏ハムラ+ナノリッチ
03
目の下の切らないクマ取り・たるみ(ふくらみ)取り&切開ハムラ症例
ダウンタイム
01
気になるダウンタイムの経過をご紹介
【治療法紹介】あなたにベストな治療法は??
01
【見極めがポイント】クマの種類は人によって様々??
クマの治療法は、大きく分けて2つあり、目の下の膨らみの原因となる脂肪をとる「脱脂」と、
脂肪は取らずに膨らんだ部分の脂肪をへこんでいる部分に移動させることフラットな状態にする「ハムラ法」があります。
また、目の下の凹み、小ジワ、色味を改善する「脂肪注入」を併用して行うことでより自然に綺麗な仕上がりになる場合もあります。
多くの方は膨らみと凹みが混在しているため、治療の組み合わせを行うケースが多いですが、
どちらか片方の治療のみを行うケースもあり、人によってさまざまです。
「私のクマの種類はどれ?」「どの施術を受ければいいのか分からない」とお悩みの方もご安心ください。小倉院の岩間医師がお客様一人一人の状態に合わせて適切な提案を行います。
02
裏ハムラ
膨らんでいる部分からくぼんでいる部分に眼窩脂肪を移動させることで、
膨らみと溝を同時に改善し、なだらかな状態にすることができるため、
眼窩脂肪を切り離すことなくクマを改善することができます。
また、下まぶたの裏側を切開するため、顔の表面に傷跡が残ることはありません。
03
目の下の切らないクマ・たるみ取り
たるみの原因「目袋3脂肪」(クマやたるみの原因となる眼窩脂肪の内側・中央・外側の3つの脂肪の塊)をまぶたの裏側から除去する治療です。
お客様一人ひとりに合わせて適切な量の脂肪を取り除きます。(除去量によって値段が変わる事もありません)また、裏側からのアプローチのため傷跡は残りません。
一方で、脂肪を取り除くことで、逆に凹みが返って強調されるケースもあるため、お客様のクマの状態によっては脂肪注入と併用することで自然で美しい仕上がりを期待できます。
04
ナチュラル脂肪注射コンデンスリッチ
また採取した脂肪は、遠心分離にかけ、コンデンス(濃縮)技術で不純物を除去、健全な濃縮脂肪細胞=コンデンスリッチファット(CRF) だけを注入するため、
高い定着率を実現し、吸引した脂肪を最大限に活かせる若返り法です。
ナノリッチと比べて脂肪の粒は大きく、ボリュームを出す目的で使用されます。
05
ナチュラル脂肪注射ナノリッチ
細かい脂肪を皮膚の浅い部分に入れることで、小ジワや色味、肌質の改善が期待できます。
コンデンスリッチは肌に膨らみを持たせる、ナノリッチは肌を若返らせる、と考えるとわかりやすいかもしれません。
【クマ取り名医】小倉院院長 岩間晋のご紹介
01
全国にわずか8名!400名以上の医師の中から選ばれたクマ取り名医
【プレミアムドクター】とは
経験値=技術力
SBC湘南美容クリニックは、医師が400名以上在籍(2026年1月時点)しており、経験豊富な医師が多数在籍しております。
そこで、経験豊富な医師を指名したい方のために医師を厳選しました。
症例数が多いほど経験が豊富であり、手術力に昇華されています。
どの医師で受けようか迷っている方は、量質転化された手術力を持つ医師をぜひお選びください。
岩間医師はこのプレミアムドクターに選出されており、二重医埋没法とクマ取りの両部門で選出されている医師は、岩間医師を含めて全国に8名しかいません。
02
クマ取り症例数NO.1を獲得
そのため、症例数も豊富で2025年下半期には裏ハムラ(クマ取り)症例数NO.1を獲得しました。(SBC内・九州沖縄エリア)
「クマ取りしたけど失敗が怖い」という方は症例数も多く、経験豊富な岩間医師にぜひご相談ください。
03
【クマ取り執刀件数2400件以上】 ※2017年4月~2026年1月時点
豊富な経験からお客様に沿った術式で美しい仕上がり
全術式対応可能なため、お客様のクマの状態を見極めて、最適な施術のご提案し、
10年後、20年後も自然な経過を実現いたします。
「施術は気になるけど、痛みやダウンタイムが不安…」という方は、
岩間医師が丁寧にカウンセリングを行いますので、ぜひ一度ご来院ください♪
約20%OFF安く受けられる裏技??
01
岩間医師のクマ取りモニター募集
術前・術中・術後の症例写真を湘南美容クリニックのSNSやチラシ等で使用させていただきます。
※割引率はモニターの種類により変動があります。
※モニターには審査がございます。
更に綺麗なりたい方は脂肪注入
01
注入可能部位
・額
・こめかみ
・目の上
・目の下
・ゴルゴ線
・ほうれい線
・ほほ
・口角
・唇
・アゴ先
ヒアルロン酸と比較しても注入可能な範囲は多く、また定着すれば半永久の効果が期待できます。
02
岩間医師は脂肪注入でもNo.1の実績
クマ取りと併用して脂肪注入を行うことでさらに美しく自然な若返りを実現することができます。
クマでお悩みの方、まずはカウンセリングを
「目元が疲れて見える」「老けた印象を改善したい」という方は、ぜひ岩間医師の無料カウンセリングをご利用ください。
初めての方でも安心して治療に臨めるよう、丁寧な説明とサポートを提供します。
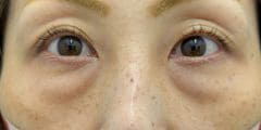
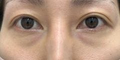
BEFORE AFTER施術前と施術後の変化
-
施術前

3 ヶ月後

-
施術前

3 ヶ月後

-
施術前

1 ヶ月後

-
施術前

1 ヶ月後

-
施術前

3 ヶ月後

-
施術前

3 ヶ月後

-
施術前

3 ヶ月後

-
施術前

3 ヶ月後

-
施術前

1 ヶ月後

-
施術前

3 ヶ月後

-
施術前

3 ヶ月後

-
施術前

3 ヶ月後

-
施術前

3 ヶ月後

-
施術前

3 ヶ月後

CLINICクリニック案内

モニター募集
駅チカ
| 所在地 | 〒802-0001 福岡県北九州市小倉北区浅野1-1-1 アミュプラザ小倉 東館4F |
|---|---|
| 診療時間 |
9:00~18:00 最終カウンセリングご予約は16:30までとなります。 ※1月1日のみ休診いたします。 |
| アクセス | 小倉駅直結!徒歩1分 |
湘南美容クリニック小倉院ではクマ取りや二重埋没法などの二重・目元整形をはじめ、医療脱毛(全身脱毛・VIO脱毛・ヒゲ脱毛)、クールスカルプティングによる医療ダイエット、シミ取り、医療ハイフ、薄毛治療、婦人科形成、美容皮膚科治療など幅広い施術を取り扱っています。患者さまのお悩みに合わせて最適な施術を提案できます。
鹿児島本線・日豊本線「小倉駅」より直結で徒歩1分♪まずはお気軽に、お電話もしくはメールにてお問い合わせください。
監修医師紹介
集中治療学会
麻酔科 標榜医 認定医







