若返りの症例写真(若返り)
ドクターが選ぶ BEST SHOT AWARD
症例写真一覧
表示件数:52962件 / 348522件
若返り / ナチュラル脂肪注射入れ放題 他 No.360964
【裏ハムラ】目の下のクマ取り治療で若返り★目の下のくまが気になる方は、満安医師にお任せ★
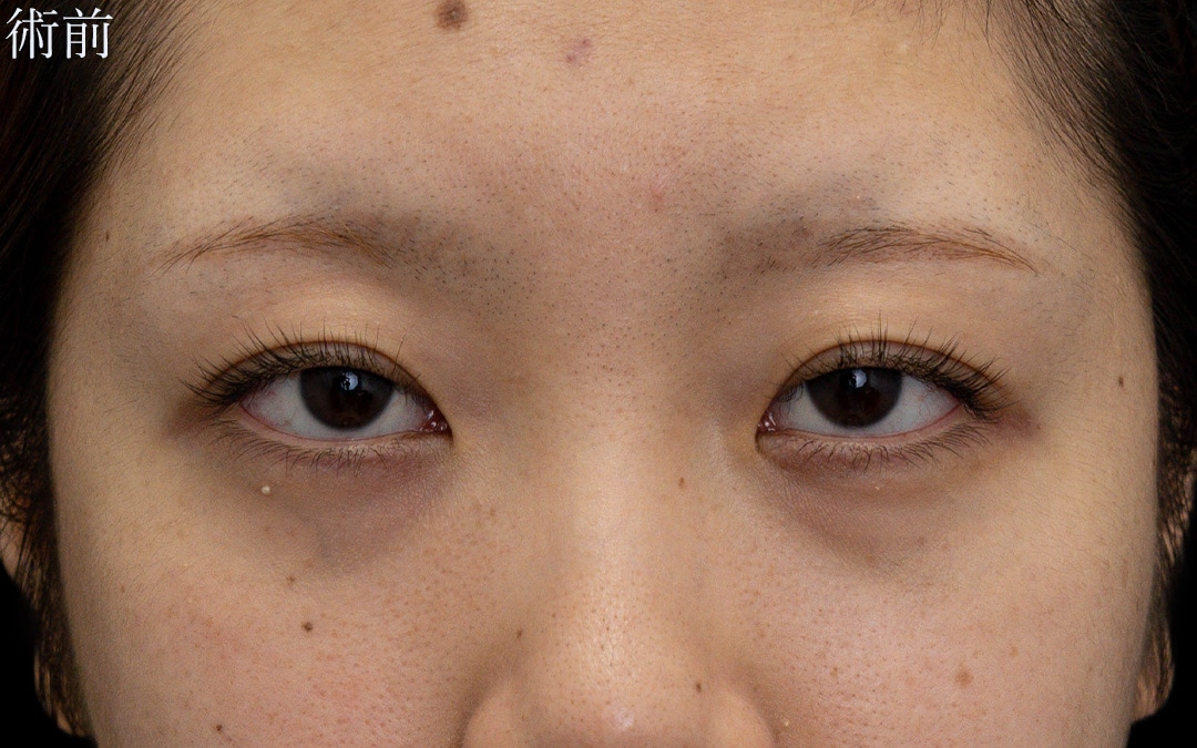
若返り / 目の下の切らないクマ・たるみ(ふくらみ)取り 他 No.360960
【立川院】【クマ・たるみ改善】若いお客様のお悩み改善!
若返り / ナチュラル脂肪注射コンデンスリッチ No.360948
◆◆美容外科専門医 名倉が叶える 美顔術!! へこみを無くして美しい輪郭へ!! ◆脂肪注入(顎)1ヶ月後のお写真
若返り / 眉下リフト(眉下切開) No.360944
◆◆目元切開厳選医師の名倉が叶える -5歳!! 眉下リフト◆◆瞼のたるみでお悩みの方必見!!1週間後のお写真
若返り / シークレットリフト 他 No.360937
【イテウォン 糸リフトのみ】ナチュラル派におすすめ|糸リフトのみで輪郭改善!イテウォンビューティークリニック恵比寿院
若返り / テスリフト 他 No.360920
【土田式ハリウッド糸リフト】京都で切らない若返り・リフトアップならリテスリフト症例数関西No.2(※)の土田博之医師にお任せ!(SBC内症例数 2025年上半期)
若返り / テスリフト No.360919
【土田式ハリウッド糸リフト】京都で切らない若返り・リフトアップならリテスリフト症例数関西No.2(※)の土田博之医師にお任せ!(SBC内症例数 2025年上半期)
若返り / 裏ハムラ法 他 No.360918
お疲れ目元改善!土田博之医師による【クマ治療・裏ハムラ法】目元切開で選ばれています!眉下リフト症例数関西No.2(※)(SBC内症例数 2023年上半期)
若返り / 切開ハムラ(表ハムラ)法 No.360905
【若返り】【30代症例】☆症例数第1位!(アイバックリムーブ/2025年上半期/東日本)☆【切開ハムラ】切る・切らない二つの視点からお客様にとって最適な治療を提案します!目の下のたるみ・クマをなくして-5歳に印象チェンジ!【施術後1か月経過】
若返り / 裏ハムラ法 No.360903
【クマ取り裏ハムラ】★裏ハムラ全国女医No.1☆2025年上半期SBC内症例数★
若返り / ナチュラル脂肪注射コンデンスリッチ No.360902
◆◆美容外科専門医 名倉が叶える 美顔術!! へこみを無くして美しい輪郭へ!! ◆脂肪注入(額)1ヶ月後のお写真
若返り / 眉下リフト(眉下切開) No.360898
◆◆目元切開厳選医師の名倉が叶える -5歳!! 眉下リフト◆◆瞼のたるみでお悩みの方必見!!3ヶ月後のお写真
若返り / ナチュラル脂肪注射コンデンスリッチ 他 No.360897
◆◆美容外科専門医 名倉が叶える -5歳!! 目の下のたるみ取り+脂肪注入(目の下~ゴルゴ線)◆◆目の下のぷっくり、クマでお悩みの方必見!!◆3ヶ月後のお写真
若返り / プリマリフト No.360896
◆◆美容外科専門医 名倉が叶える小顔術!!糸リフト6年連続全国1位 (2019年~2024年)!※SBC内◆◆プリマリフト+脂肪吸引(頬+顎下)◆ 8ヶ月後のお写真
若返り / 裏ハムラ法 No.360894
目の下の切らないクマ治療、裏ハムラ法で圧倒的若返り体験を!
若返り / 裏ハムラ法 No.360889
目の下の切らないクマ治療、裏ハムラ法で圧倒的若返り体験を!
若返り / 裏ハムラ法 No.360875
目の下の切らないクマ治療、裏ハムラ法で圧倒的若返り体験を!
若返り / 切開ハムラ(表ハムラ)法 他 No.360873
【クマ取り】「眼窩脂肪」を移動して膨らみと溝を同時にフラットにすることで目元の若返りを実現!老け見え解消なら奥医師にお任せ!【施術3ヶ月後】【切開ハムラ法×ナノリッチ】
若返り / 目の下の切らないクマ・たるみ(ふくらみ)取り 他 No.360864
【美しい仕上がりで紹介多数】北千住院院長の進藤彰人医師による目の下の切らないクマたるみ取り+脂肪注入☆目の下・ゴルゴラインへの脂肪注入で疲れ見え解消!【40代のクマ取り】
若返り / 眉下リフト(眉下切開) No.360863
眉下リフトで自然なぱっちり二重に!


































































