クリニック案内 大阪府のクリニック 湘南美容クリニック 高槻院 特集記事 二重・目元整形 高槻で二重整形・埋没法ならSBC湘南美容クリニック高槻院|大阪・北摂エリアで指名多数の足立医師

メニュー

SPECIAL特集記事

高槻で二重整形・埋没法ならSBC湘南美容クリニック高槻院|大阪・北摂エリアで指名多数の足立医師

JR高槻駅直結!大阪・北摂エリアでおすすめの二重整形(埋没法)ならSBC高槻院へ。全国女医No.1の足立医師(しおん先生)が理想の目元を叶えます。安いモニター制度や一生涯保証もあり安心です。

全国女医No.1の二重術を、高槻院で全国女医No.1の二重術を、高槻院で

大阪・高槻・北摂で二重整形・クマ取りならSBC高槻院!全国女医No.1※の足立医師(しおん先生)

大阪北摂エリア(高槻・茨木・吹田・摂津)でおすすめの切らない二重整形(埋没法)ならSBC湘南美容クリニック高槻院。クイックコスメティーク・ダブルNeo全国女医No.1※の足立医師(しおん先生)による、選抜医師のみが執刀可能な「トリプルNeo」は一生涯保証付きです。痛みに配慮した施術や安いモニター制度もご用意。和歌山など遠方からも指名が絶えない高槻院で、クマ取りや眉下リフトまで理想の目元を叶えませんか?まずは無料カウンセリングをご利用ください。
※クイックコスメティーク・ダブルNeo 2025年上・下半期 SBC内執刀件数(在籍医師約500名中)和歌山院在籍時含む

\ 24時間いつでもWeb予約 /
モニターも随時募集中!

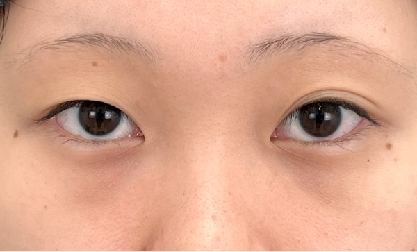
大阪・高槻院 足立医師の二重整形(埋没法)症例写真

CASE 01

クイックコスメティーク・ダブルNEO

クイックコスメティーク・ダブルNEO
術前と術後1週間後の症例です。
クイックコスメティーク法は、
まぶたの表面に傷がつかないため、
直後からメイクが可能!

ダウンタイムが取れない方にも
選ばれている人気の術式です🌟

しおん先生はデザイン案を
数パターン提示してくれるので、
「自分に似合う幅」が
見つかると大好評です💌

CASE 02

【セット術】
二重整形×涙袋ヒアルロン酸注入

【セット術】<br />
二重整形×涙袋ヒアルロン酸注入
二重術と合わせてオーダーが多いのが
「涙袋ヒアルロン酸注入」です。

二重で縦幅を広げ、
涙袋で下方向にボリュームを出すことで、
相乗効果で目が一回り大きく見えます✨

しおん先生は「やりすぎ感」のない、
笑った時に自然にぷっくりする
絶妙なデザインが得意。

「中顔面を短く見せたい」
「もっと可愛らしい印象になりたい」
そんな願いも同時に叶えられます🪄

CASE 03

【セット術】
二重整形×目頭切開プレミアム

【セット術】<br />
二重整形×目頭切開プレミアム
「平行二重になりたい」
「もっと目を内側に大きく広げたい」
そんな方におすすめなのが目頭切開の併用です。

しおん先生は、蒙古襞(もうこひだ)の
張りを丁寧に見極め、
数ミリ単位で理想のラインを形成します。

埋没法だけでは難しい華やかなデザインも、
目頭切開を組み合わせることで
驚くほど自然でパッチリとした
垢抜けアイが叶います✨

傷跡も目立ちにくいしおん先生の技術で、
あなた史上最高の目元を手に入れませんか?

大阪・北摂エリアで選ばれるSBC高槻院の「切らない二重術(埋没法)」

PIckUP 01

値段や持ちはどう違う?高槻院でおすすめの埋没法を徹底比較

高槻院のしおん先生による二重術で、とくに人気を集めているのが「クイックコスメティーク・シリーズ」です。

大阪や北摂エリアで二重整形をご検討中の方に向けて、「クイックコスメティーク法」と「その他の通常の埋没法」とで、値段やダウンタイム、持続性がどう違うのかを分かりやすく比較表にまとめました。
特徴クイックコスメティーク・シリーズ通常の埋没法
料金目安両目98,000~264,000
(税込 / 麻酔代含む)
両目39,000両目148,000
(税込 / 麻酔代含む)
腫れづらさ★★★★★★★〜★★★
持続性★★★〜★★★★★★★〜★★★★
ばれにくさ★★★★★★★〜★★★
デザイン性★★★〜★★★★★★★〜★★★★
ダウンタイム
(主に腫れ)
ほぼなし〜非常に短い
(個人差あり)
5日程度〜1週間ほど
(個人差あり)
傷跡表に傷なし表に針穴あり
保証期間
(外れた時同一幅)
一生涯保証3年〜10年
メイク可能当日から○48時間後から

※金額は2026年3月7日時点の金額、保証内容を掲載しています。最新の金額はメニューごとのページにてご確認ください。

「どの術式が自分に合っているかわからない」という大阪北摂エリアの皆様、まずはしおん先生の無料カウンセリングでまぶたの状態をチェックしてみませんか?

▶︎ SBC湘南美容クリニックの二重術・埋没法をさらに詳しく比較する

大阪・高槻でしおん先生の二重整形・埋没法が選ばれる理由

REASON 01

【クイックコスメティーク・ダブルNeo】全国女医 症例数No.1※

【クイックコスメティーク・ダブルNeo】全国女医 症例数No.1※
しおん先生(足立医師)は、
和歌山院の院長を務めていた実績があり、
現在も和歌山県など遠方から
「先生に執刀してほしい」と
指名で来院される方が絶えません。

○クイックコスメティーク・ダブルNeo
全国女医 症例数No.1🥇
2025年上・下半期 SBC内(在籍医師約500名中)
/和歌山院在籍時


○眉下リフト
西日本女医 症例数No.2🥈
2025年上半期 SBC内在籍医師約500名中
/和歌山院在籍時


○フォーエバー二重術(旧:線留めクロス二重術)
全国女医 症例数No.1🥇
2024年上半期 SBC内在籍医師約500名中/
和歌山院在籍時


シニア二重選抜ドクターとしても
活躍しており、10代からシニア層まで
幅広い年代の目元を執刀しています👏

REASON 02

しおん先生の二重整形・3つのこだわり

しおん先生の二重整形・3つのこだわり
お客様からの満足度が非常に高い、しおん先生の「3つのこだわり」をご紹介します✨

Point 1:骨格に合わせた「ミリ単位」のデザイン
豊富な経験から、まぶたの厚みや顔全体のバランスを拝見し、その方に最も似合う二重ラインを提案。手術中に何度もバランスを確認するひと手間が、圧倒的な美しさを生み出します。

Point 2:腫れやダウンタイムを抑える「職人技」
丁寧かつスピーディーな手技により、まぶたへの負担を最小限に抑えます。お休みが取りづらく、ダウンタイムが心配な方にも配慮した施術です。

Point 3:不安を解消する「寄り添うカウンセリング」
化粧品検定1級を持つ美容知識を活かし、メリットだけでなくデメリットも誠実にお伝えします。「しおん先生だから任せたい」と、遠方からの指名予約が絶えない理由がここにあります。

【さらに選ばれる理由】高難易度の「トリプルNeo」にも対応可能

POINT 01

一生モノの二重を目指したい方、まぶたのたるみが気になる方へ

目の開きが改善された症例の施術前目の開きが改善された症例の1ヶ月後

【症例解説】10代女性のお客様

お母様と一緒にご来院され、「自然に目を大きく見せたい」とご相談いただきました。

初めての二重整形とのことでしたので、お顔全体のバランスやご年代に合った自然さを重視してデザインを行いました。
術後はまぶたの開きも改善され、日々のアイメイクも映える、パッチリとした華やかな目元に仕上がっています。

高槻院では、初めての方でもリラックスしてご相談いただけるよう、ご家族とのカウンセリング同席も大歓迎です。
※お客様(ご本人様)以外の方の同席には、同席同意書の記入が必須となります。
SBCが提供する埋没法の中でも、
全国で限られた一部の医師しか執刀を許されていない
特別な術式が「クイックコスメティーク・トリプルNeo」です。

しおん先生は、この高難易度な術式を
得意とする数少ないドクターの一人です。
糸の本数を増やすことで、
過去に埋没法が取れてしまった方や、
まぶたに厚み・たるみがある方でも、
強固で美しいラインを長く維持できます。
特に以下のような方におすすめです。

✅ 過去に埋没法が取れてしまった
✅ 仕上がりにこだわりたい
✅ まぶたの厚みがある
✅ まぶたの皮膚がたるみ始めている年配の方

さらに、トリプルNeoには
「一生涯保証」がついています。
万が一ラインが薄くなったり取れたりした場合でも、
一生涯、無料でかけ直しが可能なため、
「これが最後の二重術にしたい」という方に選ばれています。

まぶたの表面に傷を作らないため、
お仕事が休めない方や周囲に秘密にしたいシニア世代の方にも最適です✨

▶︎ クイックコスメティークの詳細を見る

高槻院がオススメする目元の併用・専門施術(眼瞼下垂・クマ取りなど)

MENU 01

切らない眼瞼下垂 真崎式
(単体・二重術併用)

RECOMMEND 01:
黒目をパッチリ強調

切らない眼瞼下垂 真崎式

「目が開きにくい」「眠そうに見える」というお悩みを、切らずに改善する画期的な術式です。二重術との併用はもちろん、今の二重幅を変えずに開きだけを良くする「単体施術」も可能です。

✨ ここが最強!
真崎式は黒目の露出を増やすことに特化しており、二重埋没法と組み合わせることで、より華やかで力強い目力を手に入れられます。

MENU 02

クマ取り
(脱脂・裏ハムラ・アイバックリムーブ)

RECOMMEND 02:
再発が少なく満足度が高い「裏ハムラ」

裏ハムラ・クマ取り(脱脂)

目の下の膨らみ(脂肪)を最適な位置に移動させる「裏ハムラ法」は、再発リスクが少なく、凹凸を同時に解消できるため非常に人気の高い治療です。

裏ハムラ 施術前裏ハムラ 術後1ヶ月
✨ ここが最強!
単に脂肪を抜くだけでなく、へこんだ箇所に移動させることで、将来的なたるみも予防しながら、よりフラットで美しい目元を長期維持できます。

MENU 03

【シニア世代に人気】
眉下リフト(眉下切開)

RECOMMEND 03:自然な若返りを実現

眉下リフト(眉下切開)

まぶたの厚い皮膚を眉下でリフトアップ。本来のパッチリとした目元に戻します。40代〜70代の方に大人気です。
○西日本女医 症例数No.2🥈
2025年上半期 SBC内在籍医師約500名中/和歌山院在籍時

しおん先生の眉下リフト症例写真
✨ ここが最強!
しおん先生は丁寧な縫合技術により、傷跡が目立ちにくく、周囲にバレない自然な仕上がりで若返られると評判です。

術後の不安を解消!埋没法ダウンタイム中の過ごし方

DOWNTIME 01

ダウンタイムの経過(クイックコスメティーク法の場合)

ダウンタイムの経過(クイックコスメティーク法の場合)
高槻院で最も人気の『クイックコスメティーク法』を受けられた後の、一般的なダウンタイムの経過をご紹介します。
「仕事や学校はいつから行ける?」といった疑問の参考にしてください。
※通常の埋没法(週末二重術など)の場合は、下記の経過よりもさらに数日〜1週間程度ダウンタイムが長引く傾向があります。

■ 術直後〜翌日
腫れや泣き腫らしたようなむくみが出やすい時期です。
保冷剤などを清潔なタオルで包み、目元を軽く冷やしていただくと腫れが引きやすくなります。(※冷やしすぎにご注意ください)

■ 術後3日〜1週間
大きな腫れは徐々に落ち着いてきます。
もし万が一内出血(青あざのようなもの)が出た場合も、メイクでコンシーラー等を使えばカバーできる程度になることがほとんどです。

■ 術後1ヶ月〜
二重の幅がほぼ完成し、自然な状態に馴染みます。

POINT 02

早く腫れを引かせるためのポイント

  • 頭を高くして寝る(枕を少し高くする)
  • 激しい運動、長時間の入浴、サウナ、過度な飲酒など「血流が良くなること」は控える
  • 目元を強く擦らない、触らない

高槻で二重整形・埋没法を検討中の方からよくある質問

QUESTION 01

Q. まぶたの左右差は治りますか?

はい、多くの場合は修正が可能です。
まぶたの厚みや開き具合による左右差は、しおん先生が最も得意とするデザイン調整の一つです。

ミリ単位でシミュレーションを行い、左右のバランスを整えることで、自然で美しい対称的な目元へ導きます。

ただし、まぶたの状態(強い眼瞼下垂や骨格の影響など)によっては、埋没法のみでは限界がある場合もございます。

高槻院ではより微調整が利きやすく、固定力の強い「クイックコスメティーク・トリプルNeo」などの術式をおすすめしております。
高いデザイン力が必要な左右差の修正も、症例数豊富なしおん先生にお任せください。
術前と術後の症例写真です。
元々片目だけ奥二重だったお客様。左右のラインを揃えることで、パッと華やかな印象になりました。

「自分のまぶたは左右差が激しいから無理かも…」と諦める前に、ぜひ一度カウンセリングへお越しください。しおん先生が、あなたにとって最適な解決策をご提案いたします🪄

QUESTION 02

Q. 術後メイクはいつからできますか?

選ぶ術式によって異なりますが、
高槻院で最も人気の『クイックコスメティークNeoシリーズ』であれば、施術直後からアイメイクが可能です。

まぶたの表面に針穴を開けず、裏側から糸を留めるため、術後すぐにメイクをしてご帰宅いただけます。ダウンタイムをメイクでカバーしたい方や、周りにバレたくない方に非常におすすめです。

※通常の埋没法(週末二重術など)の場合は、アイメイクは術後48時間(翌々日)からとなります。

QUESTION 03

Q. ダウンタイム(腫れや内出血)はどれぐらいですか?

腫れや内出血のピークは術後2〜3日目で、おおむね1週間程度で落ち着いてきます(※個人差があります)。

しおん先生は無駄のないスピーディーな職人技で手術を行うため、「まぶたへのダメージが少なく、腫れが引きやすかった」というお声を多くいただきます。

週末のお休みを利用して高槻院で施術を受け、月曜日からメイクをして学校や職場へ行かれる方も多くいらっしゃいます。

QUESTION 04

Q. 施術が多いので、自分に合った施術の選び方を教えてもらえますか?

「どの施術が自分に合うかわからない…」と迷ってしまいますよね。

二重の術式にはそれぞれ特徴があり、まぶたの厚みや筋肉の状態によって適した方法が変わってきます。

高槻院では、しおん先生がじっくりとお話を伺いながら、お客様のまぶたの状態を丁寧に診察させていただきます。
一人ひとりのお顔立ちやライフスタイルに寄り添って、一番綺麗に、そして自然に仕上がる最適な方法をご提案いたしますので、ぜひリラックスして無料カウンセリングにお越しくださいね。

QUESTION 05

Q. カウンセリングと同日に施術を受けることは可能ですか?

はい、もちろん可能です!

「何度も通う時間が取れない」「今日可愛くなって帰りたい」という方のために、高槻院では可能な限り当日施術も承っております。

ただ、お目元の状態をしっかり確認させていただいた結果や、当日の手術室の空き状況によっては、安全を第一に考え別日でのご案内をお願いする場合もございます。
当日施術をご希望の場合は、ご予約の際に「当日施術希望」とお伝えいただけますと、スムーズにご案内しやすくなりますのでおすすめです。

大阪・高槻院で理想の目元へ!モニター募集&アクセス情報

TAKATSUKI 01

お得なモニター募集(二重整形・クマ取り)

全国女医No.1※のしおん先生の執刀を、
モニター価格でお得に受けることが可能です。
(※適応審査がございます)

詳細な条件や料金については、
ご希望の施術(二重整形またはクマ取り)の
下記ボタンより公式サイトにてご確認ください。
※クイックコスメティーク・ダブルNeo 2025年上・下半期 SBC内執刀件数(在籍医師約500名中)和歌山院在籍時含む
\ 24時間WEB予約可能 /
※モニターには審査がございます
\ 24時間WEB予約可能 /
※モニターには審査がございます

TAKATSUKI 02

クリニックへのアクセス(JR高槻駅直結)

クリニックへのアクセス(JR高槻駅直結)
SBC高槻院は、JR高槻駅「直結」のグリーンプラザたかつき1号館内にあります。

雨の日でも濡れずにアクセスできるだけでなく、「術後、すっぴんやメガネ姿でも人通りをあまり気にせず、スムーズに電車やバスに乗って帰宅できる」という点が、二重整形を受けられるお客様から大変好評です。

高槻市内にお住まいの方はもちろん、茨木、吹田、摂津など北摂エリアの主要都市からも短時間でアクセスできるため、「全国女医No.1のしおん先生の確かな技術で、一生モノの二重を手に入れたい」という遠方の方にも選ばれています。

ぜひ一度、無料カウンセリングでしおん先生にあなたのお悩みをお聞かせください。
🏥 クリニック情報・アクセス
■ 診療時間9:30~18:30(予約制)
■ 休診日水曜日
■ 住所大阪府高槻市紺屋町1-1 グリーンプラザたかつき1号館 3階
🚃 電車でのアクセス(目安)
  • JR高槻駅 直結 徒歩3分
  • JR茨木駅から約6分
  • JR吹田駅から約15分
  • JR大阪駅から約15分
  • 阪急京都線 高槻市駅から徒歩約10分

\ 24時間いつでもWeb予約 /
※指名料や相談料など一切かかりません

Instagram

しおん先生の症例写真はInstagramでチェック♡

BEFORE AFTER施術前と施術後の変化

  • 施術前

    1 週間後

  • 施術前

    3 ヶ月後

  • 施術前

    1 ヶ月後

  • 施術前

    1 ヶ月後

特集一覧に戻る

CLINICクリニック案内

CLINIC クリニック案内

  • 女医在籍
  • モニター募集
  • 駅チカ
所在地 〒569-0804 大阪府高槻市紺屋町1番1グリーンプラザたかつき1号館3階
診療時間 AM9:30~PM6:30(最終カウンセリング予約PM5:00まで)
※休診日:第2・第3水曜日、不定休
アクセス JR高槻駅 徒歩3分
阪急高槻市駅 徒歩10分

湘南美容クリニック高槻院では美容皮膚科治療を始め、
痩身、小顔治療、二重術、クマ取りなど幅広い施術を取り扱っております。
グリーンプラザたかつき1号館内のためJR高槻駅から徒歩3分、阪急高槻市駅からも徒歩10分です。
まずはお気軽に、お電話若しくはメールにてお問い合わせください。

監修医師紹介

足立紫音 医師
高槻院院長
足立紫音 医師
保有資格
日本化粧品検定1級 / グアム大学解剖実習修了 / ボトックスビスタ認定医 / ジュビダームビスタ認定医
経歴
2020年 京都府立医科大学 卒業
2021年 JCHO神戸中央病院/京都府立医科大学附属病院
2022年 湘南美容クリニック 入職
2024年 湘南美容クリニック和歌山院院長 就任
2026年 湘南美容クリニック高槻院院長 就任

SBCメディカルグループ クリニック一覧

北海道

東北地区

東京

関東

関東おすすめドクター

中部地区

関西地区

関西おすすめドクター

中国・四国地区

九州・沖縄地区

オンラインクリニック クリニック一覧

リッツ美容外科 クリニック一覧

ゴリラクリニック クリニック一覧

リゼクリニック クリニック一覧

海外 クリニック一覧

ベトナム

シンガポール

  • Chelsea Clinic
  • Chelsea Clinic Extension
  • Chelsea Asthetics
  • Gangnam Laser Clinic
  • SkinGo! Hougang Mall
  • SkinGo! Jewel Changi Airport
  • SkinGo! Junction 8
  • SkinGo! Jurong Point 2
  • SkinGo! NEX
  • SkinGo! North Point City
  • SkinGo! Pasir Ris Mall
  • SkinGo! Tampines 1
  • SkinGo! Tiong Bahru
  • SkinGo! Plaza Singapura
  • SkinGo! City Square Mall
  • SkinGo! Marina Square
  • SkinGo! Eastpoint
  • SkinGo! Stars of Kovan
  • SkinGo! United Square
  • Rochor Centre Clinic

様々な科目の専門医・学会会員が
在籍しています

湘南美容クリニックは日本美容外科学会(JSAPS)専門医、日本美容外科学会正会員、日本形成外科学会専門医 、先進医療医師会 参与、日本再生医療学会 理事長補佐、国際美容外科学会(International Society of Aesthetic Plastic Surgery)Active Member、医学博士、厚生労働省認定臨床研修指導医、日本整形外科学会・専門医、日本麻酔科学会認定医、厚生労働省麻酔科標榜医、日本外科学会専門医・正会員、日本胸部外科学会正会員、日本頭蓋顎顔面外科学会会員、日本静脈学会会員医学博士、日本医師会認定産業医、日本抗加齢医学会会員、日本マイクロサージャリー学会会員、GID(性同一性障害)学会会員、日本脂肪吸引学会会員、美容皮膚科学会正会員、日本レーザー治療学会会員などの資格を保有した医師が在籍しております。

当ページは医療広告ガイドラインを遵守し、医師監修のもと掲載しています

SBCメディカルグループでは、2018年6月1日に施行された医療広告ガイドラインを受け、ホームページ上からの体験談の削除を実施しました。また、症例写真を掲載する際には施術の説明、施術のリスク、施術の価格も表示させるようホームページを全面的に修正しております。当ホームページをご覧の患者様、お客様にはご迷惑、ご不便をおかけ致しますが、ご理解のほどよろしくお願い申し上げます。

×

当院におけるワクチン接種後の治療間隔(ガイドライン)

美容皮膚科、美容外科小手術

前後3日(手術日は含まず)、自覚する副反応がなければ可
安心麻酔を使用するものは接種後1週間は空ける

美容外科中、大手術

前後1週間
副反応が残っている場合は延期
接種部位と手術部位が同じ場合は2週間は空ける

×

お急ぎの方はお電話ください

0120-489-100

受付時間 / 10:00~23:00