東京都新宿区新宿4丁目2-23
新四curumuビル6階
・新宿三丁目駅 徒歩1分
0120-955-577
受付時間:AM10:00~PM11:00(土・日・祝日も対応)


若返りのスペシャリスト!ルークひのきによる
皮膚科クマ治療モニター募集★
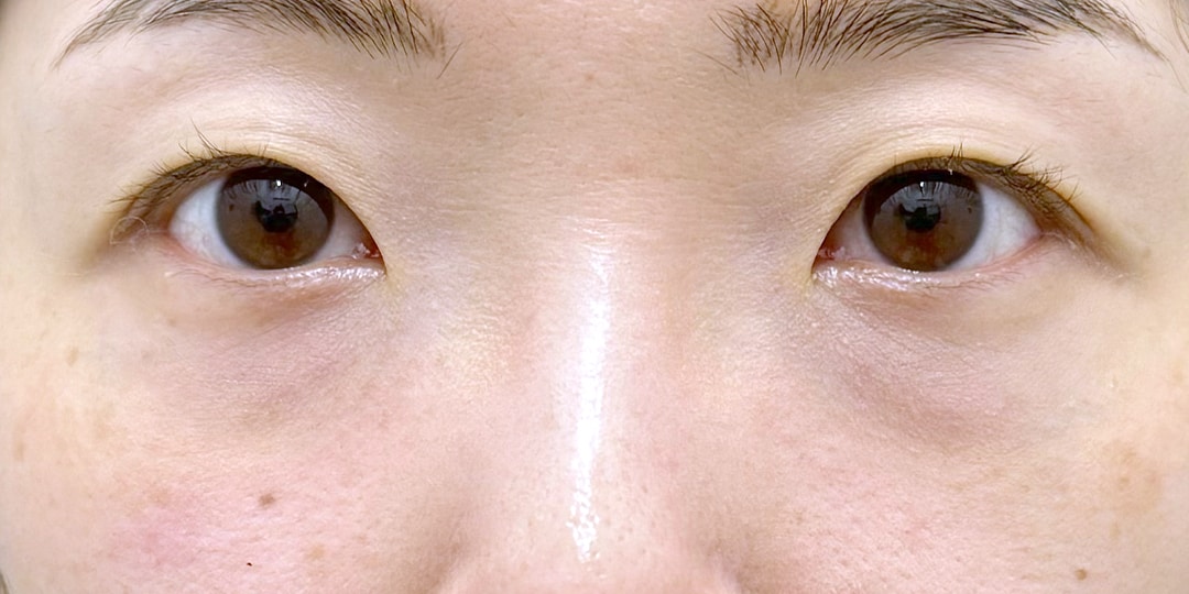
「手術まではしたくないけれど、目の下のクマが気になる…」
そんな方におすすめなのが、美容皮膚科でのクマ治療です。
一人一人のクマの状態に合わせて、
下記の中から最適な治療法をご提案いたします。
・モフィウス8
・くまぴたスレッド
・ベビーコラーゲン
SBC全国おすすめクマ取りドクター選出、
さらに目元若返りプレミアムドクターとしても活躍する
ルークひのきが、外科的なクマ取りの豊富な経験をもとに、
切らずに叶える自然な若返りをご提案いたします。


即時効果があり持続期間も長く、目の下の膨らんでいる脂肪、窪んでいるクマ、目元の若返り、目の下の小ジワが気になる方におすすめの治療です。
ベビーコラーゲンとは、世界初Ⅰ型コラーゲンとⅢ型コラーゲンを50:50で配合された唯一のヒト胎盤由来コラーゲン注入剤です。
肌にコラーゲンを注入することで「肌細胞の再生・活性化」「肌のボリュームアップ」「ハリ改善」「小じわの改善」を目的とした治療です。
モフィウス8とはマイクロニードル(微細針)とRF(高周波)を組み合わせたマイクロニードルRF機器です。
ポテンツァやシルファームなどもマイクロニードルRFの一種ですが、モフィウス8は真皮~皮下組織・皮膚表面までの広い皮膚構造に向かって熱を照射できるという点で、強いタイトニング効果が期待できる注目の機器です。



クリニック案内
モニター情報 No.081-0943
東京都新宿区新宿4丁目2-23
新四curumuビル6階
・新宿三丁目駅 徒歩1分
0120-955-577
受付時間:AM10:00~PM11:00(土・日・祝日も対応)
必ずご確認ください
※お問い合わせの際にはモニター番号が必要になりますので、
モニター番号をお控えの上、お問い合わせください。
違う条件でモニターを探す
