美容整形の症例写真(美容整形)
症例写真一覧
表示件数:321009件 / 351046件
若返り / 眉下リフト(眉下切開) No.363198
◆◆目元切開厳選医師の名倉が叶える -5歳!! 眉下リフト◆◆瞼のたるみでお悩みの方必見!!3ヶ月後のお写真
若返り / 目の下の切らないクマ・たるみ(ふくらみ)取り No.363197
◆◆美容外科専門医 名倉が叶える -5歳!! 目の下のたるみ取り+脂肪注入(目の下~ゴルゴ線)◆◆目の下のぷっくり、クマでお悩みの方必見!!◆1ヶ月後のお写真
若返り / プリマリフト No.363196
◆◆美容外科専門医 名倉が叶える小顔術!!糸リフト6年連続全国1位 (2019年~2024年)!※SBC内◆◆プリマリフト+脂肪吸引(頬+顎下)◆ 3ヶ月後のお写真
脂肪吸引 / Aquicell(アキーセル)脂肪吸引 他 No.363195
★顔の脂肪吸引 8年連続全国No.1 (2018~2025年)!※SBC内 脂肪吸引エキスパートドクターによる輪郭整形 ★脂肪吸引(頬+顎下)+ジョールファット★6ヶ月後のお写真
脂肪吸引 / 根こそぎVASER脂肪吸引 No.363194
【元・大学病院形成外科講師】形成外科専門医モリゾーが執刀するVASER脂肪吸引
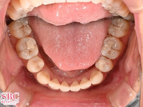
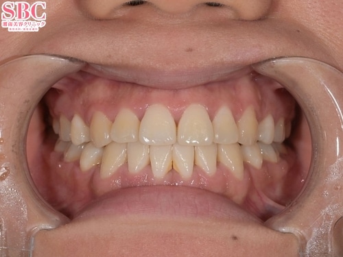
美容歯科 / マウスピース矯正 他 No.363193
【MVP受賞Dr・加瀬れいな】ワイヤー矯正の後戻りにおすすめ!マウスピース矯正で歯の健康を保とう!【マウスピース矯正】
美容歯科 / マウスピース矯正 他 No.363192
【MVP受賞Dr・加瀬れいな】ワイヤー矯正の後戻りにおすすめ!マウスピース矯正で歯の健康を保とう!【マウスピース矯正】
美容歯科 / マウスピース矯正 他 No.363191
【MVP受賞Dr・加瀬れいな】ワイヤー矯正の後戻りにおすすめ!マウスピース矯正で歯の健康を保とう!【マウスピース矯正】
美容歯科 / マウスピース矯正 他 No.363190
【MVP受賞Dr・加瀬れいな】ワイヤー矯正の後戻りにおすすめ!マウスピース矯正で歯の健康を保とう!【マウスピース矯正】
美容歯科 / マウスピース矯正 他 No.363189
【MVP受賞Dr・加瀬れいな】ワイヤー矯正の後戻りにおすすめ!マウスピース矯正で歯の健康を保とう!【マウスピース矯正】
美容歯科 / マウスピース矯正 他 No.363188
【MVP受賞Dr・加瀬れいな】ワイヤー矯正の後戻りにおすすめ!マウスピース矯正で歯の健康を保とう!【マウスピース矯正】
美容歯科 / マウスピース矯正 他 No.363187
【MVP受賞Dr・加瀬れいな】ワイヤー矯正の後戻りにおすすめ!マウスピース矯正で歯の健康を保とう!【マウスピース矯正】
美容歯科 / マウスピース矯正 他 No.363186
【MVP受賞Dr・加瀬れいな】ワイヤー矯正の後戻りにおすすめ!マウスピース矯正で歯の健康を保とう!【マウスピース矯正】
美容歯科 / マウスピース矯正 他 No.363185
【MVP受賞Dr・加瀬れいな】ワイヤー矯正の後戻りにおすすめ!マウスピース矯正で歯の健康を保とう!【マウスピース矯正】
二重・二重整形 / クイックコスメティーク・トリプルNeo No.363184
【クイックコスメティーク・トリプルNEO】インスタからのご指名多数!似合わせ幅の二重ならりう医師へご相談ください
脂肪吸引 / Aquicell(アキーセル)脂肪吸引 他 No.363183
他院修正のお客様【糸リフト】自然な小顔若返り・しょうこ先生の“全層治療”【ダウンタイム最小限だからお休みが取れなくても安心!】
脂肪吸引 / Aquicell(アキーセル)脂肪吸引 他 No.363182
【20代・女性】ベイザー脂肪吸引関西No.1 大川が叶える部分痩せ!(2025年上半期SBC内)【アキーセル脂肪吸引(二の腕全周+肩+肩甲骨横+胸上部)+ベイザー併用】術後3ヶ月
脂肪吸引 / 小顔用脂肪吸引注射 No.363180
30代のお客様【糸リフト】自然な小顔若返り・しょうこ先生の“全層治療”【ダウンタイム最小限だからお休みが取れなくても安心!】
脂肪吸引 / 小顔用脂肪吸引注射 No.363179
お顔の脂肪を減らしましょう!
若返り / 裏ハムラ法 No.363176
【若返り】【30代症例】☆症例数第1位!(アイバックリムーブ/2025年上半期/東日本)☆【裏ハムラ】切る・切らない二つの視点からお客様にとって最適な治療を提案します!目の下のたるみ・クマをなくして-5歳に印象チェンジ!【施術後1週間経過】
















































