東京都新宿区新宿4丁目2-23
新四curumuビル6階
・新宿三丁目駅 徒歩1分
0120-955-577
受付時間:AM10:00~PM11:00(土・日・祝日も対応)


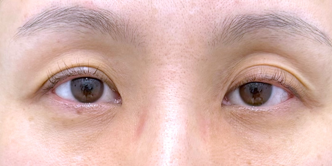
まぶたが重い、目が開けにくい、眠そう・疲れて見える――
そんなお悩みは、眼瞼下垂が原因かもしれません。
切らない眼瞼下垂 真崎式は、まぶたを切らずに
目の開き・見た目の印象・左右差を整える施術です。
ルークひのきは、二重整形を数多く手がけてきた
目元施術の経験豊富なドクターです。
埋没法・切開二重法など幅広い症例に対応してきた経験を活かし、
一人ひとりの目元に合わせた自然な仕上がりをご提案します。
目の開きの悪さや、眠たそうに見える目元にお悩みの方は、
若返り治療を得意とするルークひのきにぜひご相談ください。
クリニック案内
モニター情報 No.081-0957
東京都新宿区新宿4丁目2-23
新四curumuビル6階
・新宿三丁目駅 徒歩1分
0120-955-577
受付時間:AM10:00~PM11:00(土・日・祝日も対応)
必ずご確認ください
※お問い合わせの際にはモニター番号が必要になりますので、
モニター番号をお控えの上、お問い合わせください。
違う条件でモニターを探す
