私はクマ取り症例数6年連続SBC 内全国No.1*を達成いたしました。(*2019年-2024年/2025年上半期)特に2024年、2025年上半期は裏ハムラ法症例数 SBC内全国No.1を達成することができました。またクマ取り症例数 7300件は、湘南美容クリニックで圧倒的No.1の実績です。
お客様の目元を丁寧に診察し、ご希望に寄り添いながら、ベストな施術を提供します。長年悩まれた貴方のクマたるみ、安心と信頼の治療は、ぜひ本田にお任せ下さい。


「目の下の切らないクマ・たるみ
(ふくらみ)取り 脂肪注射」の
経験豊富なプレミアムドクター

品川エリア統括ドクター
品川院 院長
本田 賢治 医師
Kenji Honda
経歴
| 2009年3月 | 島根大学医学部卒 |
|---|---|
| 2009年4月 | 手稲渓仁会病院入職 |
| 2011年6月 | 湘南美容クリニック入職 |
| 2012年6月 | 湘南美容クリニック品川院 院長就任 |
| 2015年4月 | 湘南美容クリニック新宿本院 配属 |
| 2019年1月 | 湘南美容クリニック 八王子院院長 |
| 2020年6月 | 湘南美容クリニック 品川院院長就任 |
ドクターコメント

私に出来ることは、最大限の誠意と技術を提供すること。そして綺麗になって満足頂くことです。これからも日本最高のクマ取りをします。

プレミアムドクターで目の下の切らないクマ・
たるみ(ふくらみ)取り・脂肪注射をする場合
治療代が特別価格となります。

【20代女性】
施術名:裏ハムラ法
経過日:術後2ヶ月
【30代女性】
施術名:裏ハムラ法+ナノリッチ脂肪注入(目の下・涙袋)
経過日:術後4ヶ月
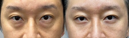
【30代男性】
施術名:裏ハムラ法+ナノリッチ脂肪注入(目の下・涙袋)
経過日:術後1ヶ月
【40代女性】
施術名:裏ハムラ法+ナノリッチ脂肪注入(目の下・涙袋)
経過日:術後1ヶ月
【40代男性】
施術名:裏ハムラ法
経過日:術後3ヶ月
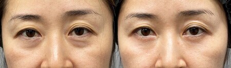
【50代女性】
施術名:裏ハムラ法+ナノリッチ脂肪注入(目の下・涙袋)
経過日:術後1ヶ月















