東京都千代田区外神田3丁目12-8 住友不動産秋葉原ビル10階
・JR秋葉原駅電気街改札 徒歩3分
0120-955-822
受付時間:AM9:00~PM11:00(土・日・祝日も対応)


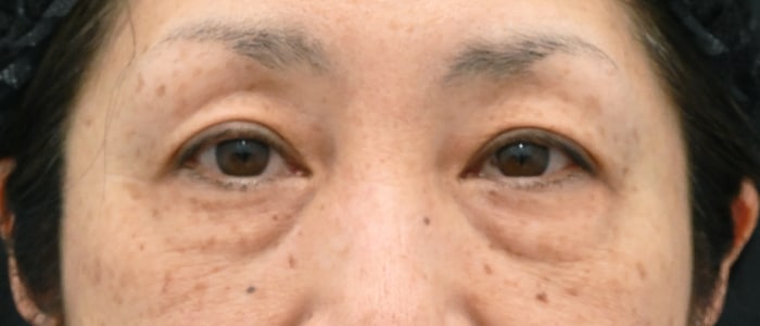
「裏ハムラ法」は、目元の若返りに特化したクマ治療です!
目の下のクマやたるみは、「疲れて見える」「実年齢より老けて見られる」一番の原因となりやすく
年齢とともに悪化していきます。
裏ハムラ法は、下まぶたの裏側から 余分な眼窩脂肪を捨てずに
影の原因となる「くぼみ」へ移動・固定させることで
下まぶたの凹凸を平らでなめらかな状態に整えます。
表面の皮膚を切らないため、傷跡の心配もありません。
・「いつも疲れてる?」と聞かれる方
・夕方になると目の下の影が目立つ方
・傷跡を残さず根本的に治したい方
におすすめ!
豊富な施術経験をもとに、一人ひとりに合わせた高クオリティな施術を提供させていただきます。
クリニック案内
モニター情報 No.090-0583
東京都千代田区外神田3丁目12-8 住友不動産秋葉原ビル10階
・JR秋葉原駅電気街改札 徒歩3分
0120-955-822
受付時間:AM9:00~PM11:00(土・日・祝日も対応)
必ずご確認ください
※お問い合わせの際にはモニター番号が必要になりますので、
モニター番号をお控えの上、お問い合わせください。
違う条件でモニターを探す
