美容整形の症例写真(美容整形)
症例写真一覧
表示件数:321126件 / 351173件
二重・二重整形 / クイックコスメティーク・ダブルNeo No.362776
仕上がりの綺麗さと長持ちの両方を兼ね備えたクイックコスメティークダブル!
若返り / 裏ハムラ法 他 No.362775
Dr.五十嵐の裏ハムラで疲れ目卒業!
脂肪吸引 / 根こそぎVASER脂肪吸引 No.362774
脂肪吸引で確実に部分痩せして続かないダイエットとサヨナラ!下関院石井院長にぜひお任せください!
豊胸・バストの修正 / CEREFORM(R)(セレフォーム)(バッグ豊胸) No.362773
■シリコンバック豊胸■【バック豊胸症例数 全国女医症例数1位 2023年下期】経験豊富な女医・多田彩子(一般外科出身)による豊胸術!!シリコンバック豊胸術の綺麗な症例写真で人気◎ 脂肪注入豊胸、乳頭縮小術からバック豊胸まで出来る女医として選ばれています。
若返り / 切開ハムラ(表ハムラ)法 他 No.362769
【クマ取り/切開(表)ハムラ法症例数全国No.1〈2025年上半期SBC内〉】統括技術指導医/美容外科専門医/プレミアムドクター坂西執刀(横浜東口院)★クマ取りはベテランドクターにお任せください!『切開ハムラ法+ミッドフェイスリフト+貴族ヒアル』
若返り / 切開ハムラ(表ハムラ)法 他 No.362768
【クマ取り/切開(表)ハムラ法症例数全国No.1〈2025年上半期SBC内〉】統括技術指導医/美容外科専門医/プレミアムドクター坂西執刀(横浜東口院)★クマ取りはベテランドクターにお任せください!『切開ハムラ法+ミッドフェイスリフト+貴族ヒアル』
若返り / 切開ハムラ(表ハムラ)法 他 No.362767
【クマ取り/切開(表)ハムラ法症例数全国No.1〈2025年上半期SBC内〉】統括技術指導医/美容外科専門医/プレミアムドクター坂西執刀(横浜東口院)★クマ取りはベテランドクターにお任せください!『切開ハムラ法+ミッドフェイスリフト+貴族ヒアル』
若返り / 切開ハムラ(表ハムラ)法 他 No.362766
【クマ取り/切開(表)ハムラ法症例数全国No.1〈2025年上半期SBC内〉】統括技術指導医/美容外科専門医/プレミアムドクター坂西執刀(横浜東口院)★クマ取りはベテランドクターにお任せください!『切開ハムラ法+ミッドフェイスリフト+貴族ヒアル』
若返り / 切開ハムラ(表ハムラ)法 他 No.362765
【クマ取り/切開(表)ハムラ法症例数全国No.1〈2025年上半期SBC内〉】統括技術指導医/美容外科専門医/プレミアムドクター坂西執刀(横浜東口院)★クマ取りはベテランドクターにお任せください!『切開ハムラ法+ミッドフェイスリフト+貴族ヒアル』
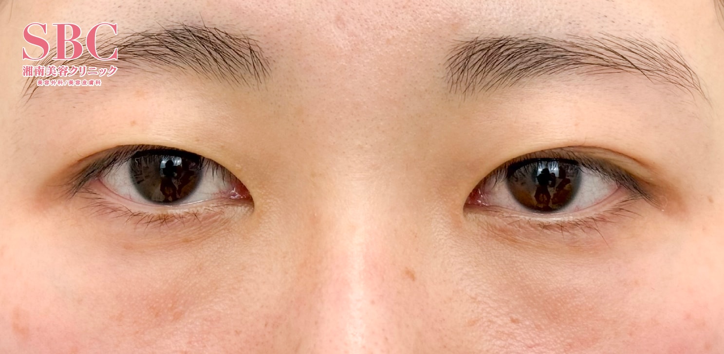
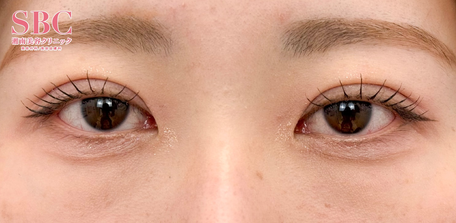
若返り / 裏ハムラ法 No.362764
【裏ハムラ】目の下の脂肪を移動させてクマを改善!八王子院の櫻井医師へお任せください!
若返り / ビーナススレッドリフトプレミアム No.362762
池メト限定の最新糸リフト!顔のたるみは若返りの名医・美容外科医歴17年の古澤医師にお任せください!
脂肪吸引 / 根こそぎVASER脂肪吸引 No.362760
湘南美容歯科福岡院 院長の岡先生を担当させていただきました!〜顔の脂肪吸引〜
豊胸・バストの修正 / Aquicell(アキーセル)併用コンデンスリッチ(脂肪注入豊胸) No.362759
【 脂肪注入豊胸・症例数 4年連続 SBC内全国女医 No.1(2019~2022) ベテランDr.兼井 ようこ医師執刀】アキーセル併用コンデンスリッチ脂肪注入豊胸で、ぷるふわでバレない◎自然な美乳に
豊胸・バストの修正 / Motivaエルゴノミックス2(バッグ豊胸) 他 No.362758
LAST CALL神ドクター豊胸部門 DR.中村の美バスト症例 ≪シリコンバッグ豊胸(エルゴノミクス2 左右270cc使用)/術前→1ヶ月目≫
豊胸・バストの修正 / Aquicell(アキーセル)併用コンデンスリッチ(脂肪注入豊胸) No.362757
【 脂肪注入豊胸・症例数 4年連続 SBC内全国女医 No.1(2019~2022) ベテランDr.兼井 ようこ医師執刀】アキーセル併用コンデンスリッチ脂肪注入豊胸で、ぷるふわでバレない◎自然な美乳に
若返り / SBCプレミアムPRP皮膚再生療法 No.362753
【プレミアムPRP】ぺたんこおでこからふっくらおでこへ!ナチュラルに顔の立体感を出したいならPRPがおすすめ【額+こめかみ】
AGA薄毛治療 / 発毛レーザー Folix 他 No.362752
【内服薬・外用薬の効果を高める】 FOLIXレーザー5回、エレクトロポレーションメンBENEV3回、【内服薬・外用薬】�A
AGA薄毛治療 / 発毛レーザー Folix 他 No.362751
【内服薬・外用薬の効果を高める】FOLIXレーザー5回、エレクトロポレーションメソBENEV3回、【内服薬・外用薬】�@
豊胸・バストの修正 / Motivaエルゴノミックス2(バッグ豊胸) 他 No.362750
LAST CALL神ドクター豊胸部門 DR.中村の美バスト症例 ≪シリコンバッグ豊胸(エルゴノミクス2 左右270cc使用)/術前→1ヶ月目≫
脂肪吸引 / Aquicell(アキーセル)脂肪吸引 他 No.362749
★最優秀症例8度受賞!150000件以上の圧倒的執刀数 美容外科医歴25年以上の超ベテラン・プレミアムDr.須田陽一が叶える、くびれ!★新宿本院主任医長・脂肪吸引エグゼクティブDr. VASER脂肪吸引認定医☆吸引量・デザインへのこだわり★腹部+ウエスト+腰★1ヶ月後





















































