症例写真(二重・二重整形)
ドクターが選ぶ BEST SHOT AWARD
症例写真一覧
表示件数:92626件 / 349463件
二重・二重整形 / クイックコスメティーク・トリプルNeo No.361924
【二重埋没法】【静岡院】ドクターが選ぶBEST SHOT AWARD優秀賞受賞(2021年5月)★静岡院院長/静岡エリア統括ドクター 飯田医師による二重の食い込み&まばたきしても美しい自然な二重術★施術前→術後1週間→術後1ヶ月
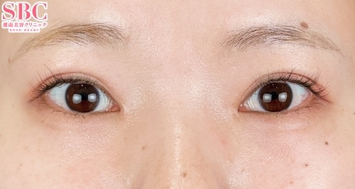
二重・二重整形 / クイックコスメティーク・ダブルNeo 他 No.345077
【二重整形】【埋没法二重術】【静岡院】ドクターが選ぶBEST SHOT AWARD優秀賞受賞(2021年5月)★Dr.飯田による二重の食い込み&まばたきしても美しい自然な二重術
二重・二重整形 / フォーエバー二重術(R) No.361943
少しの変化で目力アップ
二重・二重整形 / クイックコスメティーク・ダブルNeo No.359504
【二重・二重整形】★2025上期 自然癒着セット症例数 九州沖縄エリアNo.1★ご希望に合わせた二重ラインへ!【施術1ヶ月後】【クイックコスメティーク法】
二重・二重整形 / 切らない眼瞼下垂 真崎式 他 No.361893
真崎式切らない眼瞼下垂術!目元の印象が良くなりました◎目頭切開と併用(1ヶ月ダウンタイム中)
二重・二重整形 / 週末二重(R) No.352375
【週末二重術】長期のお休み不要!安心保証付!人気の週末二重術で憧れのぱっちり二重に!【施術1ヶ月後】【週末二重3点】
二重・二重整形 / Teen二重(R) No.355187
【Teen二重術】長期のお休み不要!安心保証付!10代限定のTeen二重術で憧れのぱっちり二重に!【施術1ヶ月後】【週末二重3点】
二重・二重整形 / Teen二重(R) No.355708
【Teen二重術】長期のお休み不要!安心保証付!10代限定のTeen二重術で憧れのぱっちり二重に!【施術1ヶ月後】【週末二重3点】
二重・二重整形 / ハイブリッド式二重術 No.361875
【池袋東口院】【埋没法二重術】二重手術件数全国No.1、二重整形No.1ドクター決定戦優勝者のDr.赤尾による緻密に計算された二重術
二重・二重整形 / クイックコスメティーク・ダブルNeo No.361824
【埋没二重】【クイックコスメティーク・ダブルNeo】SNSからのご指名多数!!所沢院Dr.松浦による自然と馴染む似合わせ二重術。
二重・二重整形 / 目頭切開プレミアム 他 No.359098
女性・目頭切開・全部切開二重術【術後1ヶ月】
二重・二重整形 / クイックコスメティーク・トリプルNeo 他 No.361805
【二重・二重整形】あなたのかわいいを引きだします!中谷拓医師によるまつ毛のキワを見せる二重術【術後3ヶ月経過】
二重・二重整形 / フォーエバー二重術(R) No.361555
【フォーエバー二重術】SBC表留めの最高峰!本来の二重により近い技法でナチュラルもパッチリも思いのまま!
二重・二重整形 / クイックコスメティーク・トリプルNeo 他 No.361245
【二重・二重整形】インスタから指名多数!千葉センシティ院 Dr.高橋のまつ毛のキワ見せ二重術【クイックコスメティーク・トリプルNeo+目頭切開プレミアム】
二重・二重整形 / 目頭切開プレミアム 他 No.361532
20代女性 クイックコスメティーク・ダブルNeo/目頭切開プレミアム/目尻切開/下眼瞼下制(結膜切開/タレ目/たれ目/グラマラスライン)
二重・二重整形 / タルミ取り併用全切開法二重 他 No.361461
20代男性 タルミ取り併用全切開二重/目の下の切らないクマ・たるみ取り
二重・二重整形 / タルミ取り併用全切開法二重 他 No.361035
20代女性 タルミ取り併用全切開法二重/目尻切開/下眼瞼下制(結膜切開/タレ目/たれ目/グラマラスライン)
二重・二重整形 / クイックコスメティーク・ダブルNeo No.361497
【目元症例2000件以上/症例実績多数】【20代/クイックコスメティークダブルNeo】あなたにあった自然な二重幅で作り上げる小泉佑太のナチュ映え二重
二重・二重整形 / クイックコスメティーク・ダブルNeo 他 No.361409
20代症例【クイックコスメティーク・ダブルNeo 自然癒着セット】
二重・二重整形 / 目頭切開プレミアム 他 No.361391
「目つき改善!目も大きくなる!」(タレ目)








































































