クリニック案内 奈良県のクリニック 湘南美容クリニック 奈良院 特集記事 【院長】岩本医師 関西でクマ取りするなら【SBCドクターが選ぶ BEST SHOT AWARD シミ・しわ・たるみ部門 4度受賞*】奈良院 院長 岩本医師にご相談ください!! *2023年9月・2023年12月・2024年7月・2025年10月-奈良

メニュー

SPECIAL特集記事

関西でクマ取りするなら【SBCドクターが選ぶ BEST SHOT AWARD シミ・しわ・たるみ部門 4度受賞*】奈良院 院長 岩本医師にご相談ください!! *2023年9月・2023年12月・2024年7月・2025年10月-奈良

目の下のクマ取りお任せください!「あらゆる目の下のお悩みに合わせた最適なクマ治療をご提案」こだわりのクマ取り術を徹底紹介します。

カウンセリングが丁寧と評判の理雨医師カウンセリングが丁寧と評判の理雨医師

奈良でクマ取りするなら、SBC医師からも選ばれる“実績”
“クマ取り症例多数”の岩本医師にお任せください!!

湘南美容クリニック奈良院 院長 岩本理雨医師は、
SBCドクターが選ぶ BEST SHOT AWARD シミ・しわ・たるみ部門に『4度受賞*』
( *2023年9月・2023年12月・2024年7月・2025年10月)

脱脂法はもちろんハムラ法・切開法など、お目元のクマ状態に合わせて「最適な施術」を提案します。
ハムラ法は、《CPF再配置》を実施し、クマの再発を防ぎます。
そんな岩本医師の“クマ取り症例・こだわり”を紹介してます。
ぜひ参考にしてください!
(※下に岩本医師のクマ取り治療専用 Instagram掲載してます)

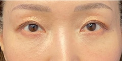
目元の印象でこんなに変わる!奈良院院長理雨医師によるクマ取りピックアップ症例

PHOTO 01

余分な【眼窩脂肪】を移動、くぼみも一緒に改善

余分な【眼窩脂肪】を移動、くぼみも一緒に改善
目の下の膨らみ・へこみがあり。
脂肪は注入せず、クマの原因となる【眼窩脂肪を移動】させることで若々しい目元へ導きます。

PHOTO 02

余分な【眼窩脂肪】を移動、皮膚のたるみも改善

余分な【眼窩脂肪】を移動、皮膚のたるみも改善
目の下のふくらみ・へこみ・たるみが気になるとお悩み。
皮膚のたるみも合わせて治療をご希望いただきました。

PHOTO 03

余分な【眼窩脂肪】を除去、皮膚のたるみも改善

余分な【眼窩脂肪】を除去、皮膚のたるみも改善
目の下のクマ・たるみが気になるとお悩み。
術後、シワが目立つ可能性があるため皮膚のたるみも合わせて治療をご希望されました。

PHOTO 04

余分な【眼窩脂肪】を除去、膨らみ改善

余分な【眼窩脂肪】を除去、膨らみ改善
目元のクマが気になると悩まれていました。
ゴルゴラインのへこみがあり、
脱脂のみでは「影くま」が改善しきれないため、
【脂肪注入併用】でゴルゴラインのへこみを埋めています。

QUESTION 05

そもそも【眼窩脂肪】とは?

そもそも【眼窩脂肪】とは?
目の下がポコッと膨らむ原因は”眼窩脂肪”という目の周りにある脂肪が押し出されたためです。
目の周りには『眼輪筋』という目を閉じる時に使う筋肉があります。

この筋肉も加齢で衰えると、眼球の周りにある”眼窩脂肪”が加齢により下がってきた時に支えきれず目の下に膨らみができることがあります。
脂肪の量や筋肉の発達具合により「クマの出来やすさ」には個人差がありますが、
若い方では20代くらいから気にされる方もいらっしゃいます。

クマ取り治療で岩本医師が選ばれる3つの理由

Point 01

Point 02

SBC BEST SHOT AWARD 優秀賞 3度受賞

SBC BEST SHOT AWARD 優秀賞 3度受賞

Point 03

前に突出する脂肪を筋膜で固定し再発を防止【CPF再配置】

前に突出する脂肪を筋膜で固定し再発を防止【CPF再配置】
クマ取り治療をした後も、今後絶対に【眼窩脂肪】が出ないというわけではありません。
【眼窩脂肪】が前に突出しクマが再発するのを防ぐために、
ハムラ法の施術でCPF再配置を実施しています。

よくあるご質問

01

QUESTION 02

目の下のポコっとした部分を取り除きたかっただけなのに、他の施術をいっしょに勧められた!これって必要?

クマには「膨らみ」と「凹み」が混在していることがあります。
眼窩脂肪を取り除いただけでは「凹み」が残り、クマの改善に繋がらない可能性があります。
凹凸のないハリのある若々しい目元を目指すために、いっしょに「脂肪注入」をおすすめさせていただくことがございます。

QUESTION 03

『ヒアルロン酸注入』か『クマ取り手術』どっちがいいの?

『ヒアルロン酸』は注入するだけなので、ダウンタイムが出にくく気軽に受けていただけることが特徴です。
ただし、目元に膨らみが生じている場合などはその脂肪を除去しないと解決しないこともあり、ヒアルロン酸のみでお悩みが解決するかは目元の状態によります。
また、ヒアルロン酸はいずれ吸収され無くなる物質なので根本的原因の改善にはなりません。
ヒアルロン酸を入れ続けると皮膚が伸びて目の下がたるんでしまうこともあります。

一方「クマ取り手術」は目の下の脂肪を外科的に除去する施術ですので持続期間は半永久的です。
施術後しばらくはダウンタイムがあり、通常1ヶ月程度は目の下に腫れや内出血が出ることがあります。

QUESTION 04

マッサージやアイクリームはクマの改善につながる?

マッサージや化粧品は血行を良くすることや保湿、小ジワケア、美白のケアなどに効果的です。
クマの種類にもよりますが、加齢が原因の「影クマ」は脂肪を動かす必要があるため改善は難しい可能性が高いです。
\最後まで読んでいただきありがとうございます/

BEFORE AFTER施術前と施術後の変化

  • 施術前

    3 ヶ月後

  • 施術前

    3 ヶ月後

  • 施術前

    3 ヶ月後

  • 施術前

    3 ヶ月後

  • 施術前

    3 ヶ月後

  • 施術前

    3 施術後

特集一覧に戻る

CLINICクリニック案内

CLINIC クリニック案内

  • モニター募集
  • 駅チカ
所在地 奈良県奈良市西大寺東町2-4-1 ならファミリー1階
診療時間 AM10:00~PM7:00 最終カウンセリング予約PM5:30まで
※休診日/なし(※1/1は休診、その他特別休診の場合があります)
アクセス 近鉄奈良線 大和西大寺駅 徒歩3分

湘南美容クリニック奈良院では、二重整形をはじめ、クマ取り、ダーマペン、シミ取り、医療脱毛、痩身、ワキガ・多汗症治療、美容皮膚科治療など幅広い施術に対応しています。
近鉄奈良線「大和西大寺駅」より徒歩3分と好立地です♪
まずはお気軽に、お電話もしくはメールにてお問合せください。

監修医師紹介

岩本 理雨 医師
奈良院院長
岩本 理雨 医師
保有資格
アメリカ心臓病学会 BLSプロバイダー
経歴
2017年 大阪市立大学医学部医学科 卒業
福井県市立敦賀病院 勤務
2019年 湘南美容クリニック入職
2022年 湘南美容クリニック 奈良院院長就任

SBCメディカルグループ クリニック一覧

北海道

東北地区

東京

関東

関東おすすめドクター

中部地区

関西地区

関西おすすめドクター

中国・四国地区

九州・沖縄地区

オンラインクリニック クリニック一覧

リッツ美容外科 クリニック一覧

ゴリラクリニック クリニック一覧

リゼクリニック クリニック一覧

海外 クリニック一覧

ベトナム

シンガポール

  • Chelsea Clinic
  • Chelsea Clinic Extension
  • Chelsea Asthetics
  • Gangnam Laser Clinic
  • SkinGo! Hougang Mall
  • SkinGo! Jewel Changi Airport
  • SkinGo! Junction 8
  • SkinGo! Jurong Point 2
  • SkinGo! NEX
  • SkinGo! North Point City
  • SkinGo! Pasir Ris Mall
  • SkinGo! Tampines 1
  • SkinGo! Tiong Bahru
  • SkinGo! Plaza Singapura
  • SkinGo! City Square Mall
  • SkinGo! Marina Square
  • SkinGo! Eastpoint
  • SkinGo! Stars of Kovan
  • SkinGo! United Square
  • Rochor Centre Clinic

様々な科目の専門医・学会会員が
在籍しています

湘南美容クリニックは日本美容外科学会(JSAPS)専門医、日本美容外科学会正会員、日本形成外科学会専門医 、先進医療医師会 参与、日本再生医療学会 理事長補佐、国際美容外科学会(International Society of Aesthetic Plastic Surgery)Active Member、医学博士、厚生労働省認定臨床研修指導医、日本整形外科学会・専門医、日本麻酔科学会認定医、厚生労働省麻酔科標榜医、日本外科学会専門医・正会員、日本胸部外科学会正会員、日本頭蓋顎顔面外科学会会員、日本静脈学会会員医学博士、日本医師会認定産業医、日本抗加齢医学会会員、日本マイクロサージャリー学会会員、GID(性同一性障害)学会会員、日本脂肪吸引学会会員、美容皮膚科学会正会員、日本レーザー治療学会会員などの資格を保有した医師が在籍しております。

当ページは医療広告ガイドラインを遵守し、医師監修のもと掲載しています

SBCメディカルグループでは、2018年6月1日に施行された医療広告ガイドラインを受け、ホームページ上からの体験談の削除を実施しました。また、症例写真を掲載する際には施術の説明、施術のリスク、施術の価格も表示させるようホームページを全面的に修正しております。当ホームページをご覧の患者様、お客様にはご迷惑、ご不便をおかけ致しますが、ご理解のほどよろしくお願い申し上げます。

×

当院におけるワクチン接種後の治療間隔(ガイドライン)

美容皮膚科、美容外科小手術

前後3日(手術日は含まず)、自覚する副反応がなければ可
安心麻酔を使用するものは接種後1週間は空ける

美容外科中、大手術

前後1週間
副反応が残っている場合は延期
接種部位と手術部位が同じ場合は2週間は空ける

×

お急ぎの方はお電話ください

0120-489-100

受付時間 / 10:00~23:00