【京都の裏ハムラ】失敗しない名医の選び方|SBC京都院医師が解説


【京都】裏ハムラ法の名医は?失敗しないクマ取りの全てをSBC医師が解説
京都で裏ハムラ法の良いクリニックをお探しならSBC京都院へ。名医による失敗しないためのポイント、デメリットやダウンタイム、10年後の経過まで医師が徹底解説。
そもそも、まぶたの裏から行う「裏ハムラ法」とは?
WHAT 01
切らずにクマの原因を根本から解決する、高度な若返り治療
単に脂肪を取り除くだけでなく、足りない部分に再配置することで、目の下を平らで滑らかな状態に整え、根本的なクマの改善と若返りを同時に目指せます。
【クマ取り治療の比較】裏ハムラ・切開ハムラ・脱脂・アイバックリムーブ法の違い
COMPARISON 01
あなたに最適なクマ取り治療は?4つの術式の違いを比較
裏ハムラの失敗・デメリットと、名医による対策
POINT 01
「裏ハムラは失敗する?」よくあるお悩みと、その原因
POINT 02
SBC京都院の名医が実践する「失敗しない」ための3つのこだわり
1.【ミリ単位のデザイン】
お客様一人ひとりの骨格や脂肪のつき方を丁寧に見極め、移動させる脂肪の量をミリ単位でデザインします。
2.【確実な脂肪の固定】
再配置した脂肪がズレたり後戻りしたりしないよう、適切な位置に確実に固定する高度な技術で、長期的な効果を目指します。
3.【総合的な目元の若返り】
目の下のクマだけでなく、涙袋やゴルゴラインとの繋がりも考慮したトータルデザインで、自然で若々しい目元を形成します。
裏ハムラのダウンタイムと10年後の経過
DOWNTIME 01
ダウンタイムの経過目安について
腫れのピーク: 術後2〜3日
大きな腫れが引く: 1〜2週間程度
内出血: : 1〜2週間で黄色っぽくなり、徐々に消えていきます。(メイクでカバー可能)
完成: 3〜6ヶ月
また、裏ハムラだけでなく、脂肪注入も併用した場合はもう少しダウンタイムが長引くのが一般的です。
その中でも、かなり強くダウンタイムが出た場合の事例もご紹介します。
REASON 02
10年後も綺麗でいられる?持続性について
京都で裏ハムラの名医を選ぶなら、SBC京都院の大川院長
DOCTOR 01
SBCでも希少な「クマ取り4大術式対応」ドクター
①裏ハムラ法
②切開ハムラ法(表ハムラ)
③目の下の切らないクマ・たるみ取り(脱脂)
④アイバックリムーブ法
という、クマ取り治療の主要4術式すべてを高いレベルで執刀できる、SBC内でも数少ない医師の一人です。
だからこそ、一つの術式に固執することなく、お客様の目の下の状態を正確に診断し、真に最適な治療法だけをご提案することが可能です。
DOCTOR 02
圧倒的な症例数とSBCアワードMVPの実績
SBC京都院の裏ハムラ法の料金
MONITOR 01
明確な料金体系とモニター制度
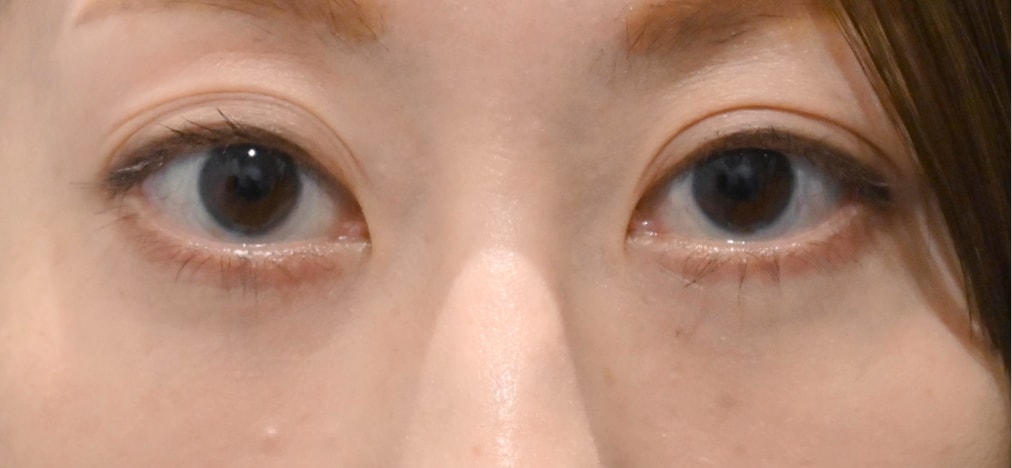
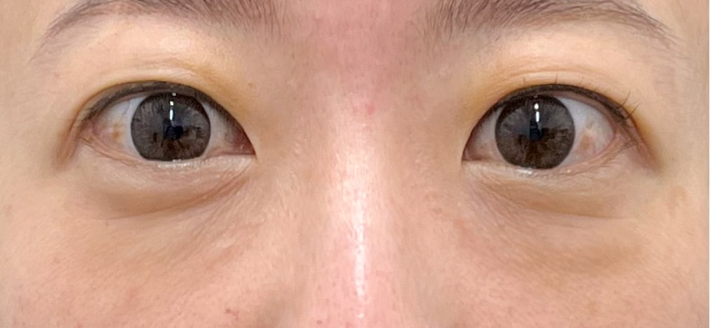
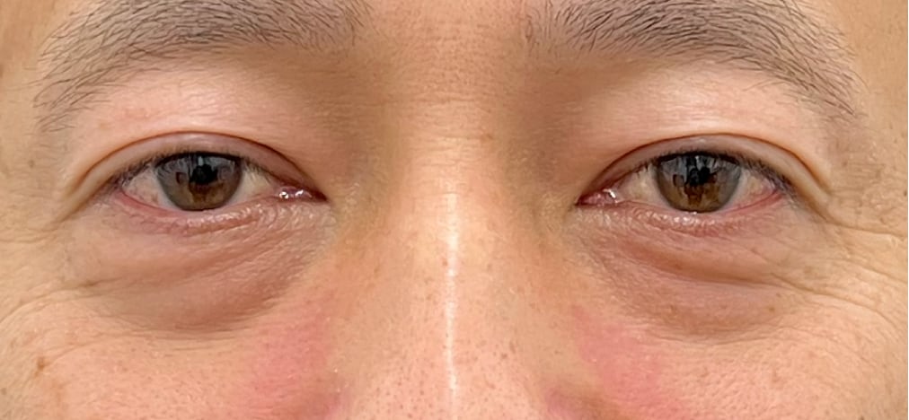
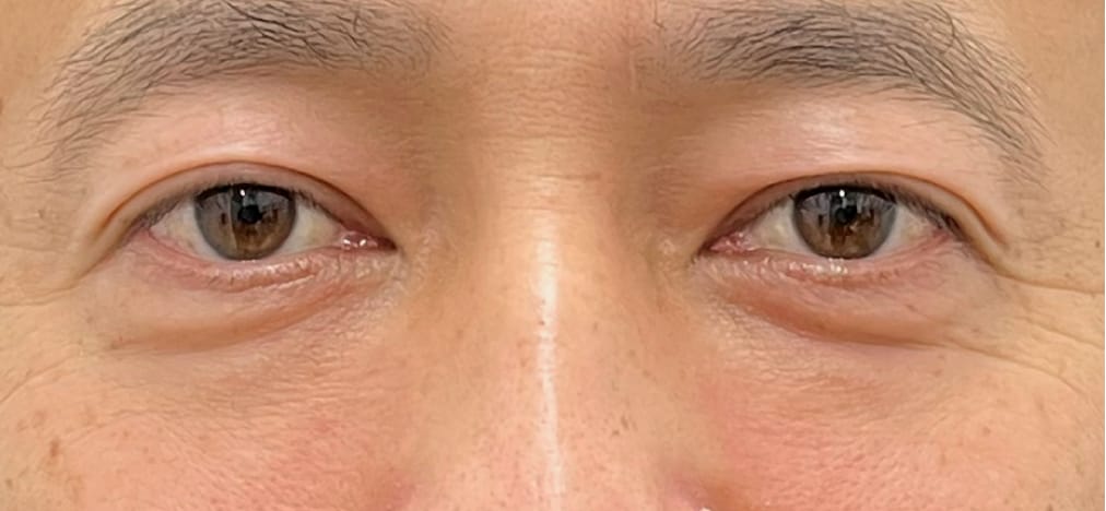
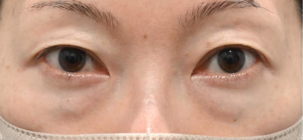
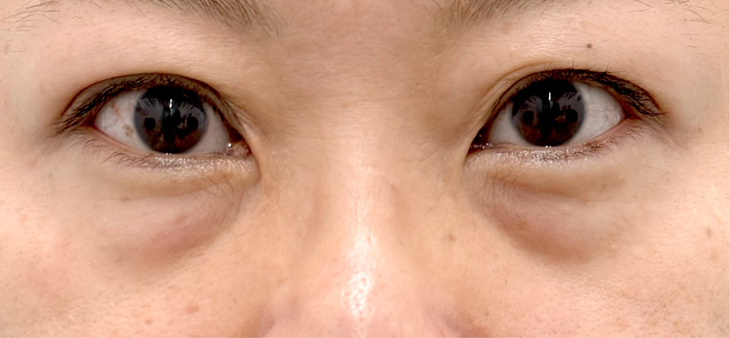
BEFORE AFTER施術前と施術後の変化
-
施術前

1 ヶ月後

-
施術前

3 ヶ月後

-
施術前

3 ヶ月後

-
施術前

3 ヶ月後

-
施術前

1 ヶ月後

-
施術前

3 ヶ月後

-
施術前

3 ヶ月後

-
施術前

1 ヶ月後

-
施術前

3 ヶ月後

-
施術前

1 ヶ月後

CLINICクリニック案内

モニター募集
駅チカ
| 所在地 | 京都府京都市下京区四条通柳馬場東入立売東町12-1 日土地京都四条通ビル5階 |
|---|---|
| 診療時間 |
10:00~19:00 最終カウンセリング予約17:30まで ※元旦のみ休診 |
| アクセス | ・地下鉄烏丸線《四条駅》徒歩8分 ・阪急京都線《河原町駅》徒歩8分 |
湘南美容クリニック京都院ではヒゲ脱毛やダーマペン、シミ取りなど、多くの施術を取り揃えています。
地下鉄烏丸線「四条駅」より 徒歩8分、阪急京都線「河原町駅」より徒歩8分です♪
まずはお気軽に、お電話もしくはメールにてお問い合わせください。
監修医師紹介
日本産婦人科学会 正会員
アメリカ心臓病学会 BLSプロバイダー
アメリカ心臓協会 PALSプロバイダーコース修了
アラガンボトックス認定医
アラガンヒアルロン酸認定医








