群馬でクマ取りなら【関東クマ取り名医】 深田医師にお任せください。湘南美容クリニック高崎院


群馬の高崎で「クマ取り」といえば深田医師!
今や整形の定番メニューとして知名度も人気も高いクマ取り手術。群馬県にある湘南美容クリニック高崎院院長の深田医師は、JSAS認定美容外科専門医です。美容整形の本場 銀座院で積んだ経験を活かし、高崎でも多くの方のクマ取りを担当しております。とにかく完成度が高いと評判の深田医師のクマ取りのこだわりをご紹介します!
高崎院 深田医師は症例写真で選ばれています
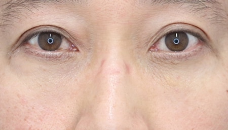
PHOTO 01
クマ取り年代別症例写真
MENU 02
スタンダードメニュー【目の下の切らないクマ取り(脱脂)+コンデンスリッチフェイス】
MENU 03
脱脂のみ※軽度な方【目の下の切らないクマ取り(脱脂)】
MENU 04
深田先生一推しメニュー【目の下の切らないクマ取り(脱脂)+コンデンスリッチフェイス+リジェネラ】
MENU 05
細かいシワ+色味改善も叶うメニュー【目の下の切らないクマ取り(脱脂)+コンデンスリッチフェイス+ナノリッチ】
高崎院 深田医師が選ばれる理由
REASON 01
JSAS認定美容外科専門医の技術力
REASON 02
「クマがない」を超えた美しい目元に
注入する位置を工夫すると、ハリが出て中顔面短縮効果になり、若々しくみえます。
高崎院 深田医師が考えるクマ取りメリット
POINT 01
クマが改善するだけじゃない!
高崎院 深田医師によるクマ取り解説
POINT 01
クマには種類があります!診察でしっかり見極めます!
寝不足・血行不良などが原因でできる青いクマ。
生活習慣の見直し、血行不良を改善させることで改善します。また、ナノリッチなどの脂肪注入で改善する場合があります。
★茶クマ
シミなどの色素沈着と似た色合いで、摩擦などが原因で起こるクマです。目の下を引っ張っても色味に変化が見られない場合は茶クマの可能性があります。
手術などで改善が難しいため、色素沈着改善のクリームなどを塗ると改善が見込めます。
★赤クマ
眼輪筋の透けが原因で起こる赤クマ。眼輪筋という筋肉の衰えが原因で眼窩脂肪が押し出され、赤っぽく見えます。
セルフケアで赤クマを解消することは困難で、眼窩脂肪が原因の場合は、クマ取り術などで改善する場合があります。
★黒クマ
目の下に黒っぽい影が広がっている状態で、加齢などによる目の下の皮膚のたるみ、眼窩脂肪の垂れ下がりなどが黒クマの主な原因です。
セルフケアで改善が難しく、クマ取り術で改善する場合があります。
POINT 02
さまざまなお悩みも解決
加齢や生まれつき、眼窩脂肪が押し出されてしまった状態が原因で起こるお悩みです。
眼窩脂肪を除去や移動、脂肪注入などで改善が期待できます。
■しわ・小じわ
加齢や乾燥などが原因で起こります。
ナノリッチなどの脂肪注入で改善する場合があります。
■凹み・ゴルゴ線
加齢により目の周りが凹んでしまったり、ゴルゴ線が目立ってきてしまいます。
凹んでいる部分にコンデンスリッチなどの脂肪注入をすることでなめらかにすることができます。
よくある質問
QUESTION 01
手術の時間はどれくらいですか?
QUESTION 02
ダウンタイムはどれくらいですか?
BEFORE AFTER施術前と施術後の変化
-
施術前

施術後

-
施術前

施術後

-
施術前

施術後

-
施術前

施術後

-
施術前

施術後

-
施術前

施術後

-
施術前

施術後

-
施術前

施術後

-
施術前

施術後

-
施術前

施術後

CLINICクリニック案内

モニター募集
駅チカ
| 所在地 | 群馬県高崎市八島町70 ラ・メルセ2F |
|---|---|
| 診療時間 |
AM10:00~PM7:00 ※休診日:元旦のみ |
| アクセス | 高崎駅 徒歩2分 |
湘南美容クリニック高崎院ではクマ取りをはじめとした若返り全般、豊胸術、二重整形、シミ取り・医療ハイフなどの美容皮膚科治療、医療脱毛(ヒゲ脱毛・VIO脱毛含む)など幅広い施術を取り扱っております。
JR「高崎駅」より徒歩2分です♪
まずはお気軽に、お電話もしくはメールにてお問い合わせください。
監修医師紹介
会津中央病院 臨床研修(外科、消化器科、循環器科、整形外科、麻酔科)
鶴岡市立荘内病院
湘南美容クリニック 入職







