美容整形の症例写真(美容整形)
症例写真一覧
表示件数:321126件 / 351173件
若返り / 目の下の切らないクマ・たるみ(ふくらみ)取り 他 No.362849
【クマ取り+脂肪注入】目元の若返りなら田中医師にお任せください!
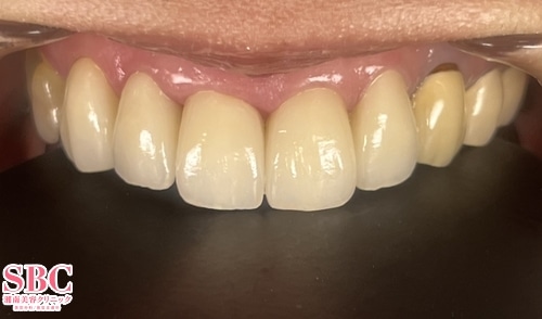
美容歯科 / 削らないラミネートべニア(削らないセラミック) No.362848
貼るセラミックでほとんど削らない!虫歯治療の変色を改善
豊胸・バストの修正 / Motivaエルゴノミックス2(バッグ豊胸) 他 No.362846
LAST CALL神ドクター豊胸部門 DR.中村の美バスト症例 ≪シリコンバッグ豊胸(エルゴノミクス2 左右295cc使用)/術前→3ヶ月目≫
脂肪吸引 / 美ボディ脂肪吸引 No.362844
【脂肪吸引】ダウンタイムを最小限にまで抑えた脂肪吸引!
美容歯科 / マウスピース矯正 No.362843
【インビザライン GO】隙間をなくし綺麗な歯列ラインへ
豊胸・バストの修正 / Motivaエルゴノミックス2(バッグ豊胸) 他 No.362842
LAST CALL神ドクター豊胸部門 DR.中村の美バスト症例 ≪シリコンバッグ豊胸(エルゴノミクス2 左右270cc使用)/術前→1ヶ月目≫
AGA薄毛治療 / 毛根再生注射 他 No.362840
30代男性 AGA治療薬+毛根再生注射+臍帯幹細胞上清液メソ4回 4カ月目 (その3)
AGA薄毛治療 / 毛根再生注射 他 No.362839
30代男性 AGA治療薬+毛根再生注射+臍帯幹細胞上清液メソ4回 4カ月目 (その2)
AGA薄毛治療 / 毛根再生注射 他 No.362838
30代男性 AGA治療薬+毛根再生注射+臍帯幹細胞上清液メソ4回 4カ月目 (その1)
美容歯科 / マウスピース矯正 No.362837
【インビザライン GO】横から見た際に、前歯を綺麗にすることで横顔の印象も◎
若返り / 裏ハムラ法 No.362832
目の下のクマを無くす!「疲れ目」から解放されませんか?
美容歯科 / マウスピース矯正 No.362831
【インビザライン GO】正面から見た印象を一気に綺麗に、、、!
美容歯科 / マウスピース矯正 No.362830
【インビザライン GO】噛み合わせ、突出感も両方を整えましょう!
美容歯科 / マウスピース矯正 No.362829
【インビザライン GO】前歯の出っ張りをなくし綺麗に整えるマウスピース矯正!
美容歯科 / プレミアムダイヤモンドセラミック 他 No.362827
整形シンデレラファイナリスト担当Drが貴方に贈る 「あなたの笑顔を最高の笑顔に。」〜The Perfect Smile〜 ジルコニアダイヤモンドセラミック
二重・二重整形 / クイックコスメティーク・ダブルNeo No.362826
【目元症例2000件以上/症例実績多数】【20代/クイックコスメティークダブルNeo】あなたにあった自然な二重幅で作り上げる小泉佑太のナチュ映え二重
AGA薄毛治療 / 毛根再生注射 他 No.362823
毛根再生注射とエレクトロポレーションメソにて1年で改善克服しました。(その1)
AGA薄毛治療 / 毛根再生注射 他 No.362822
毛根再生注射とエレクトロポレーションメソにて1年で改善克服しました。(その2)
AGA薄毛治療 / 毛根再生注射 他 No.362821
毛根再生注射とエレクトロポレーションメソにて1年で改善克服しました。(その3)
AGA薄毛治療 / 毛根再生注射 他 No.362820
毛根再生注射とエレクトロポレーションメソにて1年で改善克服しました。(その4)



















































