美容整形の症例写真(美容整形)
症例写真一覧
表示件数:321009件 / 351046件
二重・二重整形 / 週末二重(R) No.363067
【二重】【埋没法】SNSから指名多数!Dr.イサハイによるあなただけの最強似合わせ二重
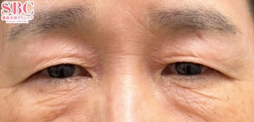
若返り / 裏ハムラ法 No.363066
【若返り】【20代症例】☆症例数第1位!(アイバックリムーブ/2025年上半期/東日本)☆【裏ハムラ】切る・切らない二つの視点からお客様にとって最適な治療を提案します!目の下のたるみ・クマをなくして-5歳に印象チェンジ!【施術後\1か月経過】
豊胸・バストの修正 / コンデンスリッチ(脂肪注入豊胸) 他 No.363064
LAST CALL神ドクター豊胸部門 DR.中村の美バスト症例 ≪コンデンスリッチ豊胸 コールマン式 /術前→1ヶ月目≫
美容歯科 / マウスピース矯正 No.363063
【満足度No.1クラス】 「もっと早くやればよかった!」の声多数!まゆゆ先生が手がける、結果重視のマウスピース矯正【インビザラインモデレート両顎】
美容歯科 / マウスピース矯正 No.363062
【満足度No.1クラス】 「もっと早くやればよかった!」の声多数!まゆゆ先生が手がける、結果重視のマウスピース矯正【インビザラインモデレート両顎】
二重・二重整形 / 週末二重(R) No.363061
【二重】【埋没法】SNSから指名多数!Dr.イサハイによるあなただけの最強似合わせ二重
豊胸・バストの修正 / コンデンスリッチ(脂肪注入豊胸) 他 No.363060
LAST CALL神ドクター豊胸部門 DR.中村の美バスト症例 ≪コンデンスリッチ豊胸 コールマン式 /術前→1ヶ月目≫
若返り / 裏ハムラ法 他 No.363059
お疲れ目元改善!土田博之医師による【クマ治療・裏ハムラ法】目元切開で選ばれています!眉下リフト症例数関西No.2(※)(SBC内症例数 2023年上半期)
若返り / 裏ハムラ法 No.363058
目の下の切らないクマ治療、裏ハムラ法で圧倒的若返り体験を!
豊胸・バストの修正 / コンデンスリッチ(脂肪注入豊胸) No.363056
コンプレックスを解消するためにお胸を大きくする!術後1ヶ月目
二重・二重整形 / クイックコスメティーク・ダブルNeo No.363055
■二重埋没法■Instagramの綺麗な症例写真で人気!!院長の実力!!安心の女医・多田彩子(一般外科出身)による埋没二重術!理想のお目元に仕上げます★
二重・二重整形 / 眉下リフト(眉下切開) 他 No.363053
たるみまぶた解消!土田博之医師による眉下リフト【エレガントアイリフト】(自然癒着法・目頭切開併用)・目元の若返り術★ 眉下リフト症例数関西No.2(※)目元切開で選ばれています!(SBC内症例数 2023年上半期)
若返り / 顎下すっきリフト(アンカーDXダブル) 他 No.363052
【土田式ハリウッド糸リフト】京都で切らない若返り・リフトアップならリテスリフト症例数関西No.2(※)の土田博之医師にお任せ!(SBC内症例数 2025年上半期)
若返り / 裏ハムラ法 No.363051
目の下の切らないクマ治療、裏ハムラ法で圧倒的若返り体験を!
美容歯科 / プレミアムダイヤモンドセラミック 他 No.363048
整形シンデレラファイナリスト担当Drが貴方に贈る 「あなたの笑顔を最高の笑顔に。」〜The Perfect Smile〜 ジルコニアダイヤモンドセラミック
AGA薄毛治療 / 毛根再生注射 他 No.363045
毛根再生注射1回、ジェットメソ(2剤)3回、HRタブレット&スプレーセット、30代男性、3ヶ月後
若返り / シークレットリフト 他 No.363044
40代男性 糸リフト ヒアルロン酸
若返り / シークレットリフト 他 No.363042
40代男性 糸リフト ヒアルロン酸
若返り / シークレットリフト 他 No.363041
40代男性 糸リフト ヒアルロン酸
若返り / シークレットリフト 他 No.363039
50代女性 糸リフト ヒアルロン酸




















































