これで年末年始はバッチリ!2025年版ダウンタイム特集!
上手にダウンタイムと向き合う2025年Ver
2025.10.25


今年も残りわずかとなってきました!
最大のキャンペーン⭐️
外科手術2万円OFFチケット🎟️
12/25クリスマスまでなのでお早めに🫶
大型連休を使ってオペしたい方も多いはず!
これを見れば間違いない!
ダウンタイムを考慮したスケジュール特集♪
スケジュール管理って大事💡
schedule 01
年末年始のご予定は?
カウンセリングへ来る⭐︎
手術を受ける⭐︎
を分かりやすくまとめました✍️

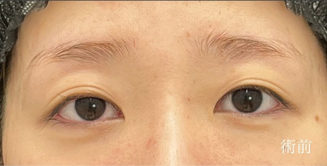
Photo gallery 02
切らないクマ取りの症例写真です!
クマ取りだけで、若々しい印象に♡
画像の◁▷ボタンをスライドさせてbefore・afterを確認できます!


クマ取りと一緒に出来る、おでこへの脂肪注入も人気です!
太ももから採ってきた脂肪を、目の下やゴルゴ線に入れるだけでなく、おでおに入れてキレイなEラインを実現します!


※モニターには割引チケットは使えません。12/25以降に手術を受ける方にはモニターをオススメします!
寒い時期こそ脂肪吸引!
liposuction 01
脂肪吸引は術後に圧迫をしなければなりません。
暑い時期だと圧迫が少し辛い…
という事で寒い時期に人気です!
年末年始の長い休みを使って、ゆっくり過ごしましょう⭐️


薄着の時期にはなかなかできなかった豊胸!
breast 01
大人気の脂肪注入豊胸&欧米では定番のバック豊胸
どちらも那覇院でできます!
那覇院のお客様は、授乳後のバストのお悩みを抱えた方が多いです。
『ハイブリッド豊胸』
脂肪注入豊胸×シリコンバックで、バック感のない自然に大きなバストへ


『コンデンスリッチ脂肪注入豊胸』
太ももから採ってきた脂肪をお胸に入れて自然にバストアップ!


『シリコンバック豊胸』
ご希望の大きさのシリコンバックを入れる事ができるので、劇的にバストアップ!


学生さんは冬休みがチャンス!
Futae 01
二重は比較的ダウンタイムは短め☆
手術前に画像の◁▷ボタンをスライドさせて二重をシミュレーションできちゃいます!
あなたの好きなデザインは?






CLINICクリニック案内

女医在籍
モニター募集
| 所在地 | 沖縄県那覇市久茂地1丁目3番1号 久茂地セントラルビル 2階 |
|---|---|
| 診療時間 |
9:00~18:00 最終カウンセリング予約16:30まで ※毎日営業 |
| アクセス | ゆいレール「県庁前駅」徒歩5分 |
湘南美容クリニック那覇院では脂肪吸引をはじめ、二重、脂肪注入豊胸、切らないくま・たるみ取り、糸リフト、ダーマペンなどの最新の施術が沖縄で受けられます。
ゆいレール「県庁前駅」から徒歩5分と好立地です♪
まずはお気軽に、お電話もしくはメールにてお問い合わせください。
監修医師紹介


















