美容整形の症例写真(美容整形)
症例写真一覧
表示件数:320995件 / 351031件
二重・二重整形 / フォーエバー二重術(R) No.191247
フォーエバー二重術で二重のり要らずのぱっちり二重に♪
豊胸・バストの修正 / モテバスト(ヒアルロン酸豊胸) 他 No.191651
モテバスト+乳頭縮小術でバランスの良いふっくらバストに♪
わきが・多汗症 / ミラドライ No.190878
脳神経外科専門医Dr.大野施術【ミラドライ】 照射するだけで、ワキの汗の量とニオイを抑えます。ダウンタイムも少ないです。 傷跡を残したくない方やお休みが取りにくい方にオススメです。【術後1ヶ月】
二重・二重整形 / フォーエバー二重術(R) No.191230
脳神経外科専門医Dr.大野執刀【フォーエバー二重術】糸をクロスさせることで、埋没法なのに持続しやすいラインを作れます!【術後1カ月】
二重・二重整形 / フォーエバー二重術(R) No.190871
脳神経外科専門医Dr.大野執刀【フォーエバー二重術】 糸をクロスさせることで、埋没法なのに、持続しやすいラインを作れます。【術後1週間】
AGA薄毛治療 / 自毛植毛 他 No.363589
生え際を整える植毛術(750G)(その1)
AGA薄毛治療 / 自毛植毛 他 No.363588
生え際を整える植毛術(750G)(その2)
AGA薄毛治療 / 自毛植毛 他 No.363587
生え際を整える植毛術(750G)(その3)
AGA薄毛治療 / 自毛植毛 他 No.363586
生え際を整える植毛術(750G)(その4)
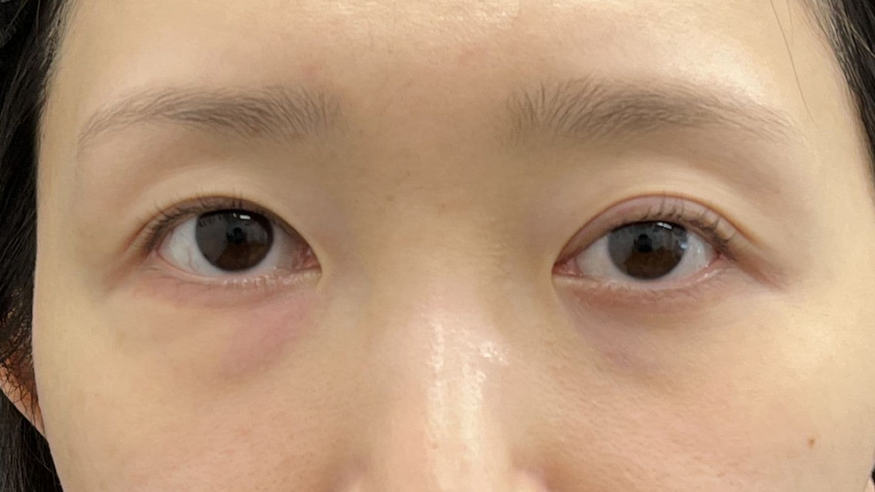
若返り / 裏ハムラ法 他 No.363585
【SBC統括技術指導医/横浜東口院】美容外科専門医ベテランドクターによる切らない目の下のクマ治療!症例写真8000枚超☆3年連続!!! SBC award 最優秀賞 受賞ドクター坂西執刀♪『裏ハムラ法(経結膜眼窩脂肪移動術/再配置)+女優注射』
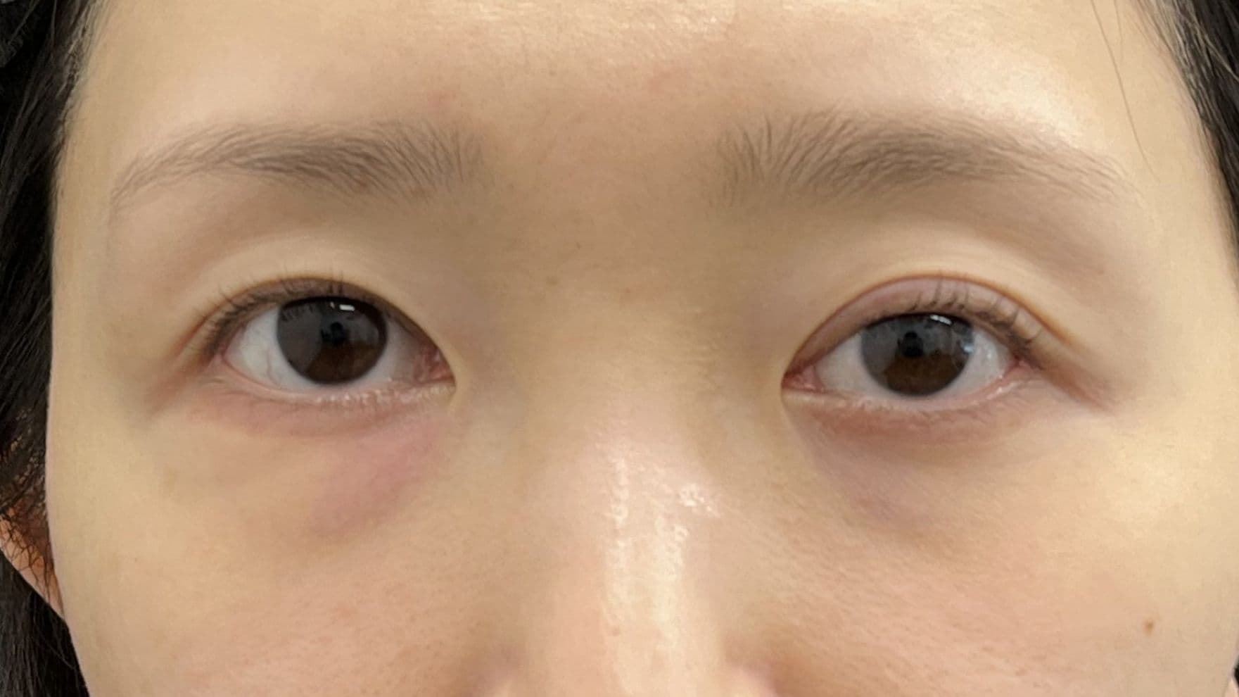
若返り / 裏ハムラ法 他 No.363584
【SBC統括技術指導医/横浜東口院】美容外科専門医ベテランドクターによる切らない目の下のクマ治療!症例写真8000枚超☆3年連続!!! SBC award 最優秀賞 受賞ドクター坂西執刀♪『裏ハムラ法(経結膜眼窩脂肪移動術/再配置)+女優注射』
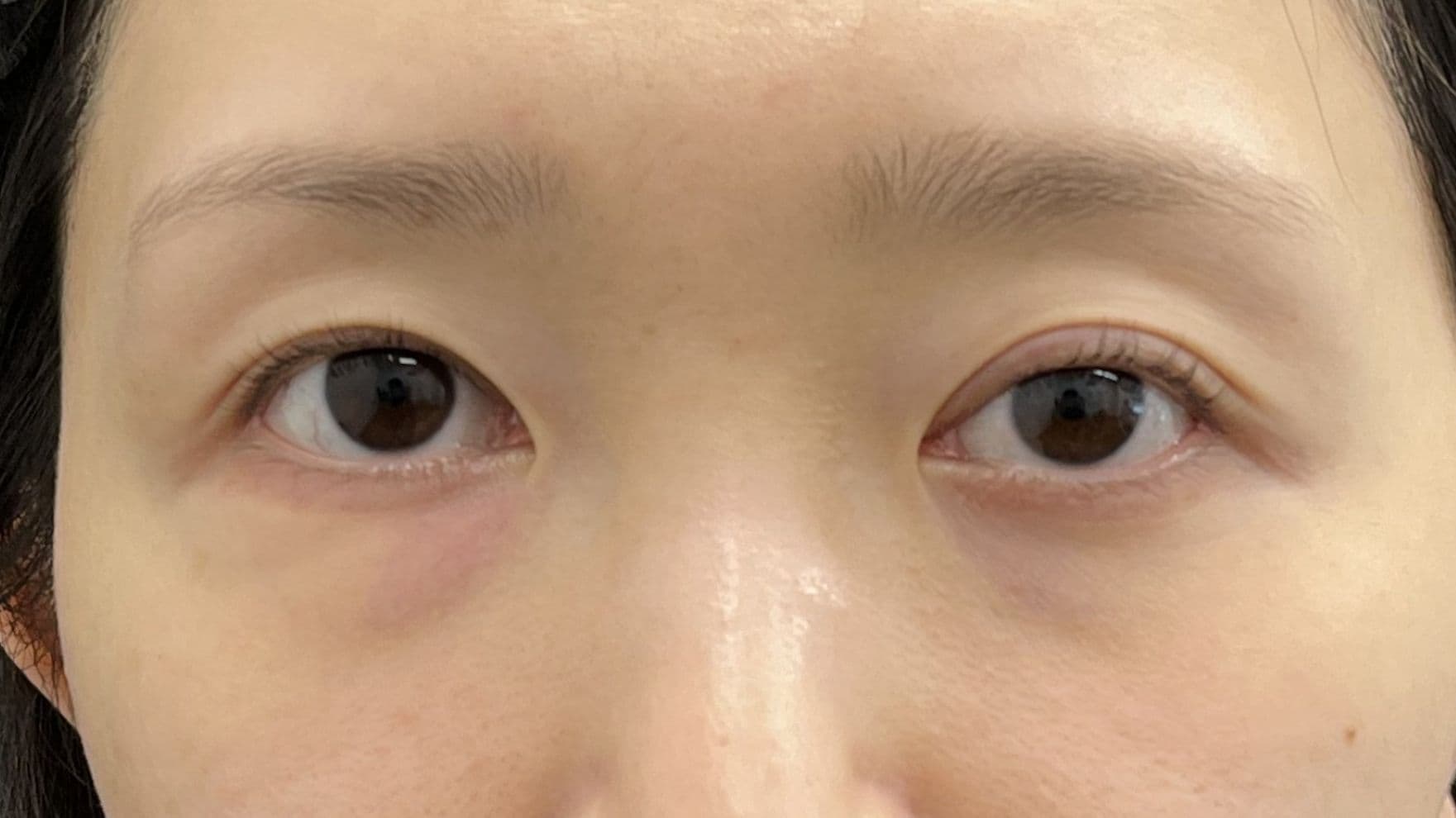
若返り / 裏ハムラ法 他 No.363583
【SBC統括技術指導医/横浜東口院】美容外科専門医ベテランドクターによる切らない目の下のクマ治療!症例写真8000枚超☆3年連続!!! SBC award 最優秀賞 受賞ドクター坂西執刀♪『裏ハムラ法(経結膜眼窩脂肪移動術/再配置)+女優注射』
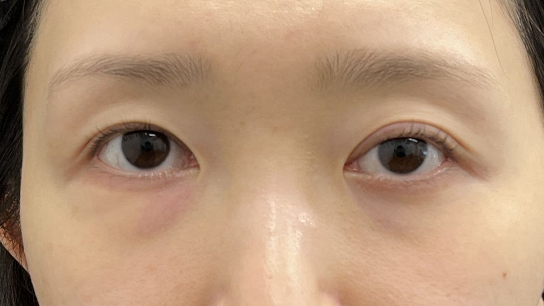
若返り / 裏ハムラ法 他 No.363582
【SBC統括技術指導医/横浜東口院】美容外科専門医ベテランドクターによる切らない目の下のクマ治療!症例写真8000枚超☆3年連続!!! SBC award 最優秀賞 受賞ドクター坂西執刀♪『裏ハムラ法(経結膜眼窩脂肪移動術/再配置)+女優注射』
若返り / 裏ハムラ法 他 No.363581
【SBC統括技術指導医/横浜東口院】美容外科専門医ベテランドクターによる切らない目の下のクマ治療!症例写真8000枚超☆3年連続!!! SBC award 最優秀賞 受賞ドクター坂西執刀♪『裏ハムラ法(経結膜眼窩脂肪移動術/再配置)+女優注射』
豊胸・バストの修正 / VASER併用コンデンスリッチ(脂肪注入豊胸) 他 No.363580
■脂肪注入豊胸■ 【 脂肪豊胸症例数 東日本エリア3年連続女医1位 ※2022-24年】安心の女医・多田彩子(一般外科出身)による脂肪注入豊胸都心で経験豊富!要らない脂肪をお胸に移して、コンプレックス解消★
AGA薄毛治療 / 自毛植毛 他 No.363576
【劇的変化なら断然植毛】20代男性 スマートFUE1250G (中等症例)
AGA薄毛治療 / 自毛植毛 他 No.363575
【劇的変化なら断然植毛】20代男性 スマートFUE1250G (中等症例)
AGA薄毛治療 / AGA治療薬 他 No.363574
20代男性 自毛植毛2120グラフト【埼玉・大宮】
AGA薄毛治療 / AGA治療薬 他 No.363573
20代男性 自毛植毛2120グラフト【埼玉・大宮】
AGA薄毛治療 / AGA治療薬 他 No.363572
20代男性 自毛植毛2120グラフト【埼玉・大宮】
















































