【スタッフが10日間自撮り】裏ハムラのリアルダウンタイム


リアルすぎる経過写真を大公開!
SBC熊本院のスタッフが中溝院長の執刀で「裏ハムラ法」を受けました。 自宅で毎日撮影したリアルな自撮り写真とともに、術後10日間の腫れや内出血の経過を包み隠さず公開します。熊本でクマ取りを検討中の方は、ぜひ参考にしてください✨
裏ハムラとは?
COLUMN 01
スタッフが体験!裏ハムラ法
目の下のふくらみの原因である「眼窩脂肪(がんかしぼう)」を移動させて、整える治療です。凹んでいる部分に移動させることで、クマが解消され若々しい目元になります。
皆さん一番心配なのが、ダウンタイムですよね。
そこで今回は、実際にこの施術を受けた当院スタッフの経過を、加工なしの自撮り写真で徹底レポートします!👀📸
ぜひ最後までご覧ください♪
手術当日
COLUMN 01
手術が終わった直後
麻酔が効いているので痛みはありません。泣いた後のように目が少し浮腫んでいますが、サングラスやメガネをかけてそのまま電車で帰ることができました。
COLUMN 02
青っぽい内出血が出現し始めました。
手術のあとはスマホ・テレビはなるべく見ずに、ゆっくり目を休めてください。数日間はうつぶせ寝をせず枕を使用し、頭を高くして寝ることをおすすめします😴
次の日(術後1日目)
COLUMN 01
仕事だったので、メガネ+帽子+マスクをつけて出勤しました🚶♀️
・メイク:24時間後から可能◎
・コンタクト:1週間後から可能◎
COLUMN 02
痛みはなく、9時〜18時までいつも通り働くことができました💻
2日目
COLUMN 01
この日はダウンタイムの中でも腫れが一番強く出る時期です。スタッフも朝起きたら目ヤニで目が開きにくくて驚いたそうです😳
でもこれは、まぶたの裏側の傷を治そうとする体の正常な反応なので、安心して待っていただいて大丈夫です◎
お客様の場合は、術後1〜2日目までは有給を取る方が多いです💤
3日目
COLUMN 01
目の周りの内出血がだんだん黄色くなってきました。これは治ってきている証拠です!
4日目
COLUMN 01
腫れがだいぶ落ち着いてきました。黄色い内出血とあざはまだ残っていますが、コンシーラーやマスクで隠れる程度です。
7日目
COLUMN 01
1週間が経ちました✨目元を触ると少し硬い感じがしますが、見た目はかなり自然になってきました。
8日目
COLUMN 01
表面的な傷がない裏ハムラ法だからこそ、この時期にはもうメイクを楽しみながら完成を待つことができます☺️
9日目
COLUMN 01
すっぴんの状態です。
10日目
COLUMN 01
まだ黄色みはありますが、腫れ感はかなり改善しています。
まだ少しクマがあるように見えるのは、脂肪が定着する過程のむくみや内部の硬さによるもの。ここから1〜3ヶ月かけてさらに馴染み、もっとフラットな目元に仕上がっていきます💪✨
そして仕上がりは…⬇️
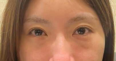
3ヶ月後
COLUMN 01
気になる完成形は!?
目の下のモヤっとしたクマが改善され、明るい印象になりました✨
さらに、術前はクマがあったせいで涙袋との境界線がぼやけていましたが、裏ハムラにより涙袋がくっきりと目立つようになりました。
こちらのスタッフのように、クマ取りにより涙袋がぷっくりとなる方もいらっしゃいます。
目の下のメリハリが生まれて、より若々しい目元になりましたね😊
COLUMN 02
執刀したのは中溝院長✨
症例数ランキングの上位に毎年ランクインしています✨
🥇裏ハムラ症例数 第1位 (九州沖縄エリア2024年下半期 SBC内)
🥇裏ハムラ症例数 第1位 (九州沖縄エリア2025年上半期 SBC内)
九州・山口でクマ取りをお考えの方は、ぜひ一度【クマ取り名医】中溝院長のカウンセリングにお越しください。
CLINICクリニック案内

女医在籍
モニター募集
駅チカ
| 所在地 | 〒860-0808 熊本市中央区手取本町 4-1 大劇会館6階 |
|---|---|
| 診療時間 |
AM9:00~PM6:00 ※全日営業(元日のみ休診) |
| アクセス | 市電電停・バス停 「通町筋」 徒歩約1分 |
熊本で美容整形するなら、湘南美容クリニック熊本院!
当院では、人気の二重整形(目元の整形)をはじめ、クマ取りや糸リフト等の若返り施術、鼻整形、医療ダイエット、医療脱毛(全身脱毛、VIO脱毛・メンズ脱毛)、医療ハイフ、シミ取り、ダーマペン、婦人科形成(女性器の整形)、美容皮膚科治療などを取り扱っております。
外科・皮膚科共に幅広い施術から、お客様のお悩みに合わせて最適なご提案を致します!
市電「通町筋駅」より徒歩1分です♪
まずはお気軽に無料カウンセリングにお越し下さい。
お電話もしくはメールにてお問い合わせ可能です。
監修医師紹介
・学会活動:第112回日本美容外科学会(JSAS) 発表
「重瞼術後の眉毛位置変化について~216 の眼瞼における変化率の解析から仕上がりを予測する~」
・学術サポーター







