美容整形の症例写真(美容整形)
症例写真一覧
表示件数:321126件 / 351173件
二重・二重整形 / クイックコスメティーク・ダブルNeo No.362702
外科専門医による目元に合わせたバランスの良い上質な二重術
二重・二重整形 / クイックコスメティーク・ダブルNeo No.362701
外科専門医による目元に合わせたバランスの良い上質な二重術
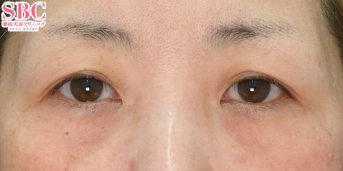
若返り / 裏ハムラ法 No.362700
Dr.五十嵐の裏ハムラで疲れ目卒業!
脂肪吸引 / メーラーファット除去術 No.362698
【メーラーファット除去】院長による頬の脂肪吸引
若返り / 目の下の切らないクマ・たるみ(ふくらみ)取り 他 No.362697
【クマ取り+脂肪注入】目元の若返りなら田中医師にお任せください!
二重・二重整形 / クイックコスメティーク・ダブルNeo No.362696
【二重革命】ぱっちりとした二重デザインを叶える!
若返り / 裏ハムラ法 他 No.362695
【若返り】【30代症例】☆症例数第1位!(アイバックリムーブ/2025年上半期/東日本)☆ 【裏ハムラ】切る・切らない二つの視点からお客様にとって最適な治療を提案します!目の下のたるみ・クマをなくして-5歳に印象チェンジ!【施術後3か月経過】
AGA薄毛治療 / ノンシェーブン植毛 他 No.362694
1070グラフト自毛植毛半年後経過 �B
AGA薄毛治療 / ノンシェーブン植毛 他 No.362693
1070グラフト自毛植毛半年後経過 �A
豊胸・バストの修正 / 週末豊胸 -ピュアグラフト-(脂肪注入豊胸) No.362692
【週末豊胸-ピュアグラフト-】大分院新院長Dr.中野の美容激戦区”福岡”で研鑽を積んだ豊胸術
AGA薄毛治療 / ノンシェーブン植毛 他 No.362691
1070グラフト自毛植毛半年後経過 �@
若返り / アイバックリムーブ法 他 No.362690
『クマ取り(アイバックリムーブ法)+脂肪注入』若返りプロフェッショナル・Dr中野 灘高卒、元麻酔科医Drによる匠の若返り術
二重・二重整形 / フォーエバー二重術(R) 他 No.362689
【目元の垢抜け最強セット】【フォーエバー二重×クマとり】
二重・二重整形 / フォーエバー二重術(R) 他 No.362688
〈フォーエバー二重術〉大分院の新院長!二重埋没全国1位の二重術
AGA薄毛治療 / 毛根再生注射 他 No.362687
毛根再生注射1回、臍帯幹細胞上清液メソ1回、HRタブレット&スプレーセット、40代女性、3ヶ月後
脂肪吸引 / 根こそぎVASER脂肪吸引 他 No.362686
【VASER脂肪吸引】二の腕の脂肪吸引×エンブレイスRF 渡韓不要で韓国アイドルのようなスラっとした腕に!!
若返り / 裏ハムラ法 他 No.362685
20代女性スタッフ 眉下リフト+裏ハムラ+SBCプレミアムPRP 3ヶ月後
若返り / 裏ハムラ法 他 No.362684
20代女性スタッフ 眉下リフト+裏ハムラ+SBCプレミアムPRP 3ヶ月後
若返り / 眉下リフト(眉下切開) 他 No.362683
20代女性スタッフ 眉下リフト+裏ハムラ+SBCプレミアムPRP 3ヶ月後
豊胸・バストの修正 / VASER併用コンデンスリッチ(脂肪注入豊胸) No.362682
【30代・女性】ベイザー脂肪吸引関西No.1 大川が叶える部分痩せ×バストアップ!(2025年上半期SBC内)【コンデンスリッチ脂肪注入豊胸+ベイザー併用】術後3ヶ月





















































