【京都・滋賀・大阪】クマ取りなら京都駅直結の湘南美容クリニック京都駅ビル院!裏ハムラ法と脂肪注入で「老け見え」を根本改善


京都・滋賀・大阪でクマ取りをご検討の方必見!若返りの聖地・湘南美容クリニック京都駅ビル院で若返りの名医があなたの目元の好印象を叶える!
【滋賀・京都・大阪からアクセス抜群】クマ取り・目元の若返りをご検討の方必見!JR京都駅直結の好立地な京都駅ビル院で目元の好印象を叶えませんか?
クマの種類は4種類|セルフケアで治らないクマがある?
TOPIC 01
あなたの目の下のクマはどのタイプ?
青クマ: 目の下の薄い皮膚に、血行不良の血管が透けて見える状態 。
茶クマ: 摩擦や紫外線による色素沈着が原因の状態 。
赤クマ: 眼輪筋(目元の筋肉)が透けて赤く見える状態 。
黒クマ(影クマ): 目の下の「ふくらみ」と骨格による「窪み」による段差が影になった状態 。
青クマはマッサージや十分な睡眠での改善、オレンジ系のコンシーラーで一時的にカバーすることが可能です。茶クマはクレンジングなどの摩擦の影響、色素沈着や紫外線による日焼けが主な原因です。茶クマの改善には時間はかかりますが、美白成分配合のクリームで改善が可能です。
TOPIC 02
セルフケアで治らない【赤クマ・黒クマ(影クマ)】
クマの原因は混在している?クマ取り症例をチェック!
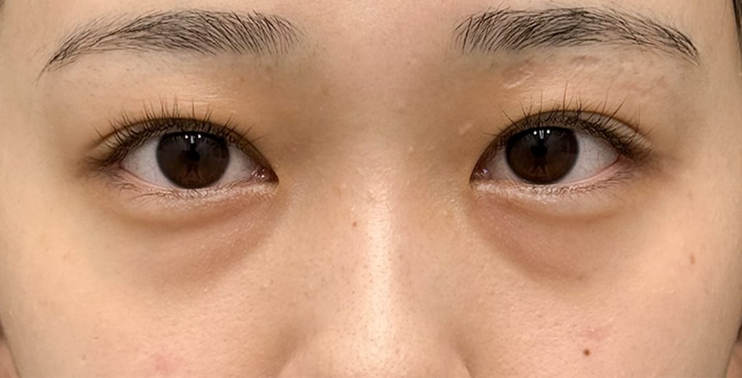
CASE 01
【黒クマ+赤クマ改善】52歳 / 裏ハムラ法
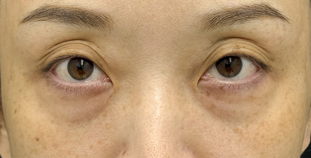
CASE 02
【黒クマ改善】44歳 / 裏ハムラ法+脂肪注入(ナノリッチ)+糸リフト
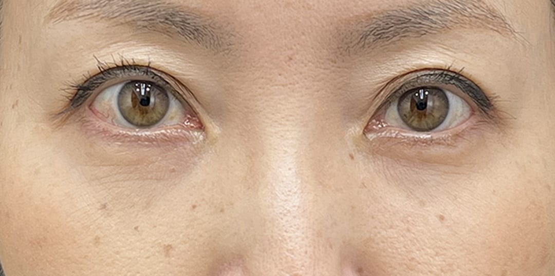
CASE 03
【黒クマ改善】54歳 / クマ取り+脂肪注入
(コンデンスリッチ・ナノリッチ)
・脱脂+脂肪注入が必要な方: ふくらみを取りつつ、ゴルゴラインの深い溝を埋める必要がある方 。
・裏ハムラ法が適している方:脂肪の再配置(膨らみ部分を凹みに移動させる)ことで凹凸を整えることが可能な脂肪量の方。
・裏ハムラ法+脂肪注入が必要な方: 再配置だけでは足りないボリュームを補い、より滑らかな質感を目指す方 。または、色味の改善や目の下の小ジワを改善したい方。
目の下のクマでお悩みの方は老若男女問わずいらっしゃいます。年齢や骨格、目元の状態はお客様それぞれ。湘南美容クリニック京都駅ビル院では、お客様に合わせた目の下のクマの改善方法をご提案いたします。
京都駅ビル院が誇る「クマ取り」3名のスペシャリスト
RECOMMEND 01
湘南美容クリニック京都駅ビル院には、京都・滋賀・大阪から指名が絶えない若返りのプロフェッショナル3名の医師が在籍。
目元整形の匠・SBC京都エリア統括ドクターである土田博之医師。眉下リフト症例数関西No.2 (2023年上期SBC内)や目頭切開症例数西日本No.2(2024年上期SBC内)など、若返り術・目元切開を得意としています。
ナチュラル脂肪注射症例数関西No.2 (2025年上期SBC内)のほかにジョールファット症例数関西No.3 (2025年上期SBC内)やバッカルファット症例数関西No.3 (2025年上期SBC内)など脂肪を扱うメニューで豊富な症例件数実績がある医師です。
全国のSBC医師486名の中から選出!【クマ取り+脂肪注入】SBCベストショットアワードで優秀賞を受賞。クマ取りや二重術のほか、ボトックス注射などの皮膚科施術でも多数ご指名を頂いています。
【京都駅ビル院】クマ取り Q&A
QUESTION 01
「脱脂(脂肪取り)」だけで綺麗になれますか?
ふくらみがなくなっても、その下の深い窪み(ゴルゴライン等)が逆に目立ってしまったり、数年後に目の下が窪んで小じわが強調されたりするリスクがあるためです 。
クマの原因は「十人十色」であり、ふくらみ・窪み・色味が複雑に混在しています 。当院では、脱脂だけで十分か、あるいは再配置や注入が必要かを精密に診断します。
QUESTION 02
クマ取りになぜ「脂肪注入」が必要なのですか?
脂肪注入には、窪みを埋めて表面を滑らかに整える重要な役割があります 。
窪み部分に自身の脂肪を補うことで、頬のトップから目の下にかけて若々しく滑らかなカーブを作り出すことが可能です 。また、良質な脂肪(ナノリッチ等)を注入することで、色味の改善や細かな小じわ・肌質の改善まで期待できます 。
QUESTION 03
クマ取りでよく聞く「裏ハムラ法」とはどんな術式ですか?
自身の組織を移動させるため定着が良く、より自然でフラットな仕上がりが期待できます 。下まぶたの裏側からアプローチするため、お顔の表面に傷跡が残らない点も大きなメリットです 。ですが、皮膚のたるみが非常に強い場合や、脂肪の量が少なすぎる場合は、裏ハムラ法単体では十分な効果が出ないことがあります 。その場合は、皮膚切除(アイバックリムーブ法)や、不足しているボリュームを補う脂肪注入の併用をご提案させていただきます 。
QUESTION 04
クマ取りのダウンタイムはどのくらいですか?
その後、3~4週間ほどかけて徐々に落ち着き、メイクでカバーできる程度の黄色い内出血へと変化していきます 。
京都・滋賀・大阪から好アクセス!京都駅ビル院が選ばれる理由
REASON 01
JR京都駅「西口」改札から徒歩3分
REASON 02
滋賀・大阪からも好アクセス!
クマでお悩みの方は、ぜひ一度「3名のスペシャリスト」が揃う当院の無料カウンセリングへお越しください。
BEFORE AFTER施術前と施術後の変化
-
施術前

1 ヶ月後

-
施術前

1 ヶ月後

-
施術前

1 ヶ月後

-
施術前

3 ヶ月後

-
施術前

3 ヶ月後

-
施術前

3 ヶ月後

CLINICクリニック案内

駅チカ
| 所在地 | 京都府京都市下京区烏丸通塩小路下る東塩小路町901 京都駅ビル9階 |
|---|---|
| 診療時間 |
AM9:00~PM6:00 ※元日のみ休診 |
| アクセス | JR、近鉄、地下鉄「京都駅」直結 |
【若返りのプロフェッショナルが在籍】
湘南美容クリニック京都駅ビル院では、眉下リフト・糸リフトなどのリフトアップ治療を始め、小顔治療、婦人科形成、二重整形、美容皮膚科治療、医療脱毛など…。大きな手術から手軽なレーザー治療まで幅広く取り扱っております。
JR、近鉄、地下鉄「京都駅」直結で、滋賀・大阪・奈良方面からもご来院しやすい好立地!
まずはお気軽に、お電話もしくはメールにてお問い合わせください。
監修医師紹介






